Сроки рецензирования в летнее время
В связи с отпускным периодом большинства сотрудников редакции и рецензентов, срок обработки и рецензирования рукописей научных работ, поступающих в редакцию «Сибирского онкологического журнала» в июле-августе, может превышать установленный срок.
Научно-практический рецензируемый журнал
Сибирский онкологический журнал
Учредитель: Федеральное государственное бюджетное научное учреждение «Томский национальный исследовательский медицинский центр Российской академии наук»
Регистрация: в Федеральной службе по надзору в сфере связи, информационных технологий и массовых коммуникаций. Свидетельство о регистрации СМИ: ПИ № ФС77-85416 от 13 июня 2023 года.
Журнал издается с 2002 г.
ISSN 1814-4861 (Print)
ISSN 2312-3168 (Online)
Периодичность: 6 номеров в год
Языки журнала: русский и английский.
Территория распространения: Российская Федерация, зарубежные страны
Журнал входит в «Перечень рецензируемых научных изданий, в которых должны быть опубликованы основные научные результаты диссертаций на соискание ученой степени кандидата наук, на соискание ученой степени доктора наук» по следующим специальностям:
- 1.5.4. Биохимия (медицинские науки)
- 3.1.6. Онкология, лучевая терапия (медицинские науки)
- 3.1.6. Онкология, лучевая терапия (биологические науки)
- 3.1.9. Хирургия (медицинские науки)
- 3.3.3. Патологическая физиология (медицинские науки)
- 3.3.6. Фармакология, клиническая фармакология (медицинские науки)
Индексация:
- Российский индекс научного цитирования (РИНЦ)
- Russian Science Citation Index (RSCI)
- Scopus с 2017 года
Журнал относится к первой категории (К1) списка Высшей аттестационной комиссии (ВАК)
Журнал входит в международные и российские электронные библиотечные системы, в том числе в Научную электронную библиотеку (elibrary.ru), электронную библиотеку «Сyberleninka», онлайн-платформу «Directory of Open Access Journals» (DOAJ).
Распространяется на условиях Creative Commons Attribution 4.0 License: полнотекстовые материалы доступны в открытом доступе.
Краткая аннотация: научно-практический рецензируемый журнал публикует обзоры, лекции, оригинальные статьи, краткие сообщения, заметки из практики по клинической и экспериментальной онкологии.
Журнал освещает вопросы канцерогенеза, молекулярной биологии, эпидемиологии, профилактики, комбинированной диагностики, современного лечения опухолей (хирургии, химиотерапии, радиотерапии, комбинированного лечения), анестезиологического обеспечения, медицинской и социальной реабилитации, паллиативной помощи и «качества жизни» онкологических больных.
Текущий выпуск
КЛИНИЧЕСКИЕ ИССЛЕДОВАНИЯ
Введение. Пятилетняя выживаемость больных раком легких (РЛ) составляет 22 %. Успешный исход борьбы с этим заболеванием во многом зависит от его выявления на ранних стадиях. Развитие РЛ определяется факторами риска: курением, профессиональными экспозициями, инфекциями, генетической предрасположенностью, наличием хронических заболеваний и др. Принятие во внимание факторов риска позволит повысить эффективность автоматизированных газоаналитических комплексов диагностики РЛ по выдыхаемому воздуху. Такие комплексы являются перспективными для применения масштабируемых алгоритмов нейросетевой обработки данных для неинвазивной диагностики РЛ на ранних стадиях.
Цель исследования – оценка эффективности метода диагностики рака легкого по выдыхаемому воздуху на основе данных от 100 добровольцев и улучшение его характеристик путем применения мультимодального подхода, учитывающего состав выдыхаемого воздуха и факторы риска заболевания.
Материал и методы. В базу данных, наряду с пробами выдыхаемого воздуха, включались данные анамнеза. Для обработки данных применялись нейронные сети с вариацией архитектур, обеспечивающие улучшение показателей эффективности диагностики. Набор данных для обучения нейросестевых классификаторов включал пробы выдыхаемого воздуха от 100 добровольцев, из них 47 здоровых лиц по данным диспансеризации и 53 пациента с морфологически подтвержденным РЛ. В качестве факторов риска заболевания анализировались возраст, факт курения и наличие хронической обструктивной болезни легких (ХОБЛ).
Результаты. Интеграция данных, включающих состав выдыхаемого воздуха и факторы риска РЛ, при обработке единой нейронной сетью приводит к увеличению ее первоначальной мономодальной архитектуры на 3 %. Учет сравнительно небольшого количества факторов риска, таких как возраст, пол, курение и наличие ХОБЛ, позволяет повысить чувствительность классификатора на 1,89 %, специфичность – на 6,39 %. Лучшие показатели обобщающей способности нейросетевого классификатора достигаются при двухпоточной гибридной модели с нормализацией.
Заключение. Учет данных анамнеза, таких как возраст, курение и наличие ХОБЛ, дополнительно к показателям состава выдыхаемого воздуха в едином нейросетевом классификаторе позволяет повысить точность диагностики рака легкого по выдыхаемому воздуху в среднем на 4 %. Этот эффект и расширение учитываемых факторов риска при диагностике рака легкого по выдыхаемому воздуху позволят повысить достоверность результатов скрининга.
Цель исследования – выявление ранних предикторов несостоятельности межкишечных анастомозов после гемиколэктомий и резекции толстой кишки.
Материал и методы. Исследование, проведенное в Ульяновском областном онкологическом диспансере с 2019 по 2024 г., включало ретроспективный анализ данных 583 пациентов, которым выполнены плановые гемиколэктомии и резекции сигмовидной кишки. Исключены пациенты с летальным исходом от сопутствующей патологии и экстренными операциями. Оценка осложнений проводилась по классификации Clavien–Dindo, а распространенности опухоли – по классификации TNM. Статистический анализ включал методы сравнения количественных и категориальных данных, оценку шансов и построение прогностической модели с помощью логистической регрессии и ROC-анализа.
Результаты. Значимыми параметрами, влияющими на риск несостоятельности толстокишечного анастомоза (НТКА), были наличие колостомы до операции (p<0,001), выполнение мультиорганной резекции (p<0,001), уровень альбумина до операции (p=0,001) и на 1-е сут после операции (p<0,001), уровень альбумина на 5-е сут (p=0,032), количество нейтрофилов на 5-е сут после операции (p=0,012), продолжительность операции (p=0,048).
Выводы. Частота НТКА составила 48 (8,24%). При многофакторном анализе значимыми параметрами ее развития являются стадия, критерий Т и наличие метастазов первичной опухоли, продолжительность операции, срок госпитализации, колостома до операции, мультиорганная резекция, осложнения по Clavien–Dindo, объем кровотечения, тип операции, альбумин до операции, альбумин на 1-е и 5-е сут после операции, нейтрофилы на 1-е и 5-е сут после операции, лимфоциты на 1-е сут после операции, нейтрофильно-лимфоцитарный индекс на 1-е и 5-е сут после операции.
Введение. Биохимический рецидив после радикальной простатэктомии (РПЭ) остается одной из главных клинических проблем в лечении рака предстательной железы. Спасительная лучевая терапия (СЛТ) является общепринятым методом лечения при наличии рецидива, однако отдаленные результаты применения режимов умеренного гипофракционирования дозы остаются недостаточно изученными, в связи с чем оптимальный режим фракционирования дозы остается предметом дискуссий. При этом применение режимов умеренного гипофракционирования дозы позволяет существенно сократить общую продолжительность курса лечения.
Цель исследования – оценка отдаленной эффективности и безопасности умеренного гипофракционирования дозы при СЛТ на область ложа удаленной предстательной железы (ЛУПЖ).
Материал и методы. В исследование включено 42 пациента, получивших курс СЛТ в режиме 19 фракций по 3 Гр (СОД 57 Гр), средняя продолжительность наблюдения – 94,6 мес. Оценивались биохимический контроль, степень лучевой токсичности (по критериям RTOG), а также динамика уровня качества жизни при помощи валидированных опросников.
Результаты. Умеренное гипофракционирование дозы обеспечило стабильный онкологический контроль у большинства пациентов, с удовлетворительными показателями выживаемости и качеством жизни. Ранняя токсичность Ӏ–ӀӀ степени со стороны мочевого пузыря и прямой кишки отмечалась у 57,2 и 59,6 % пациентов соответственно. Тяжелая токсичность (ІІІ степень) зарегистрирована в 1 (2,4 %) наблюдении, в то время как большинство лучевых осложнений были представлены легкой и средней степенью тяжести и не потребовали интенсивной медикаментозной коррекции. Уровень качества жизни, оцениваемый по шкалам IPSS, QoL и ICIQ-SF, в процессе и после завершения лечения оставался стабильным.
Заключение. Долгосрочные данные подтверждают, что применение умеренного гипофракционирования дозы при СЛТ на область ЛУПЖ демонстрирует высокий уровень эффективности и благоприятный профиль безопасности. Полученные результаты позволяют рассматривать данный режим как обоснованную и удобную для пациентов альтернативу традиционному фракционированию дозы.
Введение. Нейрофиброматоз 1-го типа (НФ1) – наследственный опухолевый синдром, который проявляется множественными неоплазмами (нейрофибромами) и пятнами цвета «кофе с молоком». Характерными для пациентов с НФ1 являются поражение опорно-двигательной системы, интеллектуальная недостаточность и злокачественные новообразования. НФ1 обусловлен герминальными мутациями в гене NF1, выявление которых может стать основой для патогенетического лечения опухолевого синдрома. Согласно ряду исследований, для больных НФ1 с «in-frame» делециями, приводящими к выпадению аминокислот, характерны более легкие формы болезни без нейрофибром.
Цель исследования – идентификация делецией в гене NF1 без сдвига рамки считывания у пациентов с НФ1 из Республики Башкортостан; характеристика особенностей клинической симптоматики НФ1 у данной группы пациентов.
Материал и методы. Проведен анализ амбулаторных карт больных НФ1 из Республики Башкортостан, объективное клиническое обследование самих пациентов, секвенирование образцов их ДНК с идентификацией делеций в гене NF1 без сдвига рамки считывания. Было исследовано 26 пациентов в возрасте от 3 до 69 лет (12 женщин и 14 мужчин).
Результаты. Ретроспективный анализ амбулаторных карт и исследование самих больных показали, что частота встречаемости НФ1 в республике 1:7403,6 человек. Идентифицированы 2 делеции без сдвига рамки считывания в гене NF1 у 6 пациентов с НФ1 из 3 неродственных семей: NF1:NM_000267.3:exon21:c.2674_2679del:p.S892_K893del (у 2 больных одновременно с миссенс-мутацией в том же экзоне: NF1:NM_000267.3:exon21:c.A2687G:p. D896G); NF1:NM_000267.3:exon27:с.3526_3528delAGA:p.Arg1176del. Описаны клинические проявления НФ1 у пациентов с выявленными мутациями и их сравнительная характеристика со всеми больным НФ1 в республике. В общей группе больных НФ1 из РБ более редко обнаруживаются нейрофибромы и злокачественные опухоли, глиомы зрительных нервов, когнитивные нарушения.
Заключение. У пациентов с НФ1 из Республики Башкортостан с выявленными нами делециями в гене NF1 без сдвига рамки считывания не обнаружены кисты и опухоли головного мозга, плексиформные нейрофибромы и глиомы. Нами впервые проведен анализ ранее не описанных в научной литературе делеций в гене NF1 у больных НФ1 без сдвига рамки считывания и выявлены гено-фенотипические корреляции, что согласуется с результатами других научных исследований.
ЛАБОРАТОРНЫЕ И ЭКСПЕРИМЕНТАЛЬНЫЕ ИССЛЕДОВАНИЯ
Основные противоопухолевые препараты (в частности, антрациклины и таксаны), применяемые при неоадъювантной терапии рака молочной железы (РМЖ), способны приводить к возникновению повреждений ДНК опухолевых клеток. В свою очередь, активация систем эксцизионной репарации в этих клетках может снижать эффективность лечения, способствуя восстановлению повреждений и развитию резистентности. В этой связи изучение уровня экспрессии генов эксцизионной репарации является перспективным направлением для выявления потенциальных предиктивных маркеров эффективности лечения и потенциальных прогностических маркеров гематогенного метастазирования.
Цель исследования – оценка уровня экспрессии генов эксцизионной репарации (ГЭР) в опухоли молочной железы люминального В HER2-негативного подтипа в процессе лечения при применении стандартных схем неоадъювантной химиотерапии.
Материал и методы. Использованы парные образцы биопсийного материала до лечения и опухолевой ткани после неоадъювантной химиотерапии (НХТ) для каждой пациентки. Экспрессионный ландшафт опухоли оценивался при помощи полнотранcкриптомного микроматричного анализа с использованием микрочипов Clariom™ S Assay, human (Affymetrix, USA).
Результаты. При оценке изменения уровня экспрессии ГЭР в опухоли молочной железы до лечения антрациклин-содержащими схемами в зависимости от ответа на НХТ наблюдалось значимое изменение уровня экспрессии 3 генов (DDB1, FAN1, GTF2H3); до лечения таксан-содержащими схемами – 5 генов (CDK2AP2, MMS19, DDB1, CCNL2; TDG). При оценке изменения уровня экспрессии генов эксцизионной репарации в опухоли молочной железы после лечения антрациклин-содержащими схемами НХТ в зависимости от статуса гематогенного метастазирования наблюдалось значимое изменение уровня экспрессии 5 генов (RFC1, RAD23B, CCNH, POLB, RPA4); после лечения таксан-содержащими схемами – 7 генов (PARP1, NTHL1, ERCC8, XAB2, DUT, CCNL2, MNAT1). Анализ БМВ пациенток позволил выявить значимые изменения уровня экспрессии генов NTHL1, XAB2 и DUT в опухоли при применении таксан-содержащих схем НХТ.
Заключение. Идентифицированы потенциальные экспрессионные маркеры прогнозирования гематогенного метастазирования опухоли молочной железы HER2-негативного подтипа при назначении таксан-содержащих схем НХТ.
Введение. Существенная доля пациенток с раком молочной железы (РМЖ) и раком яичников (РЯ) являются носителями мутаций в генах наследственных опухолевых синдромов. Наиболее часто наследственные формы РМЖ и РЯ связаны с дефектами генов BRCA1 и BRCA2. При этом спектр мутаций различается у представителей различных народов, отражая особенности генетического груза. Население Дагестана обладает уникальными генетическими характеристиками вследствие исторических и демографических факторов. Республика является одним из наиболее многонациональных регионов РФ, где живут представители многочисленных этнолингвистических групп (аварская, лезгинская, даргинская, лакская и др.), что позволяет предположить существование повторяющихся патогенных генетических вариантов, т.е. наличие «эффекта основателя», у представителей дагестанских народов.
Цель исследовании – изучение молекулярной эпидемиологии семейного РМЖ/РЯ в Республике Дагестан.
Материал и методы. В исследование включено 610 пациенток – представительниц различных народностей Республики Дагестан. Кодирующие последовательности генов BRCA1, BRCA2, PALB2, ATM, TP53, CHEK2, NBN, BRIP1, BARD1, RAD51, RAD51B, RAD51C, RAD51D, RAD54L были проанализированы методом таргетного высокопроизводительного секвенирования.
Результаты. В исследованной группе наиболее частыми патогенными вариантами были BRCA1 c.66dup, c.115T>C [p.Cys39Arg], c.4709del, BRCA2 p.Gln3299Ter и c.5621_5624del. Среди других генов повторяющимся был только один патогенный аллель – CHEK2 c.817_818del [rs1474786480]. Идентифицировано несколько этноспецифических вариантов генов BRCA1 и BRCA2, доминирующих в тех или иных этнических группах Республики Дагестан: у пациенток лезгинского происхождения преобладал аллель BRCA1 с.66dup (7/12 (58 %) всех вариантов BRCA1/2 в данной этнической группе), у даргинок – BRCA1 c.4709del (4/12 (33 %)). У пациенток аварской группы выявлено несколько частых вариантов, все из которых относились к гену BRCA2: p.Gln3299Ter (8/21 (38 %) всех вариантов BRCA1/2 у аварцев), c.5621_5624del (5/21 (24 %)), p.Arg2659Lys (3/21 (14 %)). У лакцев также наблюдался founder-эффект в отношении гена BRCA2: все случаи мутаций BRCA1/2 представлены одним аллелем BRCA2 c.429del. Вариант BRCA1 p.Cys39Arg встречался у представительниц нескольких народностей: кумыков, аварцев, даргинцев. У пациенток табасаранского происхождения патогенные варианты не выявлены.
Заключение. Разнообразие выявленных мутаций отражает длительные миграционные процессы и этническую уникальность дагестанских популяций.
Цель исследования – определение индивидуальных комбинаций содержания в сыворотке крови эстрадиола и прогестерона (Е2 и Pg), антител классов А и G против Bp, E2 и Pg, и антиидиотипических антител класса G к E2 и Pg, значимо ассоциированных с возникновением рака молочной железы (РМЖ) у женщин в постменопаузе.
Материал и методы. Обследовались 763 некурящие женщины: 206 здоровых и 557 больных РМЖ І стадии до начала лечения. Содержание в сыворотке гормонов и антител определяли с помощью конкурентного и неконкурентного иммуноферментных методов соответственно. CART-анализ (Classification and Regression Trees) полученных результатов выполняли с помощью программы Statistica 13.0.
Результаты. Определены 7 групп в дереве решений по индивидуальным комбинациям IgG2-E2, E2, IgA1-E2, Pg и IgG1-Bp, значимо ассоциированным с риском РМЖ. Высокие уровни E2 в комбинации с высокими уровнями IgG1-Bp чаще обнаруживали у больных РМЖ, чем у здоровых женщин (54,2 vs 26,7 %; p<0,001; OR=3,3 [2,3–4,7]), так же как и низкие уровни Pg в комбинации с низкими уровнями IgG1-Bp и со средними уровнями IgG2-E2 (9,9 vs 3,9 %; p=0,01; OR=2,7 [1,3–5,8]). В остальных 5 группах различные комбинации высоких и низких уровней исследованных факторов встречались чаще (72,4 %) у здоровых женщин, чем у больных РМЖ (36,4%). Содержание в сыворотке E2 и Pg не связано с уровнями исследованных антител и анти-антител. Уровни антиидиотипических антител не коррелировали с уровнями соответствующих идиотипических антител.
Заключение. Влияние E2 и Pg на возникновение РМЖ проявлялось только в комбинациях с IgG2-E2, IgA1-E2 и IgG1-Bp. Анализ антител против E2, Pg и Bp и соответствующих анти-антител рекомендуется для исследования иммунологических механизмов возникновения химически индуцированных гормонозависимых опухолей у человека.
Причиной смерти от рака молочной железы нередко являются метастазы в отдаленные органы. Механизм подобного метастазирования может быть связан с аберрантной экспрессией субъединиц интегринов αv и β3 в клетках первичной опухоли.
Цель исследования – оценка наличия и локализации экспрессии субъединиц интегринов αv и β3 в клетках первичной опухоли при раке молочной железы.
Материал и методы. Исследовались биоптаты первичного опухолевого узла. В исследование включено 49 женщин в возрасте 50,0 [43,0; 60,0] лет с инвазивным протоковым раком молочной железы Т1–4Ν0–3M0. Для оценки экспрессии маркеров Estrogen receptor, Progesteron receptor, c-erB-2 (Her2/ neu), Ki67, CD51 (интегрин αV), CD61 (интегрин β3) применялся метод иммуногистохимии.
Результаты. Изучались особенности экспрессии интегрина αV (CD51) и интегрина β3 (CD61) в зависимости от основных клинических параметров. Критерий Т4 и наличие метастатического поражения региональных лимфоузлов оказались ассоциированными с наличием в цитоплазме клеток первичной опухоли экспрессии субъединицы интегрина αV. Критерий Ν3 был ассоциирован с наличием экспрессии в цитоплазме клеток первичной опухоли субъединицы интегрина β3. В случаях с наличием и отсутствием гематогенных метастазов позитивная цитоплазматическая экспрессия субъединицы интегрина β3 обнаруживалась с приблизительно одинаковой частотой.
Заключение. Критерий Т4 и наличие метастатического поражения региональных лимфоузлов ассоциированы с экспрессией в цитоплазме клеток первичной опухоли субъединицы интегрина αV. Критерий Ν3 ассоциирован с экспрессией в цитоплазме клеток первичной опухоли субъединицы интегрина β3.
ОПЫТ РАБОТЫ ОНКОЛОГИЧЕСКИХ УЧРЕЖДЕНИЙ
Введение. Несмотря на активное развитие и постоянное совершенствование современных методов диагностики и лечения, рак предстательной железы (РПЖ) продолжает занимать лидирующие позиции в структуре злокачественных новообразований среди мужского населения нашей страны. Основными методами лечения пациентов с локализованными и местнораспространенными формами РПЖ являются радикальная простатэктомия (РПЭ) или лучевое (гормонолучевое) лечение. Вместе с тем, более чем в половине случаев после хирургического лечения может потребоваться проведение послеоперационного курса конформной дистанционной лучевой терапии с учетом индивидуальных факторов риска.
Обсуждение. До настоящего времени продолжается активная дискуссия относительно показаний и сроков начала проведения лучевой терапии после РПЭ: в адъювантном режиме, т.е. при отсутствии признаков рецидива заболевания, но при наличии неблагоприятных факторов прогноза, или уже при наличии биохимического рецидива или макроскопически определяемой опухоли – «спасительной» лучевой терапии. Нами проведен анализ наиболее известных и клинически значимых исследований по данной проблеме. Отсутствие убедительных данных о преимуществах адъювантной лучевой терапии для улучшения выживаемости больных после РПЭ, даже при наличии неблагоприятных факторов, потенцирует обсуждение вопроса о ее целесообразности при заведомом увеличении риска осложнений лечения и ухудшении качества жизни пациентов. Описание клинических случаев. Мы представляем описание двух клинических случаев применения адъювантной и «спасительной» лучевой терапии у больных РПЖ после радикальной простатэктомии.
Заключение. После радикальной простатэктомии адъювантная лучевая терапия может быть рассмотрена у пациентов с неблагоприятными факторами риска развития рецидива заболевания, но в то же время «спасительная» лучевая терапия заведомо снижает риск развития осложнений, позволяет выполнить эскалацию дозы в опухоли и почти в половине случаев избежать ненужного дорогостоящего лечения и необходимости коррекции его осложнений.
Актуальность. Проблема замещения костных дефектов после внутриочаговых резекций, выполняемых по поводу опухолей костей, остается клинически значимой. Возможности использования собственных тканей в большинстве случаев ограничены ввиду малых объемов доступной аутокости, а также дополнительной травматичности хирургического пособия. На данный момент предложено большое количество костно-замещающих материалов как биологического происхождения, так и синтетических, в то же время единого подхода к выбору оптимального варианта не существует. С 2014 г. предложен новый отечественный синтетический костно-замещающий материал «Рекост» для использования в клинической практике. Предварительные результаты демонстрируют весьма обнадеживающие перспективы применения материала в реконструктивной хирургии.
Цель исследования – анализ результатов использования костно-замещающего материала «Рекост» при хирургическом лечении опухолей костей.
Материал и методы. В отделении онкологии «НМИЦ имени акад. Е.Н. Мешалкина», г. Новосибирск, с 2016 по 2022 г. проведено лечение 23 пациентам. В исследование были включены пациенты старше 18 лет с доброкачественными и опухолеподобными новообразованиями костей (11/23, 47,8 %), а также пациенты с опухолями костей промежуточного потенциала злокачественности (11/23, 47,8 %). В одном случае диагностирована остеосаркома (1/23, 4,3 %). Оперативное лечение в подавляющем большинстве случаев (20/23, 86,9 %) проводилось в объеме внутриочаговой резекции с пластикой полиуретановым костно-замещающим материалом «Рекост».
Результаты. Все пациенты живы и наблюдаются в сроки от 30 до 113 мес (в среднем – 62 ± 7 мес). Болевой синдром по визуально-аналоговой шкале боли (ВАШ) у большинства пациентов в раннем послеоперационном периоде варьировал в диапазоне от 10 до 50 %, в среднем – 20 ± 10 %. По достижении 12 мес после операции отмечено отсутствие болевого синдрома у большинства пациентов – 0–20 %. Функциональный результат MSTS (Musculoskeletal Tumor Society) на достигнутых сроках наблюдения оценивался как отличный и хороший: для верхней конечности – от 73 до 97 %, в среднем – 89 ± 10 %; для нижней конечности – от 57 до 100 %, в среднем – 81 ± 14 %. Интраоперационных, ранних послеоперационных и системных осложнений при использовании материала «Рекост» не было. Поздние местные послеоперационные осложнения возникли в 2 случаях (2/23, 8,6 %,) в сроки 6 и 9 мес. В подгруппе опухолей промежуточного потенциала злокачественности отмечен один случай (1/11, 9 %) рецидива гигантоклеточной опухоли, спустя 9 мес после внутриочаговой резекции дистального сегмента лучевой кости. Безрецидивная одногодичная и двухлетняя выживаемость в группе промежуточного потенциала злокачественности – 92 %.
Заключение. Предварительные результаты применения отечественного костно-замещающего материала демонстрируют низкий уровень осложнений и повторных оперативных вмешательств. Материал может быть рекомендован для замещения дефектов после внутриочаговых резекций у пациентов с доброкачественными и промежуточными опухолями костей. В то же время физико-химические особенности материала требуют дальнейшего изучения и сравнительного анализа с традиционными методами реконструкции.
ОБЗОРЫ
Злокачественные новообразования (ЗНО) являются одной из основных причин смертности, на борьбу с которой нацелены приоритетные программы и стратегии научно-технологического развития в области общественного здравоохранения и здоровьесбережения. Современные технологии скрининга ориентированы на раннюю диагностику ЗНО с целью улучшения отдаленных результатов лечения, однако большинство из них характеризуется инвазивностью и низкой комплаентностью пациентов. В связи с этим неинвазивная диагностика ЗНО различных локализаций рассматривается как перспективное направление в молекулярной биологии и онкологии. Благодаря достижениям в области молекулярной генетики и биоинформатики идентифицирован широкий спектр диагностических, прогностических и предиктивных биомаркеров, анализ которых возможен не только в образцах опухолевой ткани, но и в периферической крови.
Цель исследования – анализ и обобщение современных научнопрактических данных в области скрининговой неинвазивной диагностики ЗНО различных локализаций методом молекулярно-биологического анализа c оценкой этапов разработки, вопросов правового регулирования и интеграции в страховые медико-социальные программы инновационных тест-систем и диагностикумов.
Материал и методы. Материалом для исследования послужили отечественные и зарубежные базы научных данных, в частности National Library of Medicine, PubMed, Elibrary, Google Scholar, а также открытые интернет-ресурсы. Поиск осуществлялся по ключевым словам: сancer; malignant neoplasm; tumor; diagnostic; non-invasive; early; blood; Blood-based tests; test system; screening; pancancer; multi-cancer; sequencing; PCR; marker; DNA; cfDNA; multi-cancer early detection; MCED. Аналитический обзор включал отчеты о клинических исследованиях, метаанализы, систематические обзоры, когортные рандомизированные исследования за период с 2008 по 2025 г.
Результаты. Продемонстрирована тенденция широкомасштабного внедрения в клиническую практику универсальной неинвазивной технологии детекции ЗНО, в том числе на ранних стадиях неопластического процесса. Ретро/проспективные мультицентровые исследования и метаанализы, выполненные за последние 15 лет, представили достижения междисциплинарного мультимодального анализа клинических, геномных, транскриптомных, эпигеномных и других данных при оценке разнородных категорий пациентов, сделав акцент на экономическую эффективность разработанных методик.
Заключение. Остается актуальным проведение крупных популяционно-ориентированных исследований с учетом расовой и этнической принадлежности, позволяющих валидировать методологические подходы и оценить эффективность масштабной интеграции неинвазивной скрининговой технологии диагностики в онкологическую клиническую практику, в том числе и для многонационального населения Российской Федерации.
Актуальность. Глиома, особенно мультиформная глиобластома, является наиболее агрессивной формой первичной опухоли головного мозга, характеризующейся быстрой пролиферацией, метаболической пластичностью и выраженным иммунодепрессивным микроокружением опухоли (МОО). Недавно было установлено, что нарушение гомеостаза хлорида, глутаматергическая эксайтотоксичность и аномальная ГАМК-ергическая сигнализация являются механистическими факторами, способствующими прогрессированию глиомы и уклонению от иммунного ответа.
Цель исследования – представить эзопиклон, небензодиазепиновый модулятор рецепторов ГАМК-А, в качестве вспомогательного средства, способного перепрограммировать метаболизм глиомы и повышать чувствительность к иммунотерапии PD-1/PD-L1.
Материал и методы. Проведен обзор литературы, полученной из баз данных PubMed, Scopus, Web of Science и Science Direct. Всего было проанализировано 312 источников; для детального анализа отобрано 154 статьи, опубликованные в период с 2005 по 2024 г., основанные на изучении АМК-ергической системы, метаболизма глиомы, поляризации макрофагов, регуляции хлоридных каналов и взаимодействия иммунных контрольных точек.
Результаты. Активация ГАМК-А под действием эзопиклона восстанавливает приток хлорида и подавляет вызванные деполяризацией сигналы Ca²+/NFAT и PI3K/AKT/mTOR, что приводит к остановке клеточного цикла в фазе G1/S и повышению восприимчивости к апоптозу. В микроокружении опухоли сигнализация ГАМК-А снижает фосфорилирование NF-κB и STAT3 и сдвигает поляризацию микроглии/глиомоассоциированных макрофагов от проопухолевой M2 (CD206+/IL-10+) к противоопухолевой M1 (iNOS+/IFN-γ+), способствуя улучшению презентации антигенов и инфильтрации Т-клеток. Данные, полученные от исследований на ГАМКэргических моделях меланомы и рака молочной железы, свидетельствуют о том, что модуляция этой оси может снижать экспрессию PD-L1 и усиливать чувствительность к ингибиторам PD-1/PD-L1, что указывает на синергетический эффект при глиоме.
Заключение. Перепрофилирование эзопиклона представляет собой новую нейроиммуноонкологическую терапевтическую концепцию, объединяющую нейрофармакологию и иммунотерапию контрольных точек. Благодаря способности проникать через гематоэнцефалический барьер, клинической безопасности и селективности к рецепторам, эзопиклон является перспективным кандидатом для комбинированных стратегий с блокадой PD-1/PD-L1. Для подтверждения его иммуномодулирующего потенциала и определения его трансляционной значимости в терапии глиом необходимы дальнейшие доклинические исследования, ретроспективный анализ и исследования ранних фаз.
Введение. Актуальность исследований глиобластомы обусловлена ее высокой агрессивностью, почти 100 % смертностью, отсутствием эффективного лечения и катастрофическим воздействием на качество жизни пациентов. Несмотря на десятилетия исследований, стандартная терапия лишь незначительно продлевает жизнь, но не излечивает болезнь. Это делает глиобластому областью поиска прорывных научных решений в нейроонкологии, иммунотерапии, таргетной терапии и персонализированной медицине. Заболевание поражает людей трудоспособного возраста (с пиком заболеваемости между 45 и 70 годами), нанося социальный ущерб. Высокая стоимость лечения и паллиативной помощи усугубляет проблему.
Цель исследования – обобщить и систематизировать данные о современных подходах к лечению глиобластомы. Провести анализ данных по терапевтическим и побочным эффектам онколитических вирусов.
Материал и методы. С помощью электронных ресурсов поисковых систем PubMed, eLIBRARY, Springer, Google Scholar и др. проведен обзор литературы, содержащей доказательные экспериментальные и клинические данные по обсуждаемым вопросам, за последние 10 лет.
Результаты. Современные подходы к лечению глиом включают хирургическое лечение, химиотерапию и лучевую терапию. Разработанная в настоящее время виротерапия глиом головного мозга, сочетающая в себе высокую специфичность к опухолевым клеткам и способность стимулировать противоопухолевый иммунный ответ, представляется чрезвычайно перспективной. Современные исследования демонстрируют эффективность онколитической терапии против различных типов опухолей, в том числе резистентных к традиционным методам лечения. Безопасность виротерапии подтверждена клиническими исследованиями: большинство вирусов избирательно воздействуют на клетки глиомы, что сводит к минимуму повреждение здоровых тканей. Однако остаются вопросы по оптимизации дозировок онколитических вирусных препаратов и преодолению противовирусного иммунного ответа. Кроме того, разрабатываются методы доставки вирусов к опухолям.
Заключение. Терапия глиобластомы с помощью онколитических вирусов считается одним из наиболее перспективных методов лечения. В настоящее время онколитические вирусы проходят различные стадии исследований, причем многие из них показывают многообещающие результаты на животных моделях. Дальнейшие исследования в этой области могут привести к созданию новых персонализированных методов лечения, улучшающих прогноз для пациентов с солидными опухолями.
Актуальность. Метилирование ДНК регулирует множество биологических процессов, опосредуя нормальное развитие организма. Нарушения в паттернах метилирования ассоциированы с многочисленными патологическими состояниями, в особенности с наследственными и онкологическими заболеваниями. Важность данных аномалий подчеркивается их активным использованием в качестве клинически значимых биомаркеров для стратификации пациентов, мониторинга течения болезни, ранней диагностики и прогноза ответа на терапию. Выявление специфических паттернов метилирования возможно с помощью таргетных высокопроизводительных методов, обеспечивающих фокус на ключевых регионах интереса.
Цель исследования – анализ и обобщение литературных данных, описывающих применение технологий высокопроизводительного анализа метилирования ДНК, в том числе технологий, основанных на целевых (таргетных) подходах.
Материал и методы. Проведен систематический анализ литературных данных по базам данных PubMed, Web of Science, Scopus, посвященных особенностям проведения высокопроизводительного анализа метилирования ДНК при онкологических и некоторых генетически обусловленных патологиях. Проанализировано 113 источников, охватывающих период с 2000 по июнь 2025 г., 32 из которых использованы для написания обзора.
Результаты. Обобщены сведения о существующих технологиях высокопроизводительного анализа метилома, методах конверсии ДНК, их преимуществах и ограничениях. Рассмотрены существующие методы таргетного обогащения, их сильные и слабые стороны, а также возможности применения в научной и диагностической практике.
Заключение. Определение статуса метилирования ДНК перестало быть инструментом фундаментальных исследований, став одной из важных областей трансляционной медицины, особенно в онкологии. Современные методы анализа метилома позволяют выявлять эпигенетические маркеры для диагностики и прогноза заболеваний, выбирать оптимальную терапию, проводить поиск молекулярных мишеней для таргетных препаратов. Целевое обогащение ДНК позволяет повысить точность и чувствительность, снижая при этом стоимость анализа, а применение некоторых подходов способствует приложению таргетного анализа к сложным образцам. В совокупности с гибкостью выбора регионов интереса такие качества обусловливают применение целевых подходов не только в научно-исследовательской, но и в практической деятельности.
Актуальность. Трансплантируемые модели с использованием аллографтов и ксенографтов опухолей человека остаются незаменимым инструментом в экспериментальной онкологии для изучения механизмов канцерогенеза и оценки противоопухолевой активности перспективных средств лечения злокачественных новообразований.
Цель исследования – провести традиционный анализ научной литературы, посвященной возможностям метода ортотопической трансплантации у лабораторных животных с использованием различных источников получения опухолевого материала; описать основные преимущества и ограничения ортотопических моделей; представить практические рекомендации, которые помогут исследователям в рутинной практике при работе с ортотопическими трансплантируемыми моделями.
Материал и методы. Поиск публикаций выполняли в базах данных PubMed и Google Scholar. В обзор включали релевантные публикации, доступные для поиска на 30 апреля 2025 г.
Результаты. Показано, что по сравнению с трансплантацией суспензий опухолевых клеток, культивированных in vitro, трансплантация фрагментов со́лидных опухолей обеспечивает сохранение клональной гетерогенности опухоли, компонентов ее микроокружения и внеклеточного матрикса, которые поддерживают энграфтмент и рост опухоли. В сравнении с подкожной перевивкой ортотопические модели более точно воспроизводят сложное взаимодействие в системе «опухоль-организм хозяина» и патологические особенности злокачественных новообразований человека, включая метастатическую болезнь. Поскольку ортотопические опухоли находятся в естественном микроокружении, доклиническая оценка ответа таких опухолей в дальнейшем лучше транслируется в ранние фазы клинического изучения.
Заключение. Включение ортотопических моделей в программы неклинических фармакодинамических исследований in vivo дает возможность получить более полное представление о противоопухолевой активности проводимого экспериментального лечения, а также повышает прогностическую ценность и надежность доклинических результатов.
СЛУЧАЙ ИЗ КЛИНИЧЕСКОЙ ПРАКТИКИ
Актуальность. Аденомиоэпителиома молочной железы – редкая доброкачественная опухоль, характеризующаяся двухфазной пролиферацией эпителиальных и миоэпителиальных клеток долькового и протокового компонентов молочной железы. Несмотря на доброкачественную природу, аденомиоэпителиома может подвергаться злокачественной трансформации, что делает раннюю диагностику и вовремя начатое лечение особенно актуальными. В настоящее время нет установленных клинических, рентгенологических и морфологических критериев для раннего выявления этого типа опухоли, что затрудняет диагностику и требует гистологического исследования опухоли. Описание клинического случая. Пациентка С., 39 лет, обратилась в Онкологический центр № 1 ГБУЗ «ГКБ им. С.С. Юдина ДЗМ» по поводу новообразования молочной железы, выявленного при плановом обследовании. По данным ультразвукового исследования было предположено наличие фиброаденомы. При гистологическом исследовании трепан-биоптата опухоли была диагностирована аденомиоэпителиома. Пациентке выполнена секторальная резекция правой молочной железы, гистологические и иммуногистохимические исследования операционного материала подтвердили диагноз аденомиоэпителиомы.
Заключение. Аденомиоэпителиома молочной железы – редкая опухоль с уникальными гистологическими характеристиками. Диагноз устанавливают на основании гистологического и иммуногистохимического исследования. Основным методом лечения является хирургический. Необходимы дальнейшие исследования для изучения патогенеза.
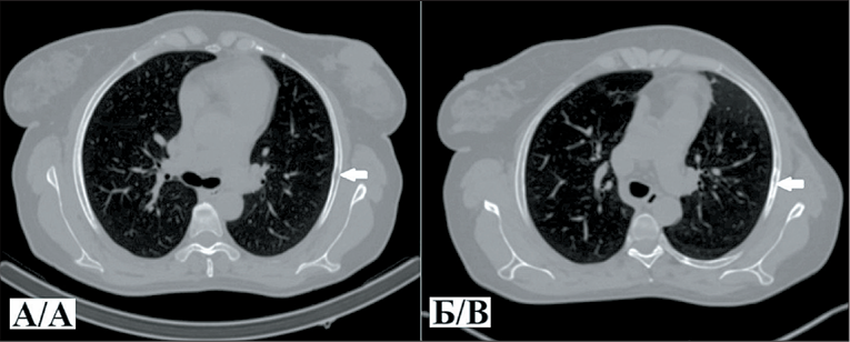
Актуальность. Нейроэндокринные опухоли, ассоциированные с АКТГ-эктопированной секрецией, являются редкими наблюдениями в клинической практике. Основная сложность данной патологии заключается в поздней диагностике из-за многообразия клинических проявлений эндокринопатии, что отдаляет специализированное лечение. Кроме того, наличие эктопированного синдрома Кушинга обусловливает риск метаболических, инфекционных осложнений, потенцирует тяжесть состояния больного и риск оперативного вмешательства, являющегося основным методом радикального лечения больных.
Цель исследования – улучшение результатов лечения больных нейроэндокринными опухолями легких, ассоциированными с АКТГ-паранеопластическим синдромом, путем описания отдельного клинического наблюдения.
Материал и методы. Материалом для статьи явились данные ГБУЗ ММКЦ «Коммунарка» департамента здравоохранения города Москвы, где проводились диагностика и лечение больной с нейроэндокринной опухолью легкого, ассоциированной с АКТГ-эктопированным синдромом. Проведен комплекс лабораторных и инструментальных методов обследования, направленный на анализ распространенности опухолевого процесса, оценку функционального статуса, изучение гормонального профиля и дифференциальную диагностику АКТГ-зависимого и АКТГ-независимого гиперкортицизма. По результатам обследования выполнена радикальная операция в объеме торакоскопической лобэктомии. В послеоперационном периоде отмечен регресс клинических и серологических проявлений АКТГ-эктопированного синдрома. Гистологическое и иммуногистохимическое исследование операционного материала подтвердило типичный вариант легочного карциноида.
Заключение. Представленное клиническое наблюдение и анализ литературы демонстрируют сложность патологии, необходимость поливалентного и своевременного обследования больных, проведения предоперационной коррекции эндокринных нарушений и радикального хирургического лечения, определяющего прогноз заболевания.
Актуальность. Рецидив рака желудка чаще всего возникает в течение 5 лет после радикальной операции, при этом 60–70 % рецидивов выявляются в течение первых двух лет и 4–5 % – через 5 лет. Рецидив рака желудка чаще всего наблюдается в печени и на поверхности брюшины, но может встречаться и в нетипичных отдаленных органах. Метастазирование любой первичной опухоли в скелетные мышцы встречается редко, с частотой от 0,03 до 0,16 %. В научной литературе описано очень мало случаев изолированного метастазирования рака желудка в скелетные мышцы, т.к. изолированный гематогенный метастаз из первичной опухоли желудка, минувший портальную и легочную систему, возникает редко.
Описание клинического случая. Представлено клиническое наблюдение 64-летнего пациента, у которого через 15 лет после гастрэктомии по поводу рака желудка (без периоперативной или адъювантной химиотерапии) развился изолированный солитарный метастаз в правой прямой мышце живота. Гистопатологическое исследование биоптата, полученного методом Tru-Cut под контролем УЗИ, подтвердило наличие аденокарциномы. По данным КТ грудной клетки, брюшной полости и малого таза, а также колоноскопии первичная синхронная опухоль не обнаружена. Выполнено широкое иссечение опухоли путем резекции брюшной стенки на всю толщину, с реконструкцией дефекта полипропиленовой сеткой.
Заключение. Представленный клинический случай демонстрирует, что рак желудка может метастазировать в скелетные мышцы даже через 15 лет после гастрэктомии. Другими словами, обнаружение опухолей мягких тканей, развившихся у больных через 15 лет после радикальной операции по поводу рака желудка, не исключает возможности метахронного метастазирования первичной опухоли желудка.
ЮБИЛЕИ
Юрий Александрович Дыхно – заслуженный врач России, доктор медицинских наук, профессор в третьем поколении. Он является представителем врачебной династии, отдавшей медицине более 700 лет.
21 декабря 2025 года отмечает свой 70-летний юбилей доктор медицинских наук, профессор Елена Юрьевна Златник.
НЕКРОЛОГ
Объявления
2024-08-12
Сроки рецензирования в летнее время
В связи с отпускным периодом большинства сотрудников редакции и рецензентов, срок обработки и рецензирования рукописей научных работ, поступающих в редакцию «Сибирского онкологического журнала» в июле-августе, может превышать установленный срок.
| Еще объявления... |
ISSN 2312-3168 (Online)







































