Транскриптомные характеристики макрофагов микроокружения опухоли у пациенток с трижды негативным раком молочной железы в зависимости от PD-L1 статуса опухоли
https://doi.org/10.21294/1814-4861-2025-24-5-64-71
Аннотация
Цель исследования – охарактеризовать транскриптомные особенности кластеров CD68+ и CD163+ макрофагов в опухолевом микроокружении у пациенток с трижды негативным раком молочной железы (ТНРМЖ) в зависимости от PD-L1 статуса опухоли. Материал и методы. В исследование включено 11 пациенток с ТНРМЖ. PD-L1 статус определяли методом иммуногистохимии. Пространственное транскриптомное профилирование выполняли с использованием платформы Visium 10x Genomics.
Аннотацию CD68+ и CD163+ кластеров проводили в программе Loupe Browser 8.0.0. Дифференциальную экспрессию генов и обогащение биологических путей анализировали для CD68+ и CD163+ кластеров в группах с позитивным и негативным PD-L1 статусом. Результаты. В опухолях с позитивным PD-L1 статусом выявлен компенсаторный рекрутинг иммунных клеток при признаках их функционального истощения, в который вовлекаются CD68+ макрофаги. При негативном PD-L1 статусе микроокружение характеризовалось активным адаптивным иммунным ответом с участием CD68+ макрофагов как антиген-презентирующих клеток, но с выраженными элементами негативной регуляции воспаления, ассоциированной с CD163+ макрофагами. Заключение. Функциональное состояние макрофагов и клеточных компонентов микроокружения ТНРМЖ существенно различается в зависимости от PD-L1 статуса опухоли. Полученные данные могут способствовать идентификации биомаркеров ответа на иммунотерапию у данной категории пациенток.
Ключевые слова
Об авторах
А. Ю. КалинчукРоссия
Калинчук Анна Юрьевна, младший научный сотрудник лаборатории молекулярной терапии рака
SPIN-код: 3763-0291
Researcher ID (WOS): ABF-1277-2022
Author ID (Scopus): 57797359600
634009, Томск, пер. Кооперативный, 5
И. А. Пацкан
Россия
Пацкан Иван Андреевич, лаборант-исследователь лаборатории молекулярной терапии рака
SPIN-код: 4880-3416
Researcher ID (WOS): OJU-3352-2025
Author ID (Scopus): 59384926800
634009, Томск, пер. Кооперативный, 5
С. В. Вторушин
Россия
Вторушин Сергей Владимирович - доктор медицинских наук, профессор, заместитель директора по научной работе и трансляционной медицине, руководитель отделения общей и молекулярной патологии, Научно-исследовательский институт онкологии
SPIN-код: 2442-4720
Researcher ID (WOS): S-3789-2016
Author ID (Scopus): 26654562300
634009, Томск, пер. Кооперативный, 5
Л. А. Таширева
Россия
Таширева Любовь Александровна - доктор медицинских наук, заведующая лабораторией молекулярной терапии рака, Научно-исследовательский институт онкологии
SPIN-код: 4371-5340
Researcher ID (WОS): C-8222-2012
Author ID (Scopus): 55234960400
634009, Томск, пер. Кооперативный, 5
Список литературы
1. Borri F., Granaglia A. Pathology of triple negative breast cancer. Semin Cancer Biol. 2021; 72: 136–45. doi: 10.1016/j.semcancer.2020.06.005.
2. Stavrou M., Constantinidou A. Tumor associated macrophages in breast cancer progression: implications and clinical relevance. Front Immunol. 2024; 15: 1441820. doi: 10.3389/fimmu.2024.1441820.
3. Pan Y., Yu Y., Wang X., Zhang T. Tumor-Associated Macrophages in Tumor Immunity. Front Immunol. 2020; 11: 583084. doi: 10.3389/fimmu.2020.583084.
4. Han Y., Liu D., Li L. PD-1/PD-L1 pathway: current researches in cancer. Am J Cancer Res. 2020; 10(3): 727–42.
5. Debien V., De Caluwé A., Wang X., Piccart-Gebhart M., Tuohy V.K., Romano E., Buisseret L. Immunotherapy in breast cancer: an overview of current strategies and perspectives. NPJ Breast Cancer. 2023; 9(1): 7. doi: 10.1038/s41523-023-00508-3.
6. Tashireva L.A., Kalinchuk A.Y., Gerashchenko T.S., Menyailo M., Khozyainova A., Denisov E.V., Perelmuter V.M. Spatial Profile of Tumor Microenvironment in PD-L1-Negative and PD-L1-Positive TripleNegative Breast Cancer. Int J Mol Sci. 2023; 24(2): 1433. doi: 10.3390/ijms24021433.
7. Schütz F., Stefanovic S., Mayer L., von Au A., Domschke C., Sohn C. PD-1/PD-L1 Pathway in Breast Cancer. Oncol Res Treat. 2017; 40(5): 294–97. doi: 10.1159/000464353.
8. Waibl Polania J., Hoyt-Miggelbrink A., Tomaszewski W.H., Wachsmuth L.P., Lorrey S.J., Wilkinson D.S., Lerner E., Woroniecka K., Finlay J.B., Ayasoufi K., Fecci P.E. Antigen presentation by tumor-associated macrophages drives T cells from a progenitor exhaustion state to terminal exhaustion. Immunity. 2025; 58(1): 232–246.e6. doi: 10.1016/j.immuni.2024.11.026.
9. Koh J., Lee D., Kim S., Song S.G., Han B., Jeong H., Kim Y.A., Keam B., Lee S.H., Kim K., Jeon Y.K., Chung D.H. Spatially Resolved Whole-Transcriptomic and Proteomic Profiling of Lung Cancer and Its Immune Microenvironment According to PD-L1 Expression. Cancer Immunol Res. 2024; 12(12): 1753–64. doi: 10.1158/2326-6066.CIR-24-0071.
10. Larroquette M., Guegan J.P., Besse B., Cousin S., Brunet M., Le Moulec S., Le Loarer F., Rey C., Soria J.C., Barlesi F., Bessede A., Scoazec J.Y., Soubeyran I., Italiano A. Spatial transcriptomics of macrophage infiltration in non-small cell lung cancer reveals determinants of sensitivity and resistance to anti-PD1/PD-L1 antibodies. J Immunother Cancer. 2022; 10(5): e003890. doi: 10.1136/jitc-2021-003890.
11. Wen Z., Sun H., Zhang Z., Zheng Y., Zheng S., Bin J., Liao Y., Shi M., Zhou R., Liao W. High baseline tumor burden-associated macrophages promote an immunosuppressive microenvironment and reduce the efficacy of immune checkpoint inhibitors through the IGFBP2-STAT3PD-L1 pathway. Cancer Commun (Lond). 2023; 43(5): 562–81. doi: 10.1002/cac2.12420.
Дополнительные файлы
|
|
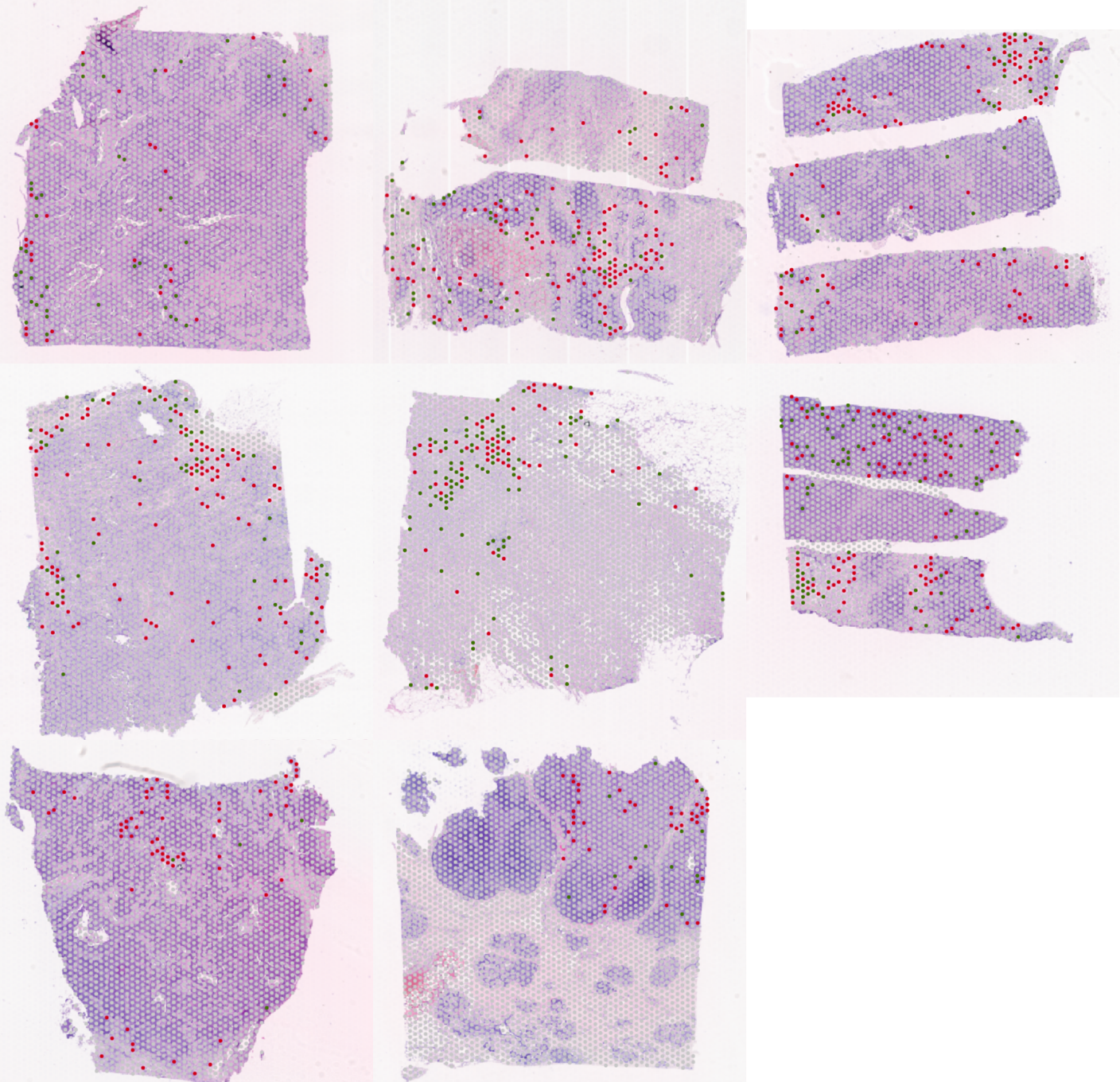
1. Рис. 1. Аннотация спотов в Loupe Browser (зеленые точки – стромальные CD68+ споты; красные точки – стромальные CD163+ споты). Примечание: рисунок выполнен авторами | |
| Тема | ||
| Тип | Исследовательские инструменты | |
Посмотреть
(3MB)
|
Метаданные ▾ | |
|
|
2. Рис. 2. Диаграмма рассеяния (volcano plot), иллюстрирующая результаты анализа дифференциальной экспрессии генов в кластере CD68+ клеток (А) и CD163+ кластере (Б) стромы опухоли у пациенток с положительным и отрицательным PD-L1 статусом. Примечание: рисунок выполнен авторами | |
| Тема | ||
| Тип | Исследовательские инструменты | |
Посмотреть
(167KB)
|
Метаданные ▾ | |
|
|
3. Рис. 3. Обогащенные биологические процессы в CD68+ кластере (А) и в CD163+ кластере (Б) в зависимости от PD-L1 статуса (зеленым цветом показаны процессы, обогащенные у пациенток с позитивным PD-L1 статусом, синим – у пациенток с негативным PD-L1 статусом). Примечание: рисунок выполнен авторами | |
| Тема | ||
| Тип | Исследовательские инструменты | |
Посмотреть
(197KB)
|
Метаданные ▾ | |
Рецензия
Для цитирования:
Калинчук А.Ю., Пацкан И.А., Вторушин С.В., Таширева Л.А. Транскриптомные характеристики макрофагов микроокружения опухоли у пациенток с трижды негативным раком молочной железы в зависимости от PD-L1 статуса опухоли. Сибирский онкологический журнал. 2025;24(5):64-71. https://doi.org/10.21294/1814-4861-2025-24-5-64-71
For citation:
Kalinchuk A.Yu., Patskan I.A., Vtorushin S.V., Tashireva L.A. Transcriptomic characteristics of tumor-associated macrophages in the microenvironment of triple-negative breast cancer depending on PD-L1 status. Siberian journal of oncology. 2025;24(5):64-71. (In Russ.) https://doi.org/10.21294/1814-4861-2025-24-5-64-71








































