Preview

Сибирский онкологический журнал

Расширенный поиск

Интратекальная химиотерапия в комплексном лечении детей с рабдомиосаркомой параменингеальной локализации с интракраниальным распространением и/или лептоменингеальным метастазированием

https://doi.org/10.21294/1814-4861-2026-25-1-28-45

Аннотация

Введение. Рабдомиосаркома параменингеальной локализации с интракраниальным распространением характеризуется агрессивным течением и высоким риском лептоменингеального метастазирования (ЛМ). Исторически поражение центральной нервной системы (ЦНС) считалось инкурабельным состоянием с выживаемостью, не превышающей 10–20 %. Основным препятствием для проникновения большинства лекарственных препаратов и создания эффективной концентрации является гематоэнцефалический барьер (ГЭБ). В связи с этим поиск эффективных и нетоксичных методов контроля над лептоменингеальными метастазами является одной из наиболее актуальных задач детской онкологии. Интратекальная химиотерапия (ИТХТ), заключающаяся в прямом введении цитостатиков в спинномозговую жидкость, позволяет обойти ГЭБ и создать высокие терапевтические концентрации препаратов непосредственно в очаге поражения при минимальной системной токсичности.
Цель исследования – оценить эффективность и безопасность интратекальной химиотерапии в комплексном лечении детей с рабдомиосаркомой параменингеальной локализации с интракраниальным распространением и/или лептоменингеальным метастазированием и улучшить показатели выживаемости данной когорты детей.
Материал и методы. В исследование был включен 21 пациент с гистологически верифицированным диагнозом рабдомиосаркомы параменингеальной локализации с интракраниальным распространением и/или лептоменингеальным метастазированием, получавший лечение в НИИ детской онкологии и гематологии им. акад. Л.А. Дурнова в период с 2021 по 2024 г.
Результаты. При медиане наблюдения 34,3 мес общая 2-летняя выживаемость составила 65 %. Данный показатель определялся высокой эффективностью раннего контроля над опухолевыми клетками за гематоэнцефалическим барьером: общая 2-летняя выживаемость достигла более 80 % как в группе профилактической, так и в группе терапевтической интратекальной химиотерапии первой линии. Это достоверно выше по сравнению с группой рецидива, где общая 2-летняя выживаемость составила 20 % (p<0,05), и существенно превосходит данные, представленные в зарубежной литературе о медиане выживаемости – 4–6 мес при лептоменингеальном метастазировании [1]. Профиль токсичности ИТХТ был благоприятным, без случаев тяжелой нейротоксичности.
Заключение. Интенсивная интратекальная химиотерапия в комплексном лечении детей с рабдомиосаркомой параменингеальной локализации с интракраниальным распространением и/или лептоменингеальным метастазированием является эффективным и безопасным методом контроля над опухолевыми клетками за гематоэнцефалическим барьером, позволяющим значительно улучшить выживаемость в этой прогностически крайне неблагоприятной группе пациентов.

Об авторах

А. Д. Родина
Национальный медицинский исследовательский центр онкологии им. Н.Н. Блохина Минздрава России
Россия

Родина Анастасия Дмитриевна, научный сотрудник, детский онколог онкологического отделения № 3 (химиотерапии опухолей головы и шеи) НИИ детской онкологии и гематологии им. акад. Л.А. Дурнова 

115478, г. Москва, Каширское шоссе, 24



В. Г. Поляков
Национальный медицинский исследовательский центр онкологии им. Н.Н. Блохина Минздрава России; Российская медицинская академия непрерывного профессионального образования Минздрава России; Российский национальный исследовательский медицинский университет им. Н.И. Пирогова; НМИЦ онкологии им. Н.Н. Блохина Минздрава России
Россия

Поляков Владимир Георгиевич, доктор медицинских наук, профессор, академик РАН, советник директора НИИ детской онкологии и гематологии им. акад. Л.А. Дурнова; заведующий кафедрой детской онкологии им. акад. Л.А. Дурнова; профессор кафедры ЛОР-болезней педиатрического факультета; профессор кафедры последипломного образования врачей Департамента профессионального образования 

115478, г. Москва, Каширское шоссе, 24;
125993, г. Москва, ул. Баррикадная, 2/1, стр. 1;
117997, г. Москва, ул. Островитянова, 1;
115478, г. Москва, Каширское шоссе, 24;



А. С. Крылов
Национальный медицинский исследовательский центр онкологии им. Н.Н. Блохина Минздрава России
Россия

Крылов Александр Сергеевич, кандидат медицинских наук, заведующий отделением радионуклидной диагностики № 1 отдела радионуклидной диагностики и терапии НИИ КиЭР 

115478, г. Москва, Каширское шоссе, 24



А. Л. Кашанина
Национальный медицинский исследовательский центр онкологии им. Н.Н. Блохина Минздрава России
Россия

Кашанина Александра Леонидовна, рентгенолог рентгенодиагностического отделения, НИИ детской онкологии и гематологии им. акад. Л.А. Дурнова 

115478, г. Москва, Каширское шоссе, 24



Т. В. Горбунова
Национальный медицинский исследовательский центр онкологии им. Н.Н. Блохина Минздрава России; Российский национальный исследовательский медицинский университет им. Н.И. Пирогова; НМИЦ онкологии им. Н.Н. Блохина Минздрава России
Россия

Горбунова Татьяна Викторовна, кандидат медицинских наук, главный врач НИИ ДОиГ; старший научный сотрудник онкологического отделения № 3 (химиотерапии опухолей головы и шеи), НИИ детской онкологии и гематологии им. акад. Л.А. Дурнова; ассистент кафедры ЛОР-болезней педиатрического факультета ФДПО; сотрудник кафедры последипломного образования врачей Департамента профессионального образования 

115478, г. Москва, Каширское шоссе, 24;
117997, г. Москва, ул. Островитянова, 1;
115478, г. Москва, Каширское шоссе, 24;



С. Р. Варфоломеева
Национальный медицинский исследовательский центр онкологии им. Н.Н. Блохина Минздрава России; Российская медицинская академия непрерывного профессионального образования Минздрава России; НМИЦ онкологии им. Н.Н. Блохина Минздрава России
Россия

Варфоломеева Светлана Рафаэлевна, доктор медицинских наук, профессор, директор НИИ детской онкологии и гематологии им. акад. Л.А. Дурнова; профессор кафедры детской онкологии им. акад. Л.А. Дурнова; профессор кафедры последипломного образования врачей Департамента профессионального образования 

115478, г. Москва, Каширское шоссе, 24;
125993, г. Москва, ул. Баррикадная, 2/1, стр. 1;
115478, г. Москва, Каширское шоссе, 24;



Список литературы

1. Pentheroudakis G., Pavlidis N. Management of leptomeningeal malignancy. Expert Opin Pharmacother. 2005; 6(7): 1115–25. doi: 10.1517/14656566.6.7.1115.

2. Thakkar J.P., Kumthekar P., Dixit K.S., Stupp R., Lukas R.V. Leptomeningeal metastasis from solid tumors. J Neurol Sci. 2020; 411: 116706. doi: 10.1016/j.jns.2020.116706.

3. Родина А.Д., Поляков В.Г., Горбунова Т.В., Крылов А.С., Кашанина А.Л., Меркулов О.А., Варфоломеева С.Р. Риск лептоменингеального метастазирования у детей с рабдомиосаркомой параменингеальной локализации с интракраниальным распространением. Российский журнал детской гематологии и онкологии. 2022; 9(4): 27–36. doi: 10.21682/2311-1267-2022-9-4-27-36. EDN: BVAVXX.

4. Postovsky S., Ash S., Ramu I.N., Yaniv I., Zaizov R., Futerman B., Elhasid R., Ben Barak A., Hali A., Ben Arush M.W. Central nervous system involvement in children with sarcoma. Oncology. 2003; 65(2): 118–24. doi: 10.1159/000072336.

5. Wang N., Bertalan M.S., Brastianos P.K. Leptomeningeal metastasis from systemic cancer: Review and update on management. Cancer. 2018; 124(1): 21–35. doi: 10.1002/cncr.30911.

6. Pruitt A.A. CNS infections in patients with cancer. Continuum (Minneap Minn). 2012; 18(2): 384–405. doi: 10.1212/01. CON.0000413665.80915.c4.

7. Raney R.B., Meza J., Anderson J.R., Fryer C.J., Donaldson S.S., Breneman J.C., Fitzgerald T.J., Gehan E.A., Michalski J.M., Ortega J.A., Qualman S.J., Sandler E., Wharam M.D., Wiener E.S., Maurer H.M., Crist W.M. Treatment of children and adolescents with localized parameningeal sarcoma: experience of the Intergroup Rhabdomyosarcoma Study Group protocols IRS-II through-IV, 1978–1997. Med Pediatr Oncol. 2002; 38(1): 22–32. doi: 10.1002/mpo.1259.

8. Raney R.B.Jr., Tefft M., Newton W.A., Ragab A.H., Lawrence W.Jr., Gehan E.A., Maurer H.M. Improved prognosis with intensive treatment of children with cranial soft tissue sarcomas arising in nonorbital parameningeal sites. A report from the Intergroup Rhabdomyosarcoma Study. Cancer. 1987; 59(1): 147–55. doi: 10.1002/1097-0142(19870101)59:1<147::aidcncr2820590129>3.0.co;2-8.

9. Pellerino A., Bertero L., Rudà R., Soffetti R. Neoplastic meningitis in solid tumors: from diagnosis to personalized treatments. Ther Adv Neurol Disord. 2018; 11: 1756286418759618. doi: 10.1177/1756286418759618.

10. Wang X., Yao C., Quan L., Zhou J. A review on intrathecal administration of medications for leptomeningeal metastases in solid tumors. Front Pharmacol. 2025; 16: 1472945. doi: 10.3389/fphar.2025.1472945.

11. Pan Z., Yang G., He H., Zhao G., Yuan T., Li Y., Shi W., Gao P., Dong L., Li Y. Concurrent radiotherapy and intrathecal methotrexate for treating leptomeningeal metastasis from solid tumors with adverse prognostic factors: a prospective and single-arm study. Int J Cancer. 2016; 139(8): 1864–72. doi: 10.1002/ijc.30214.

12. Fulton D.S., Levin V.A., Gutin P.H., Edwards M.S., Seager M.L., Stewart J., Wilson C.B. Intrathecal cytosine arabinoside for the treatment of meningeal metastases from malignant brain tumors and systemic tumors. Cancer Chemother Pharmacol. 1982; 8(3): 285–91. doi: 10.1007/BF00254052.

13. Cho K.M., Kim Y.J., Kim S.H., Kim J.W., Lee J.O., Han J.H., Lee K.W., Kim J.H., Kim C.Y., Bang S.M., Kim I.A., Kim J.S., Lee J.S. Salvage treatment with intracerebrospinal fuid thiotepa in patients with leptomeningeal metastasis after failure of methotrexate-based treatment. Anticancer Res. 2015; 35(10): 5631–38.

14. Le Rhun E., Wallet J., Mailliez A., Le Deley M.C., Rodrigues I., Boulanger T., Lorgis V., Barrière J., Robin Y.M., Weller M., Bonneterre J. Intrathecal liposomal cytarabine plus systemic therapy versus systemic chemotherapy alone for newly diagnosed leptomeningeal metastasis from breast cancer. Neuro Oncol. 2020; 22(4): 524–38. doi: 10.1093/neuonc/noz201.

15. Blaney S.M., Heideman R., Berg S., Adamson P., Gillespie A., Geyer J.R., Packer R., Matthay K., Jaeckle K., Cole D., Kuttesch N., Poplack D.G., Balis F.M. Phase I clinical trial of intrathecal topotecan in patients with neoplastic meningitis. J Clin Oncol. 2003; 21(1): 143–47. doi: 10.1200/JCO.2003.04.053.

16. Pajtler K.W., Tippelt S., Siegler N., Reichling S., Zimmermann M., Mikasch R., Bode U., Gnekow A., Pietsch T., Benesch M., Rutkowski S., Fleischhack G. Intraventricular etoposide safety and toxicity profle in children and young adults with refractory or recurrent malignant brain tumors. J Neurooncol. 2016; 128(3): 463–71. doi: 10.1007/s11060-016-2133-x.

17. Kwon B.S., Cho Y.H., Yoon S.K., Lee D.H., Kim S.W., Kwon D.H., Lee J.C., Choi C.M. Impact of clinicopathologic features on leptomeningeal metastasis from lung adenocarcinoma and treatment efcacy with epidermal growth factor receptor tyrosine kinase inhibitor. Thorac Cancer. 2020; 11(2): 436–42. doi: 10.1111/1759-7714.13296.

18. Kumthekar P.U., Avram M.J., Lassman A.B., Lin N.U., Lee E., Grimm S.A., Schwartz M., Sonabend A.M., Stupp R., Chen F., D’Andrea K., Jin L., Zhang H., Zhang J., Dittmar M., Getch T., McCarthy K., Gradishar W., Khan S.A., Mulcahy M., Borson S., Savone M., Cristofanilli M. A phase I/II study of intrathecal trastuzumab in human epidermal growth factor receptor 2-positive (HER2-positive) cancer with leptomeningeal metastases: safety, efcacy, and cerebrospinal fuid pharmacokinetics. Neuro Oncol. 2023; 25(3): 557–65. doi: 10.1093/neuonc/noac195.

19. Glitza Oliva I.C., Ferguson S.D., Bassett R. Jr., Foster A.P., John I., Hennegan T.D., Rohlfs M., Richard J., Iqbal M., Dett T., Lacey C., Jackson N., Rodgers T., Phillips S., Duncan S., Haydu L., Lin R., Amaria R.N., Wong M.K., Diab A., Yee C., Patel S.P., McQuade J.L., Fischer G.M., McCutcheon I.E., O’Brien B.J., Tummala S., Debnam M., Guha-Thakurta N., Wargo J.A., Carapeto F.C.L., Hudgens C.W., Huse J.T., Tetzlaff M.T., Burton E.M., Tawbi H.A., Davies M.A. Concurrent intrathecal and intravenous nivolumab in leptomeningeal disease: phase 1 trial interim results. Nat Med. 2023; 29(4): 898–905. doi: 10.1038/s41591-022-02170-x.

20. Holdaway M., Ablyazova F., Huda S., D’Amico R.S., Wong T., Shani D., Ben-Shalom N., Boockvar J.A. First in-human intrathecal delivery of bevacizumab for leptomeningeal spread from recurrent glioblastoma: rationale for a dose escalation trial. J Neurooncol. 2023; 164(1): 231–37. doi: 10.1007/s11060-023-04412-5.

21. Ju Y., Wang J., Sun S., Jiao S. Nimotuzumab treatment and outcome analysis in patients with leptomeningeal metastasis from nonsmall cell lung cancer. J Cancer Res Ther. 2016; 12(s): 181–85. doi: 10.4103/0973-1482.200596.

22. Carausu M., Carton M., Darlix A., Pasquier D., Leheurteur M., Debled M., Mouret-Reynier M.A., Goncalves A., Dalenc F., Verret B., Campone M., Augereau P., Ferrero J.M., Levy C., Fumet J.D., LefeuvrePlesse C., Petit T., Uwer L., Jouannaud C., Larrouquere L., Chevrot M., Courtinard C., Cabel L. Breast cancer patients treated with intrathecal therapy for leptomeningeal metastases in a large real-life database. ESMO Open. 2021; 6(3): 100150. doi: 10.1016/j.esmoop.2021.100150.

23. Казакова Л.Л., Жуков Н.В. Диссеминированное поражение мозговых оболочек при рабдомиосаркоме параменингеальной локализации. Вопросы гематологии/онкологии и иммунопатологии в педиатрии. 2019; 18(4): 90–98. doi: 10.24287/1726-1708-2019-18-4-90-98. EDN: ARAVCS.

24. Родина А.Д., Горбунова Т.В., Меркулов О.А., Иванова Н.В., Поляков В.Г. Клинические наблюдения изменений микробиома полости носа у детей со злокачественными опухолями параменингеальной локализации во время химиолучевой терапии. Педиатрия. Журнал им. Г.Н. Сперанского. 2021; 100(1): 144–53. doi: 10.24110/0031-403X-2021-100-1-144-153. EDN: CWAAZK.


Дополнительные файлы

1. Рис. 1. Собственные результаты томосцинтиграмм головного мозга с 99mTc-пертехнетатом пациентки П. с диагнозом: Альвеолярная рабдомиосаркома параменингеальной локализации с интракраниальным распространением, лептоменингеальные метастазы в головном мозге, стадия IV (T2вN0M1. IRS IVa). На томограммах в аксиальной (а) и фронтальной (б) проекциях до начала лечения определяется очагово-повышенное распределение РФЛП в проекции первичной опухоли параменингеально слева (общий носовой ход, верхнечелюстная пазуха, левая орбита и средняя черепная ямка) – красные стрелки. Признаки поражения «по контакту» оболочек головного мозга в области средней черепной ямки слева. При контрольном исследовании после 9 курсов химиотерапии, 6 курсов интратекальной химиотерапии, лучевой терапии в объеме краниоспинального облучения (СОД 36 Гр), на область первичного распространения опухоли (СОД 50,4 Гр) по протоколу CWS 2014 (группа метастатических сарком): на томограммах в аксиальной (в) и фронтальной (г) проекциях определяется незначительно повышенное распределение РФЛП в проекции первичной опухоли параменингеально слева. По сравнению с инициальным исследованием отмечается выраженная положительная динамика. Примечание: рисунок выполнен авторами
Тема
Тип Прочее
Посмотреть (243KB)    
Метаданные ▾
2. Рис. 2. Частота вовлечения различных анатомических областей в опухолевый процесс на момент постановки диагноза. Примечание: рисунок выполнен авторами
Тема
Тип Прочее
Посмотреть (161KB)    
Метаданные ▾
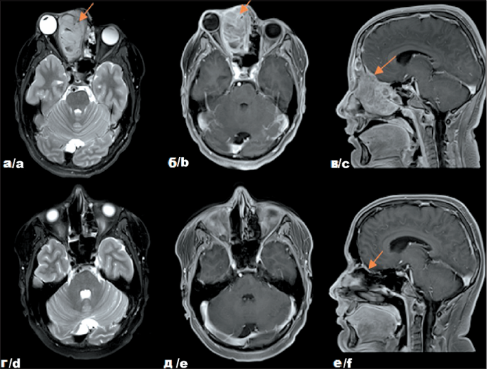
3. Рис. 3. Собственные результаты исследований пациента Р. с диагнозом: Альвеолярная рабдомиосаркома параменингеальной локализации с интракраниальным распространением, метастатическое поражение лимфатических узлов шеи справа, стадия III (T2bN1M0. IRS IIIа), до начала лечения – на томограммах в аксиальной (а) (б) и сагиттальной (в) проекциях и после комбинированного лечения – на томограммах в аксиальной (г) (д) и сагиттальной (е) проекциях. Примечание: рисунок выполнен авторами
Тема
Тип Прочее
Посмотреть (449KB)    
Метаданные ▾
4. Рис. 4. Собственные результаты исследований пациентки П. с диагнозом: Эмбриональная рабдомиосаркома параменингеальной локализации с интракраниальным распространением, метастатическое поражение лимфатических узлов, лептоменингеальные метастазы в спинном мозге, стадия IV (T2вN1M1. IRS IVa) до лечения – на томограммах во фронтальной (а), аксиальной (б) и сагиттальной (в) проекциях и после комбинированного лечения – на томограммах во фронтальной (г), аксиальной (д) и сагиттальной (е) проекциях. Примечание: рисунок выполнен авторами
Тема
Тип Прочее
Посмотреть (426KB)    
Метаданные ▾
5. Рис. 5. Собственные результаты исследований пациентки Т. с диагнозом: Эмбриональная рабдомиосаркома параменингеальной локализации с интракраниальным распространением, стадия Т2bN0M0 IRSIII. Рецидив I, до начала противорецидивного лечения – на томограммах в аксиальной (а), фронтальной (б) проекциях и после комбинированного лечения – на томограммах во фронтальной (г) и сагиттальной (д) проекциях, цитологическая картина (в) (е) спинномозговой жидкости. Примечание: рисунок выполнен авторами
Тема
Тип Прочее
Посмотреть (427KB)    
Метаданные ▾
6. Рис. 6. Показатели общей 2-летней выживаемости пациентов с рабдомиосаркомой параменингеальной локализации с интракраниальным распространением и/или лептоменингеальным метастазированием в зависимости от статуса ЦНС. Примечание: рисунок выполнен авторами
Тема
Тип Прочее
Посмотреть (255KB)    
Метаданные ▾
7. Рис. 7. Показатели общей 2-летней выживаемости пациентов с рабдомиосаркомой параменингеальной локализации с интракраниальным распространением и/или лептоменингеальным метастазированием. Примечание: рисунок выполнен авторами
Тема
Тип Прочее
Посмотреть (209KB)    
Метаданные ▾

Рецензия

Для цитирования:


Родина А.Д., Поляков В.Г., Крылов А.С., Кашанина А.Л., Горбунова Т.В., Варфоломеева С.Р. Интратекальная химиотерапия в комплексном лечении детей с рабдомиосаркомой параменингеальной локализации с интракраниальным распространением и/или лептоменингеальным метастазированием. Сибирский онкологический журнал. 2026;25(1):28-45. https://doi.org/10.21294/1814-4861-2026-25-1-28-45

For citation:


Rodina A.D., Polyakov V.G., Krylov A.S., Kashanina A.L., Gorbunova T.V., Varfolomeeva S.R. Intrathecal chemotherapy in the complex treatment of children with parameningeal rhabdomyosarcoma with intracranial spread and/or leptomeningeal metastasis. Siberian journal of oncology. 2026;25(1):28-45. (In Russ.) https://doi.org/10.21294/1814-4861-2026-25-1-28-45

Просмотров: 269

JATS XML


Creative Commons License
Контент доступен под лицензией Creative Commons Attribution 4.0 License.


ISSN 1814-4861 (Print)
ISSN 2312-3168 (Online)