Синдром Реклингхаузена–Энгеля. Скелетное проявление гиперпаратиреоидизма: обзор литературы и клиническое наблюдение
https://doi.org/10.21294/1814-4861-2025-24-5-198-205
Аннотация
Цель исследования – представить обзор с современными сведениями о номенклатуре и терминологических особенностях синдрома Реклингхаузена–Энгеля (паратиреоидная остеодистрофия), его патогенезе, типичных морфологических и лучевых проявлениях. Уделить особое внимание вопросам дифференциальной диагностики бурой опухоли и гигантоклеточной опухоли скелета. Привеcти клинико-морфологические критерии разграничения этих состояний, систематизированные в виде сравнительной таблицы.
Материал и методы. Поиск соответствующих источников производился в системах Medline, PubMed, Elibrary и др. Из 100 найденных исследований 30 были использованы для написания систематического обзора. Приведен клинический случай резецированной бурой опухоли бедренной кости у 58-летнего мужчины с ранее не распознанным гиперпаратиреозом, продемонстрированы особенности морфологического диагноза и динамика заболевания.
Результаты. Синдром Реклингхаузена–Энгеля (паратиреоидная остеодистрофия) представляет собой редкое, но клинически важное метаболическое поражение скелета, развивающееся на фоне гиперпаратиреоидизма. Он характеризуется выраженной остеокластической активностью, формированием кистозных очагов, субпериостальной резорбцией и так называемых бурых опухолей. Несмотря на доброкачественную природу, данный синдром часто имитирует агрессивные гигантоклеточные новообразования кости, что создает сложности в интерпретации клинико-рентгенологических и морфологических данных и повышает риск диагностических ошибок.
Заключение. Обсуждаются трудности диагностики при отсутствии выраженной клинической симптоматики гиперпаратиреоза и подчеркивается ключевая роль патоморфолога в составе междисциплинарной команды. Своевременное выявление гиперсекреции паратгормона и радикальное удаление гиперплазированной или опухолевой паращитовидной железы обеспечивают регресс изменений костной ткани и благоприятный прогноз.
Ключевые слова
Об авторах
Н. В. ВасильевРоссия
Васильев Николай Вольтович - доктор медицинских наук, старший научный сотрудник отделения общей и молекулярной патологии, Научно-исследовательский институт онкологии
SPIN-код: 1627-5226
Researcher ID (WOS): D-1144-2012
Author ID (Sсоpus): 57206755190
634009, Томск, пер. Кооперативный, 5
С. В. Вторушин
Россия
Вторушин Сергей Владимирович - доктор медицинских наук, профессор, заместитель директора по научной работе и трансляционной медицине, руководитель отделения общей и молекулярной патологии, Научно-исследовательский институт онкологии, Томский НМЦ РАН; профессор кафедры патологической анатомии, ФГБОУ ВО «Сибирский государственный медицинский университет» Минздрава России (г. Томск, Россия)
SPIN-код: 2442-4720
Researcher ID (WOS): S-3789-2016
Author ID (Scopus): 26654562300
634009, Томск, пер. Кооперативный, 5; 634050, Томск, Московский тракт, 2
Х. И. Хакимов
Россия
Хакимов Хуршед Илхомжонович - кандидат медицинских наук, младший научный сотрудник отделения общей онкологии
SPIN-код: 4799-2673
Researcher ID (WOS): AGB-1459-2022
Author ID (Scopus): 57996937000
634009, Томск, пер. Кооперативный, 5; 634050, Томск, Московский тракт, 2
И. И. Анисеня
Россия
Анисеня Илья Иванович - кандидат медицинских наук, старший научный сотрудник отделения общей онкологии
SPIN-код: 3003-8744
Researcher ID (WOS): D-8434-2012
Author ID (Scopus): 6507640381
634009, Томск, пер. Кооперативный, 5
Д. М. Лоос
Россия
Лоос Дмитрий Максимович - патологоанатом отделения общей и молекулярной патологии
SPIN-код: 9355-4470
Author ID (Scopus): 57224221490
634009, Томск, пер. Кооперативный, 5
У. А. Бокова
Россия
Бокова Устинья Анатольевна - кандидат биологических наук, научный сотрудник лаборатории биологии опухолевой прогрессии, Научно-исследовательский институт онкологии
SPIN-код: 3546-0527
Researcher ID (WOS): AAX-9705-2021
Author ID (Scopus): 57226147765
634009, Томск, пер. Кооперативный, 5
Список литературы
1. Diacinti D., Cipriani C., Biamonte F., Pepe J., Colangelo L., Kripa E., Iannacone A., Orlandi M., Guarnieri V., Diacinti D., Minisola S. Imaging technologies in the differential diagnosis and follow-up of brown tumor in primary hyperparathyroidism: Case report and review of the literature. Bone Rep. 2020; 14: 100745. doi: 10.1016/j.bonr.2020.100745.
2. Tariq M.U., Din N.U., Qureshi M.B., Park Y.K. Chondroblastoma of foot bones; a clinicopathological study of 29 cases confirming the diagnostic utility of H3K36M and H3G34W antibodies at an uncommon site. Ann Diagn Pathol. 2023; 65: 152135. doi: 10.1016/j.anndiagpath.2023.152135.
3. Walsh H., Crane H., Hunter K.D. Giant cell lesions of the jaws. Diagn. Histopathol. 2022; 28(5): 217–27. doi: 10.1016/j.mpdhp.2022.02.002.
4. Unni K.K., Inwards C.Y. Dahlin’s bone tumors: general aspects and data on 10,165 cases. 6th ed. Philadelphia: Wollters Kluwer/Lippincott Williams & Wilkins Health, 2010. 402 p.
5. Zhong Y., Huang Y., Luo J., Ye Y. Misdiagnosis of brown tumour caused by primary hyperparathyroidism: a case report with literature review. BMC Endocr Disord. 2022; 22(1): 66. doi: 10.1186/s12902-022-00971-2.
6. Aghaghazvini L., Sharifian H., Rasuli B. Primary Hyperparathyroidism Misdiagnosed as Giant Cell Bone Tumor of Maxillary Sinus: A Case Report. Iran J Radiol. 2016; 13(1): e13260. doi: 10.5812/iranjradiol.13260.
7. Borbolla-Pertierra A.M., Guinto-Arcos E., Rodríguez-Reyes A., Moreno G.G., Olvera-Morale O. Brown tumour involving the orbit: case report and review of the literature. Can J Ophthalmol. 2016; 51(4): 125–27. doi: 10.1016/j.jcjo.2016.02.020.
8. Hameed M. Giant cell-rich lesions of bone. Diagn Histopathol. 2020. 26(10): 474–83. doi: 10.1016/j.mpdhp.2020.07.005.
9. Hatipoglu E., Eskazan A.E., Celik O., Kantarci F., Kadioglu P. Diagnostic dilemma: metastatic bone malignancy or primary hyperparathyroidism with brown tumor. Open J Intern. Med. 2013; 3: 60–62.
10. Mascarenhas L.S., Marchionni A.M.T., Rebouças D.S., Neri J.S.V., Ribeiro A., Medrado A.P. Brown tumor as a result of secondary hyperparathyroidism in chronic renal disease. J Oral Diag. 2016; 1. doi: 10.5935/2525-5711.20160021.
11. Öç Y., Kılınç B.E., Gültekin O., Yazar E.A., Varol A., Özdemir H.M. Brown tumor and hyperparathyroidism in orthopaedic surgery. Turk J Osteoporos. 2021; 27(1): 24–29. doi: 10.4274/tod.galenos.2020.72677.
12. Proimos E., Chimona T.S., Tamiolakis D., Tzanakakis M.G., Papadakis C.E. Brown tumor of the maxillary sinus in a patient with primary hyperparathyroidism: a case report. J Med Case Rep. 2009; 3: 7495. doi: 10.4076/1752-1947-3-7495.
13. Rao D.S., Kalappanavar A.N., Annigeri R.G. Normocalcemic hyperparathyroidism manifesting as brown tumor of mandible: a case report. J Orofac Sci. 2016; 8(1): 71–73. doi: 10.4103/0975-8844.181933.
14. Wu Y., Cheng W., Zhang X., Li Z., Liu Y., Bai W. Neurofibromatosis type I-associated malignant peripheral nerve sheath tumors: a case report and literature review. Arch Med Sci. 2020; 16(6): 1476–82. doi: 10.5114/aoms.2020.100309.
15. Paramita R.D., Rahardjo P. Multiple brown tumor in late adolescence mimicking bone metastasis: A challenging case report. Radiol Case Rep. 2024; 19(10): 4266–72. doi: 10.1016/j.radcr.2024.07.008.
16. Choi J.H., Kim K.J., Lee Y.J., Kim S.H., Kim S.G., Jung K.Y., Choi D.S., Kim N.H. Primary Hyperparathyroidism with Extensive Brown Tumors and Multiple Fractures in a 20-Year-Old Woman. Endocrinol Metab (Seoul). 2015; 30(4): 614–19. doi: 10.3803/EnM.2015.30.4.614.
17. Rossi B., Ferraresi V., Appetecchia M.L., Novello M., Zoccali C. Giant cell tumor of bone in a patient with diagnosis of primary hyperparathyroidism: a challenge in differential diagnosis with brown tumor. Skeletal Radiol. 2014; 43(5): 693–97. doi: 10.1007/s00256-013-1770-9.
18. Shetty A.D., Namitha J., James L. Brown tumor of mandible in association with primary hyperparathyroidism: a case report. J Int Oral Health. 2015; 7(2): 50–52.
19. Selvi F., Cakarer S., Tanakol R., Guler S.D., Keskin C. Brown tumour of the maxilla and mandible: a rare complication of tertiary hyperparathyroidism. Dentomaxillofac Radiol. 2009; 38(1): 53–58. doi: 10.1259/dmfr/81694583.
20. Aljabri K.S.J., Bokhari A.A., Bokhari S.A., Alshareef M.A., Alhumidi A., Aljabri B.K. Wide spread skeletal bones involvements of brown tumors in a patient with an ectopic mediastinal parathyroid adenoma: a case report and review of literature. Med Case Rep. 2016; 2(3): 32. doi: 10.21767/2471-8041.1000032.
21. Rekhi B., Dave V., Butle A., Dharavath B., Khetale S., Redhu A.K., Singh R., Dutt A. Immunohistochemical expression of H3.3 G34W in 100 giant cell tumors of bone and its diagnostic mimics, including its value in resolving uncommon diagnostic scenarios: A single institutional study at a tertiary cancer referral center, India. Indian J Pathol Microbiol. 2024; 67(3): 542–52. doi: 10.4103/ijpm.ijpm_886_23.
22. Tumors and tumor-like lesions of bone: for surgical pathologists, orthopedic surgeons and radiologists. Ed. by E. Santini-Araujo, R.K. Kalil, F. Bertoni, Y.K. Park. London; New York: Springer, 2015. 994 p. ISBN: 978-1-4471-6577-4. doi: 10.1007/978-1-4471-6578-1.
23. Priyanthan T., Hermann A.P., Bojsen J.A., Krøigaard A.B., Bistrup C., Pedersen E.B. Multiple Focal Brown Tumors (Osteitis Fibrosa Cystica) in a Renal Transplant Recipient. Case Rep Nephrol. 2022; 4675041. doi: 10.1155/2022/4675041.
24. Jakubowski J.M., Velez I., McClure S.A. Brown tumor as a result of hyperparathyroidism in an end-stage renal disease patient. Case Rep Radiol. 2011; 415476. doi: 10.1155/2011/415476.
25. Kamal A.F., Isdianto P.A., Abdullah A., Kodrat E. Brown tumors of hyperparathyroidism misdiagnosed as multifocal giant cell tumors of bone: a case report. Hum Pathol: Case Rep. 2020; 21: 200385. doi: 10.1016/j.ehpc.2020.200385.
26. Manzil F.F.P., Bhambhvani P., Vattoth S., Subedi S.K., Bag A.K., O’Malley J.P. Primary hyperparathyroidism–related brown tumors mimicking other giant cell–containing skeletal tumors: role of correlative imaging in diagnosis. J Nucl Med Technol. 2013; 41(1): 46–48. doi: 10.2967/jnmt.112.115204.
27. Ito K., Ikuta K., Nishida Y., Sakai T., Imagama S. Spontaneous regression of brown tumor in a patient treated with peritoneal dialysis. Cureus. 2021; 13(8): e17078. doi: 10.7759/cureus.17078.
28. Vaishya R., Agarwal A., Singh H., Vijay V. Multiple ‘brown tumors’ masquerading as metastatic bone disease. Cureus. 2015; 7(12): e431. doi: 10.7759/cureus.431.
29. Shooshtarizadeh T., Rahimi M., Movahedinia S. P63 expression as a biomarker discriminating giant cell tumor of bone from other giant cellrich bone lesions. Pathol Res Pract. 2016; 212(10): 876–79. doi:10.1016/j.prp.2016.07.007.
30. Yamamoto H., Iwasaki T., Yamada Y., Matsumoto Y., Otsuka H., Yoshimoto M., Kohashi K., Taguchi K., Yokoyama R., Nakashima Y., Oda Y. Diagnostic utility of histone H3.3 G34W, G34R, and G34V mutantspecific antibodies for giant cell tumors of bone. Hum Pathol. 2018; 73: 41–50. doi: 10.1016/j.humpath.2017.11.020.
Дополнительные файлы
|
|
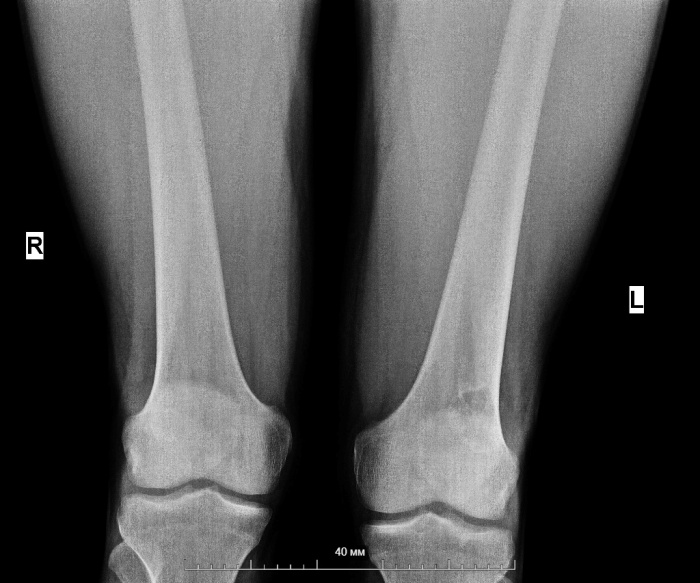
1. Рис. 1. Рентгенография коленного сустава. Участок деструкции кости по медиальной поверхности наружного мыщелка левой бедренной кости. Примечание: рисунок выполнен авторами | |
| Тема | ||
| Тип | Исследовательские инструменты | |
Посмотреть
(111KB)
|
Метаданные ▾ | |
|
|
2. Рис. 2. Микрофото. Бурая опухоль. Очаговое скопление гигантских многоядерных остеокластоподобных клеток по периферии зоны кровоизлияния. Окраска гематоксилином и эозином, ×100. Примечание: рисунок выполнен авторами | |
| Тема | ||
| Тип | Исследовательские инструменты | |
Посмотреть
(254KB)
|
Метаданные ▾ | |
|
|
3. Рис. 3. СКТ коленного сустава. Зона реконструкции и ремоделирования в области ранее резецированного участка кости слева. Примечание: рисунок выполнен авторами | |
| Тема | ||
| Тип | Исследовательские инструменты | |
Посмотреть
(31KB)
|
Метаданные ▾ | |
Рецензия
Для цитирования:
Васильев Н.В., Вторушин С.В., Хакимов Х.И., Анисеня И.И., Лоос Д.М., Бокова У.А. Синдром Реклингхаузена–Энгеля. Скелетное проявление гиперпаратиреоидизма: обзор литературы и клиническое наблюдение. Сибирский онкологический журнал. 2025;24(5):198-205. https://doi.org/10.21294/1814-4861-2025-24-5-198-205
For citation:
Vasiliev N.V., Vtorushin S.V., Khakimov Kh.I., Anisenya I.I., Loos D.M., Bokova U.A. Recklinghausen–Engel syndrome and tumor-like skeletal lesions in hyperparathyroidism: literature review and clinical case. Siberian journal of oncology. 2025;24(5):198-205. (In Russ.) https://doi.org/10.21294/1814-4861-2025-24-5-198-205








































