Особенности и подходы к лечению пациентов с сочетанием рака легкого и лимфопролиферативных заболеваний
https://doi.org/10.21294/1814-4861-2025-24-4-162-169
Аннотация
Актуальность. По данным эпидемиологических исследований, доля первично-множественных злокачественных новообразований составляет от 2 до 17 %. Сочетание рака легкого и лимфомы встречается до 15 % случаев среди всех сочетаний лимфопролиферативных заболеваний со злокачественными новообразованиями других органов. Общепринятой тактики диагностики и лечения данной группы пациентов на данный момент не существует.
Цель исследования – представить серию клинических случаев, показывающих значимость персонифицированного подхода в диагностике и лечении пациентов с сочетанием рака легкого и лимфопролиферативных заболеваний.
Описание клинических случаев. Представлены два клинических случая синхронного выявления рака легкого и В-клеточной лимфомы. В обоих случаях при обследовании установлен диагноз первично-множественных злокачественных новообразований, что позволило определить оптимальную тактику лечения.
Заключение. Рак легкого необходимо включать в дифференциальный диагноз при легочном поражении у больных хроническим лейкозом или лимфомой. Тщательное обследование и морфологическая верификация выявленных изменений у данной группы пациентов помогут определить правильную тактику лечения.
Об авторах
Ю. В. ПерминовРоссия
Перминов Юрий Викторович, онколог, торакальный хирург
191036, г. Санкт-Петербург, Лиговский пр., 2–4
А. О. Нефедов
Россия
Нефедов Андрей Олегович, кандидат медицинских наук, старший научный сотрудник, заведующий отделением торакальной онкологии
191036, г. Санкт-Петербург, Лиговский пр., 2–4
М.М. Мортада
Россия
Мортада Махмуд Мустафа, онколог, торакальный хирург
191036, г. Санкт-Петербург, Лиговский пр., 2–4
Г. Г. Кудряшов
Россия
Кудряшов Григорий Геннадиевич, кандидат медицинских наук, ведущий научный сотрудник, руководитель отдела пульмонологии и центра торакальной хирургии, торакальный хирург высшей категории
191036, г. Санкт-Петербург, Лиговский пр., 2–4
Е. М. Кызылова
Россия
Кызылова Екатерина Михайловна, онколог, торакальный хирург; ассистент кафедры госпитальной хирургии медицинского факультета
191036, г. Санкт-Петербург, Лиговский пр., 2–4
О. В. Ходырева
Россия
Ходырева Ольга Валерьевна, патологоанатом отделения патологической анатомии
191036, г. Санкт-Петербург, Лиговский пр., 2–4
П. К. Яблонский
Россия
Яблонский Петр Казимирович, доктор медицинских наук, профессор; проректор, профессор кафедры госпитальной хирургии медицинского факультета
191036, г. Санкт-Петербург, Лиговский пр., 2–4
199034, г. Санкт-Петербург, Университетская наб., 7–9
Список литературы
1. Vogt A., Schmid S., Heinimann K., Frick H., Herrmann C., Cerny T., Omlin A. Multiple primary tumours: challenges and approaches, a review. ESMO Open. 2017; 2(2): e000172. doi: 10.1136/esmoopen-2017-000172.
2. Altekruse S.F., Kosary C.L., Krapcho M., Neyman N., Aminou R., Waldron W., Ruhl J., Howlader N., Tatalovich Z., Cho H., Mariotto A., Eisner M.P., Lewis D.R., Cronin K., Chen H.S., Feuer E.J., Stinchcomb D.G., Edwards B.K. (eds). SEER Cancer Statistics Review, 1975-2007. National Cancer Institute. Bethesda, MD. URL: https://seer.cancer.gov/csr/1975_2007/, based on Nov. 2009 SEER data submission, posted to the SEER web site, 2010. [Internet]. [cited 01.03.2025].
3. Xu F., Liang Y., Mo W.B., Yan X.J., Zhang R. Concurrent lung adenocarcinoma and bladder diffuse large B-cell lymphoma: a case report and literature review. J Int Med Res. 2022; 50(2): 3000605221081672. doi: 10.1177/03000605221081672.
4. Chinen Y., Tanba K., Takagi R., Uchiyama H., Uoshima N., Shimura K., Fuchida S.I., Kiyota M., Nakao M., Tsukamoto T., Shimura Y., Kobayashi T., Horiike S., Wada K., Shimazaki C., Kaneko H., Kobayashi Y., Taniwaki M., Yokota I., Kuroda J.; Kyoto Clinical Hematology Study Group investigators. Second primary malignancy after rituximab-containing immunochemotherapy for diffuse large B cell lymphoma. Leuk Lymphoma. 2020; 61(14): 3378–86. doi: 10.1080/10428194.2020.1811862.
5. Yamada T., Shinohara K., Takeda K., Kameda N., Katsuki K., Ariyoshi K., Kamei T. Second lung adenocarcinoma after combination chemotherapy in two patients with primary non-Hodgkin’s lymphoma. Jpn J Clin Oncol. 1999; 29(4): 226–28. doi: 10.1093/jjco/29.4.226.
6. Konits P.H., Aisner J., Whitacre M., Wiernik P.H. Lung cancer as a complication of prolonged survival in patients with lymphoma. Med Pediatr Oncol. 1982; 10(4): 331–38. doi: 10.1002/mpo.2950100403.
7. List A.F., Doll D.C., Greco F.A. Lung cancer in Hodgkin’s disease: association with previous radiotherapy. J Clin Oncol. 1985; 3(2): 215–21. doi: 10.1200/JCO.1985.3.2.215.
8. van Leeuwen F.E., Somers R., Taal B.G., van Heerde P., Coster B., Dozeman T., Huisman S.J., Hart A.A. Increased risk of lung cancer, nonHodgkin’s lymphoma, and leukemia following Hodgkin’s disease. J Clin Oncol. 1989; 7(8): 1046–58. doi: 10.1200/JCO.1989.7.8.1046.
9. Fukaura A., Tazawa H., Fujii H., Nakatani K., Katsura T., Mochizuki T., Mizuno M., Takahashi T., Tsuruoka N. Synchronous cancer of squamous cell carcinoma of the lung and lymphocytic leukemia (B-cell type): a case report. Jpn J Clin Oncol. 1992; 22(3): 210–15.
10. Graziano F., Cellerino R., Menestrina F., Nicoli N., Gramazio A., Latini L., Piga A. Synchronous primary hepatic lymphoma and epidermoid lung carcinoma treated with chemotherapy and surgery. Am J Clin Oncol. 1995; 18(3):194–98. doi: 10.1097/00000421-199506000-00003.
11. Koschmieder S., Fauth F., Kriener S., Hoelzer D., Seipelt G. Effective treatment of simultaneous small cell lung cancer and B-cell lymphoma. Leuk Lymphoma. 2002; 43(3): 645–47. doi: 10.1080/10428190290012209.
12. Fonseca D., Musthyala B., Ahmed F., Murthy S.S., Raju K.V. A tale of synchronous lung carcinoma and diffuse large B-cell lymphoma of ileum: A rare combination. Lung India. 2015; 32(4): 398–401. doi: 10.4103/0970-2113.159598.
13. Yohannan B., Sridhar A., Kachira J.J., AlJumaili Z. Synchronous Diagnosis of Squamous Cell Carcinoma of the Lung and Mixed Cellularity Hodgkin Lymphoma of the Nasopharynx. Cureus. 2022; 14(12): e32885. doi: 10.7759/cureus.32885.
14. Fujii M., Shirai T., Asada K., Saito Y., Hirose M., Suda T. Synchronous diffuse large B-cell lymphoma and squamous cell lung carcinoma. Respirol Case Rep. 2014; 2(1): 33–35. doi: 10.1002/rcr2.40.
15. Libshitz H.I., Zornoza J., McLarty J.W. Lung cancer in chronic leukemia and lymphoma. Radiology. 1978; 127(2): 297–300. doi: 10.1148/127.2.297.
16. Videbaek A. Heredity in Human Leukemia and Its Relationship to Cancer. Copenhagen, Arnold Busch. 1947. pp 82–91.
17. Moertel C.G., Hagedorn A.B. Leukemia or lymphoma and coexistent primary malignant lesions: a review of the literature and a study of 120 cases. Blood. 1957; 12(9): 788–803.
Дополнительные файлы
|
|
1. Рис. 1. ПЭТ/КТ с 18F-ФДГ (поражение нижней челюсти, шейных лимфатических узлов справа, верхней доли левого легкого при В-клеточной крупноклеточной лимфоме). Примечание: рисунок выполнен авторами | |
| Тема | ||
| Тип | Исследовательские инструменты | |
Посмотреть
(47KB)
|
Метаданные ▾ | |
|
|
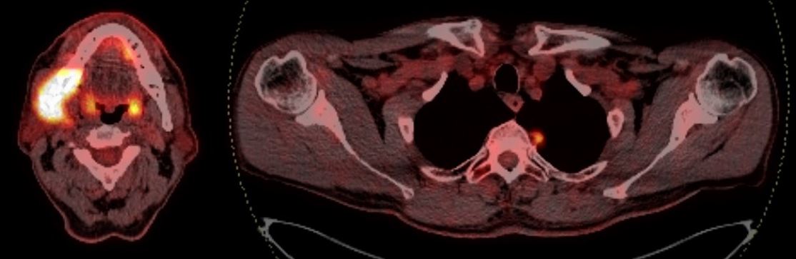
2. Рис. 2. ПЭТ/КТ с 18F-ФДГ (нивелирование образования щечной области справа с признаками репаративных процессов нижней челюсти, снижение метаболической активности лимфатических узлов шеи, накопление РФП в проекции образования верхушки левого легкого). Примечание: рисунок выполнен авторами | |
| Тема | ||
| Тип | Исследовательские инструменты | |
Посмотреть
(53KB)
|
Метаданные ▾ | |
|
|
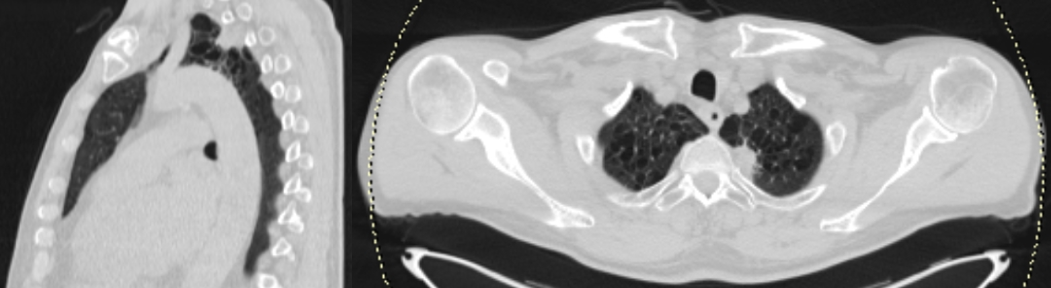
3. Рис. 3. МСКТ органов грудной клетки (гиповаскулярное солидное образование со спикулами в проекции верхушки левого легкого, широко прилежащее к плевре). Примечание: рисунок выполнен авторами | |
| Тема | ||
| Тип | Исследовательские инструменты | |
Посмотреть
(235KB)
|
Метаданные ▾ | |
|
|
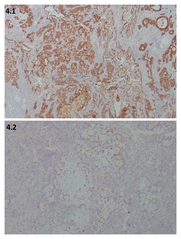
4. Рис. 4. Микрофото. Муцинозная аденокарцинома верхней доли левого: 4.1 – позитивное окрашивание аденокарциномы на Ск7, ×200; 4.2. – окрашивание опухолевых клеток cdx2, ×200. Примечание: рисунок выполнен авторами | |
| Тема | ||
| Тип | Исследовательские инструменты | |
Посмотреть
(176KB)
|
Метаданные ▾ | |
|
|
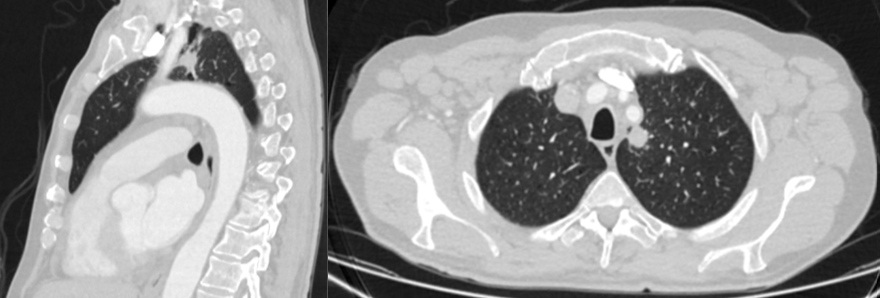
5. Рис. 5. МСКТ органов грудной полости (слева в верхней доле образование солидного типа, с бугристым контуром, размерами 15×14 мм, плотностью +18HU, с градиентом плотности при контрастировании +20+25HU). Примечание: рисунок выполнен авторами | |
| Тема | ||
| Тип | Исследовательские инструменты | |
Посмотреть
(210KB)
|
Метаданные ▾ | |
|
|
6. Рис. 6. МСКТ органов грудной полости (лимфопролиферативный процесс с вовлечением внутригрудных, аксиллярных, шейных, внутрибрюшных и забрюшинных лимфатических узлов, узлов малого таза, гепатоспленомегалия). Примечание: рисунок выполнен авторами | |
| Тема | ||
| Тип | Исследовательские инструменты | |
Посмотреть
(495KB)
|
Метаданные ▾ | |
|
|
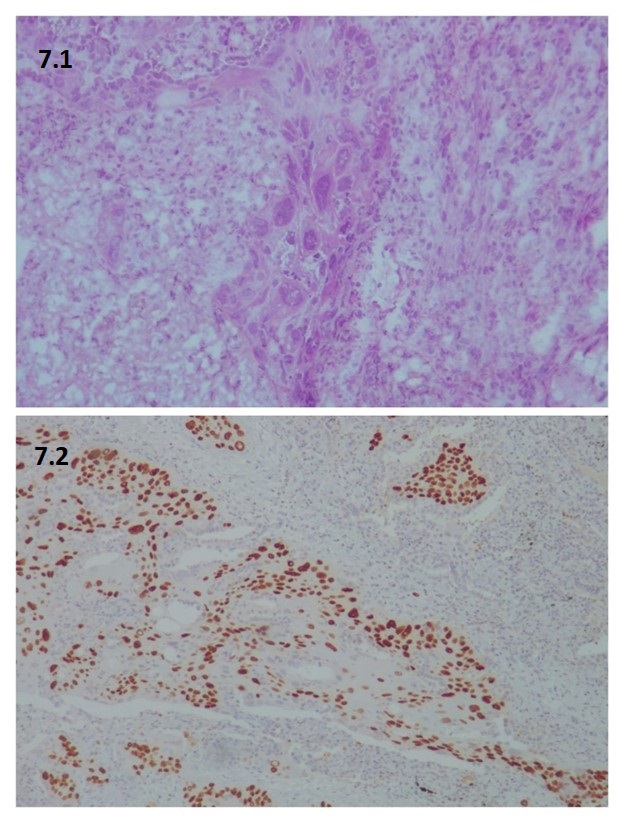
7. Рис. 7. Микрофото. Плоскоклеточный рак: 7.1 – крупные полигональные клетки с широкой эозинофильной цитоплазмой, полиморфными ядрами, заметными межклеточными мостиками. Замороженный срез. Окраска гематоксилином и эозином, ×400; 7.2 – опухолевые клетки экспрессируют р63, ×200. Примечание: рисунок выполнен авторами | |
| Тема | ||
| Тип | Исследовательские инструменты | |
Посмотреть
(155KB)
|
Метаданные ▾ | |
|
|
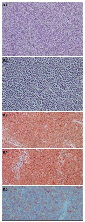
8. Рис. 8. Микрофото. Хронический лимфоцитарный лейкоз/ лимфома из малых лимфоцитов: 8.1 – внутригрудной лимфоузел с полной утратой архитектоники, диффузной инфильтрацией относительно мономорфной популяцией лимфоцитов. Окраска гематоксилином и эозином, ×200; 8.2 – популяция опухолевых клеток представлена лимфоцитами со скудной цитоплазмой, среди которых расположены клетки с овальными ядрами, центрально расположенными ядрышками (параиммунобласты). Окраска гематоксилином и эозином, ×400; 8.3 – опухолевые клетки экспрессируют CD20, ×200; 8.4 – экспрессия CD5, ×200; 8.5 – окрашивание мембраны В-клеток на CD23, ×400. Примечание: рисунок выполнен авторами | |
| Тема | ||
| Тип | Исследовательские инструменты | |
Посмотреть
(93KB)
|
Метаданные ▾ | |
Рецензия
Для цитирования:
Перминов Ю.В., Нефедов А.О., Мортада М., Кудряшов Г.Г., Кызылова Е.М., Ходырева О.В., Яблонский П.К. Особенности и подходы к лечению пациентов с сочетанием рака легкого и лимфопролиферативных заболеваний. Сибирский онкологический журнал. 2025;24(4):162-169. https://doi.org/10.21294/1814-4861-2025-24-4-162-169
For citation:
Perminov Yu.V., Nefedov A.O., Mortada M.M., Kudryashov G.G., Kyzylova E.M., Khodyreva O.V., Yablonskiy P.K. Features and approaches to treating patients with concurrent lung cancer and lymphoproliferative disorders. Siberian journal of oncology. 2025;24(4):162-169. (In Russ.) https://doi.org/10.21294/1814-4861-2025-24-4-162-169








































