Preview

Сибирский онкологический журнал

Расширенный поиск

Возможности диагностики костных метастазов у больных люминальным раком молочной железы с помощью таргетной GRPR-визуализации

https://doi.org/10.21294/1814-4861-2026-25-1-170-178

Аннотация

Актуальность. Люминальный рак молочной железы встречается в 60–80 % случаев и характеризуется высокой частотой метастазирования в кости, что определяет необходимость своевременного выявления отдаленных очагов. Традиционные методы визуализации имеют ограниченную чувствительность, особенно в отношении очагов малого размера. В связи с этим актуальна разработка высокочувствительных методов более ранней диагностики метастазов в кости. Перспективным направлением является таргетная радионуклидная визуализация рецептора гастрин-высвобождающего пептида (GRPR), гиперэкспрессия которого ассоциирована с рецептором эстрогена, с использованием радиофармацевтического лекарственного препарата (РФЛП) на основе антагонистов GRPR. Доклинические исследования продемонстрировали перспективность использования для этих целей РФЛП [99mTc]Tc-DB8.
Цель исследования – демонстрация возможностей РФЛП [99mTc]Tc-DB8 в диагностике костных метастазов у больных люминальным РМЖ.
Описание клинических случаев.
Клинический случай № 1. Пациентка К., 51 год, диагноз: Рак правой молочной железы, IIIC стадия (T2N3M0), мультицентричный рост, метастатическое поражение аксиллярных и подключичных лимфоузлов. ОФЭКТ/КТ выполнена через 2 ч после внутривенного введения РФЛП [99mTc]Tc-DB8 в дозировке протеина 80 мкг. По результатам исследования помимо первичной опухоли и метастатических лимфоузлов выявлен высокий уровень аккумуляции препарата [99mTc]Tc-DB8 в проекции V ребра справа по средней аксиллярной линии. Повторный анализ компьютерных томограмм органов грудной клетки (КТ ОГК) подтвердил наличие очага литической деструкции, расцененного как возможный метастаз и взятого под наблюдение. При КТ ОГК в динамике в указанной проекции визуализировался участок неравномерных склеротических изменений, что интерпретировано как ответ на терапию.
Клинический случай № 2. Пациентка Д., 42 года, диагноз: Рак правой молочной железы IV стадии (T1N1M1), метастаз в аксиллярный лимфоузел, множественные метастазы в костях. ОФЭКТ/КТ проведена через 2 ч после инъекции РФЛП [99mTc]Tc-DB8 в дозировке 80 мкг, при которой помимо визуализации первичного очага и метастатически измененного лимфоузла выявлена высокая аккумуляция РФЛП в проекции LII-SII, в подвздошной и седалищной костях, в заднем отрезке VII ребра справа.
Заключение. Результаты клинического исследования с использованием препарата [99mTc]Tc-DB8 продемонстрировали высокую диагностическую эффективность метода в визуализации костных метастазов у больных люминальным РМЖ.

Об авторах

А. Г. Иванова
Научно-исследовательский институт онкологии, Томский национальный исследовательский медицинский центр Российской академии наук
Россия

Иванова Анастасия Григорьевна, младший научный сотрудник отделения системной и персонализированной терапии опухолей 

634009, г. Томск, пер. Кооперативный, 5



О. Д. Брагина
Научно-исследовательский институт онкологии, Томский национальный исследовательский медицинский центр Российской академии наук; ФГАОУ ВО «Национальный исследовательский Томский политехнический университет»
Россия

Брагина Ольга Дмитриевна, доктор медицинских наук, ведущий научный сотрудник отделения радионуклидной диагностики; старший научный сотрудник, Научно-исследовательский центр «Онкотераностика»

Researcher ID (WOS): E-9732-2017. Author ID (Scopus): 57190936256.

634009, г. Томск, пер. Кооперативный, 5;
634050, Томск, пр-т Ленина, 30



Р. Н. Варвашеня
ФГАОУ ВО «Национальный исследовательский Томский политехнический университет»; ФГБОУ ВО «Сибирский государственный медицинский университет» Минздрава России
Россия

Варвашеня Руслан Николаевич, аспирант, лаборант-исследователь, Научно-образовательная лаборатория химико-фармацевтических исследований; инженер, Научно-исследовательский центр

«Онкотераностика» 

634050, Томск, пр-т Ленина, 30;
634050, Томск, Московский тракт, 2



М. С. Ларькина
ФГАОУ ВО «Национальный исследовательский Томский политехнический университет»; ФГБОУ ВО «Сибирский государственный медицинский университет» Минздрава России
Россия

Ларькина Мария Сергеевна, доктор фармацевтических наук, профессор кафедры фармацевтического анализа; профессор исследовательской школы химических и биомедицинских технологий

Author ID (Scopus): 57194542755. 

634050, Томск, пр-т Ленина, 30;
634050, Томск, Московский тракт, 2



В. И. Чернов
Научно-исследовательский институт онкологии, Томский национальный исследовательский медицинский центр Российской академии наук; ФГАОУ ВО «Национальный исследовательский Томский политехнический университет»
Россия

Чернов Владимир Иванович, доктор медицинских наук, профессор, член-корреспондент РАН, заместитель директора по научной и инновационной работе, заведующий отделением радионуклидной терапии и диагностики; ведущий инженер лаборатории № 31 ядерного реактора

Researcher ID (WOS): B-6789-2016. Author ID (Scopus): 7201429550.

634009, г. Томск, пер. Кооперативный, 5;
634050, Томск, пр-т Ленина, 30



А. А. Романова
Научно-исследовательский институт онкологии, Томский национальный исследовательский медицинский центр Российской академии наук
Россия

Романова Анастасия Александровна, младший научный сотрудник отделения общей онкологии 

634009, г. Томск, пер. Кооперативный, 5



И. Г. Фролова
Научно-исследовательский институт онкологии, Томский национальный исследовательский медицинский центр Российской академии наук
Россия

Фролова Ирина Георгиевна, доктор медицинских наук, профессор, заведующая отделением лучевой диагностики

Researcher ID (WOS): C-8212-2012. Author ID (Scopus): 7006413170.

634009, г. Томск, пер. Кооперативный, 5



С. А. Табакаев
Научно-исследовательский институт онкологии, Томский национальный исследовательский медицинский центр Российской академии наук
Россия

Табакаев Станислав Алексеевич, кандидат медицинских наук, младший научный сотрудник отделения лучевой диагностики

Researcher ID (WОS): AAY-3354-2021. Author ID (Scopus): 57214091193.

634009, г. Томск, пер. Кооперативный, 5



С. В. Паталяк
Научно-исследовательский институт онкологии, Томский национальный исследовательский медицинский центр Российской академии наук
Россия

Паталяк Станислав Викторович, кандидат медицинских наук, заведующий отделением системной и персонализированной терапии опухолей

Researcher ID (WOS): D-2358-2012. Author ID (Scopus): 56324415300 

634009, г. Томск, пер. Кооперативный, 5



М. А. Бритвина
ОГАУЗ «Томский областной онкологический диспансер»
Россия

Бритвина Мария Александровна, онколог 

634050, Томск, пр-т Ленина, 115



Список литературы

1. Roy M., Fowler A.M., Ulaner G.A., Mahajan A. Molecular Classifcation of Breast Cancer. PET Clin. 2023; 18(4): 441–58. doi: 10.1016/j.cpet.2023.04.002.

2. Fan J.H., Zhang S., Yang H., Yi Z.B., Ouyang Q.C., Yan M., Wang X.J., Hu X.C., Jiang Z.F., Huang T., Tong Z.S., Wang S.S., Yin Y.M., Li H., Yang R.X., Yang H.W., Teng Y.E., Sun T., Cai L., Li H.Y., Ouyang X.N., He J.J., Liu X.L., Yang S.E., Wang J.Y., Xu B.H., Qiao Y.L. Molecular subtypes predict the preferential site of distant metastasis in advanced breast cancer: a nationwide retrospective study. Front Oncol. 2023; 13: 978985. doi: 10.3389/fonc.2023.978985.

3. Bertho M., Fraisse J., Patsouris A., Cottu P., Arnedos M., Pérol D., Jaffré A., Goncalves A., Lebitasy M.P., D’Hondt V., Dalenc F., Ferrero J.M., Levy C., Dabakuyo S., Rouzier R., Penault-Llorca F., Uwer L., Eymard J.C., Breton M., Chevrot M., Thureau S., Petit T., Simon G., Frénel J.S. Reallife prognosis of 5041 bone-only metastatic breast cancer patients in the multicenter national observational ESME program. Ther Adv Med Oncol. 2021; 13: 1758835920987657. doi: 10.1177/1758835920987657.

4. Pan Y., Lin Y., Mi C. Clinicopathological characteristics and prognostic risk factors of breast cancer patients with bone metastasis. Ann Transl Med. 2021; 9(16): 1340. doi: 10.21037/atm-21-4052.

5. Li X., Zhang X., Liu J., Shen Y. Prognostic factors and survival according to tumour subtype in women presenting with breast cancer bone metastases at initial diagnosis: a SEER-based study. BMC Cancer. 2020; 20(1): 1102. doi: 10.1186/s12885-020-07593-8.

6. Pesapane F., Downey K., Rotili A., Cassano E., Koh D.M. Imaging diagnosis of metastatic breast cancer. Insights Imaging. 2020; 11(1): 79. doi: 10.1186/s13244-020-00885-4.

7. Zamanian M., Treglia G., Abedi I. Diagnostic Accuracy of PET with Diferent Radiotracers versus Bone Scintigraphy for Detecting Bone Metastases of Breast Cancer: A Systematic Review and a Meta-Analysis. J Imaging. 2023; 9(12): 274. doi: 10.3390/jimaging9120274.

8. Gerke O., Naghavi-Behzad M., Nygaard S.T., Sigaroudi V.R., Vogsen M., Vach W., Hildebrandt M.G. Diagnosing Bone Metastases in Breast Cancer: A Systematic Review and Network Meta-Analysis on Diagnostic Test Accuracy Studies of 2-[18F]FDG-PET/CT, 18F-NaF-PET/CT, MRI, Contrast-Enhanced CT, and Bone Scintigraphy. Semin Nucl Med. 2025; 55(1): 137–51. doi: 10.1053/j.semnuclmed.2024.10.008.

9. Marazzi F., Orlandi A., Manfrida S., Masiello V., Di Leone A., Massaccesi M., Moschella F., Franceschini G., Bria E., Gambacorta M.A., Masetti R., Tortora G., Valentini V. Diagnosis and Treatment of Bone Metastases in Breast Cancer: Radiotherapy, Local Approach and Systemic Therapy in a Guide for Clinicians. Cancers (Basel). 2020; 12(9): 2390. doi: 10.3390/cancers12092390.

10. Ouvrard E., Kaseb A., Poterszman N., Porot C., Somme F., Imperiale A. Nuclear medicine imaging for bone metastases assessment: what else besides bone scintigraphy in the era of personalized medicine? Front Med (Lausanne). 2024; 10: 1320574. doi: 10.3389/fmed.2023.1320574.

11. Dowling G.P., Keelan S., Cosgrove N.S., Daly G.R., Giblin K., Toomey S., Hennessy B.T., Hill A.D.K. Receptor Discordance in Metastatic Breast Cancer; a review of clinical and genetic subtype alterations from primary to metastatic disease. Breast Cancer Res Treat. 2024; 207(3): 471–76. doi: 10.1007/s10549-024-07431-6.

12. Shiino S., Ball G., Syed B.M., Kurozumi S., Green A.R., Tsuda H., Takayama S., Suto A., Rakha E.A. Prognostic signifcance of receptor expression discordance between primary and recurrent breast cancers: a meta-analysis. Breast Cancer Res Treat. 2022; 191(1): 1–14. doi: 10.1007/s10549-021-06390-6.

13. Schrijver W.A.M.E., Suijkerbuijk K.P.M., van Gils C.H., van der Wall E., Moelans C.B., van Diest P.J. Receptor Conversion in Distant Breast Cancer Metastases: A Systematic Review and Meta-analysis. J Natl Cancer Inst. 2018; 110(6): 568–80. doi: 10.1093/jnci/djx273.

14. Bragina O.D., Deyev S.M., Chernov V.I., Tolmachev V.M. The Evolution of Targeted Radionuclide Diagnosis of HER2-Positive Breast Cancer. Acta Naturae. 2022; 14(2): 4–15. doi: 10.32607/actanaturae.11611. EDN: KGXJRF.

15. Bragina O., Tashireva L., Loos D., Chernov V., Hober S., Tolmachev V. Evaluation of Approaches for the Assessment of HER2 Expression in Breast Cancer by Radionuclide Imaging Using the Scafold Protein [99mTc]Tc-ADAPT6. Pharmaceutics. 2024; 16(4): 445. doi: 10.3390/pharmaceutics16040445.

16. D’Onofrio A., Engelbrecht S., Läppchen T., Rominger A., Gourni E. GRPR-targeting radiotheranostics for breast cancer management. Front Med (Lausanne). 2023; 10: 1250799. doi: 10.3389/fmed.2023.1250799.

17. Bragina O., Chernov V., Larkina M., Varvashenya R., Zelchan R., Medvedeva A., Ivanova A., Tashireva L., Maina T., Nock B.A., Kanellopoulos P., Sörensen J., Orlova A., Tolmachev V. The Impact of the Injected Mass of the Gastrin-Releasing Peptide Receptor Antagonist on Uptake in Breast Cancer: Lessons from a Phase I Trial of [99mTc]Tc-DB8. Pharmaceutics. 2025; 17(8): 1000. doi: 10.3390/pharmaceutics17081000.

18. Тюляндин С.А., Артамонова Е.В., Жигулев А.Н., Жукова Л.Г., Королева И.А., Пароконная А.А., Семиглазова Т.Ю., Стенина М.Б., Фролова М.А. Рак молочной железы. Практические рекомендации RUSSCO, часть 1.2. Злокачественные опухоли 2024; 14: 32–81. doi: 10.18027/2224-5057-2024-14-3s2-1.2-01. EDN: KELJSW.


Дополнительные файлы

1. Рис. 1. ОФЭКТ/КТ органов грудной клетки больной К. через 2 ч после инъекции [99mTc]Tc-DB8 в дозировке протеина 80 мкг: А – желтая стрелка указывает на первичную опухоль, красная стрелка – на участок гиперфиксации РФЛП в проекции V ребра по средней аксиллярной линии справа; Б – зеленая стрелка указывает на метастатический аксиллярный лимфоузел. Примечание: рисунок выполнен авторами
Тема
Тип Прочее
Посмотреть (283KB)    
Метаданные ▾
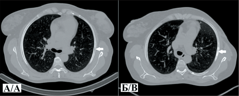
2. Рис. 2. А – компьютерная томография органов грудной клетки в аксиальной проекции (костное окно) больной К. до лечения (белой стрелкой указан участок литической деструкции в V ребре по средней аксиллярной линии справа, размером 19×5 мм); Б – исследование через 11 мес после лечения (белой стрелкой указан участок неравномерных склеротических изменений в V ребре по средней аксиллярной линии справа, размером 26×5 мм). Примечание: рисунок выполнен авторами
Тема
Тип Прочее
Посмотреть (286KB)    
Метаданные ▾
3. Рис. 3. ОФЭКТ/КТ органов грудной клетки больной Д. через 2 ч после инъекции [99mTc]Tc-DB8 в дозировке протеина 80 мкг: А – желтая стрелка указывает на первичную опухоль; Б – зеленая стрелка указывает на метастатический аксиллярный лимфоузел. Примечание: рисунок выполнен авторами
Тема
Тип Прочее
Посмотреть (349KB)    
Метаданные ▾
4. Рис. 4. ОФЭКТ/КТ больной Д. через 2 ч после инъекции [99mTc]Tc-DB8 в дозировке протеина 80 мкг. Стрелками отмечены участки гиперфиксации РФЛП в проекции тел LII-LV (желтая стрелка), S1-SII (красная стрелка), подвздошной и седалищной костей справа (оранжевая стрелка), заднего отрезка VII ребра справа (зеленая стрелка). Примечание: рисунок выполнен авторами
Тема
Тип Прочее
Посмотреть (622KB)    
Метаданные ▾

Рецензия

Для цитирования:


Иванова А.Г., Брагина О.Д., Варвашеня Р.Н., Ларькина М.С., Чернов В.И., Романова А.А., Фролова И.Г., Табакаев С.А., Паталяк С.В., Бритвина М.А. Возможности диагностики костных метастазов у больных люминальным раком молочной железы с помощью таргетной GRPR-визуализации. Сибирский онкологический журнал. 2026;25(1):170-178. https://doi.org/10.21294/1814-4861-2026-25-1-170-178

For citation:


Ivanova A.G., Bragina O.D., Varvashenya R.N., Larkina M.S., Chernov V.I., Romanova A.A., Frolova I.G., Tabakaev S.A., Patalyak S.V., Britvina M.A. Potential of targeted GRPR imaging for the detection of bone metastases in patients with luminal breast cancer. Siberian journal of oncology. 2026;25(1):170-178. (In Russ.) https://doi.org/10.21294/1814-4861-2026-25-1-170-178

Просмотров: 169

JATS XML


Creative Commons License
Контент доступен под лицензией Creative Commons Attribution 4.0 License.


ISSN 1814-4861 (Print)
ISSN 2312-3168 (Online)