Preview

Сибирский онкологический журнал

Расширенный поиск

Эффективность применения комбинированной химиоиммунотерапии в 1-й линии диссеминированного немелкоклеточного рака легкого. Клинический случай

https://doi.org/10.21294/1814-4861-2026-25-1-186-191

Аннотация

Актуальность. Согласно национальным и международным данным, рак легкого входит в число наиболее распространенных злокачественных новообразований. Значительная часть первично диагностированных случаев заболевания сопровождается наличием отдаленных метастазов.
Цель исследования – демонстрация успешного клинического случая с длительной общей и безрецидивной выживаемостью у пациента с метастатическим немелкоклеточным раком легкого (НМРЛ) при лечении комбинацией атезолизумаба с бевацизумабом и химиотерапией.
Описание клинического случая. У пациента, 72 лет, с диагнозом: Периферический немелкоклеточный (аденокарцинома) рак верхней доли правого легкого T1bN0M1b (oth), IV ст. на фоне лечения комбинацией атезолизумаба с бевацизумабом и химиотерапией получена длительная стабилизация заболевания. Общая выживаемость и выживаемость без прогрессирования составили 38 мес при достаточно благоприятном профиле безопасности.
Заключение. Даже при наличии широкого спектра современных терапевтических опций лечение метастатического НМРЛ сопряжено с определенными трудностями. Представленный клинический случай подтверждает целесообразность использования схемы, включающей атезолизумаб, бевацизумаб и химиотерапию при метастатическом НМРЛ с отрицательным статусом EGFR/ALK и отсутствием экспрессии лиганда запрограммированной клеточной гибели PD-L1.

Об авторах

Г. К. Исаева
ФГБОУ ВО «Южно-Уральский государственный медицинский университет» Минздрава России
Россия

Исаева Галия Куандыковна, ассистент кафедры онкологии, лучевой диагностики и лучевой терапии 

454141, г. Челябинск, ул. Воровского, 64



М. М. Сарычева
ФГБОУ ВО «Южно-Уральский государственный медицинский университет» Минздрава России
Россия

Сарычева Марина Михайловна, доктор медицинских наук, доцент кафедры онкологии, лучевой диагностики и лучевой терапии 

454141, г. Челябинск, ул. Воровского, 64



А. В. Важенин
ФГБОУ ВО «Южно-Уральский государственный медицинский университет» Минздрава России
Россия

Важенин Андрей Владимирович, доктор медицинских наук, профессор, академик РАН, заведующий кафедрой онкологии, лучевой диагностики и лучевой терапии 

454141, г. Челябинск, ул. Воровского, 64



А. В. Дубинина
ФГБОУ ВО «Южно-Уральский государственный медицинский университет» Минздрава России
Россия

Дубинина Анна Владимировна, ординатор кафедры онкологии, лучевой диагностики и лучевой терапии 

454141, г. Челябинск, ул. Воровского, 64



К. М. Шевелева
ФГБОУ ВО «Южно-Уральский государственный медицинский университет» Минздрава России
Россия

Шевелева Кристина Максимовна, ординатор кафедры онкологии, лучевой диагностики и лучевой терапии 

454141, г. Челябинск, ул. Воровского, 64



И. В. Макрута
ФГБОУ ВО «Южно-Уральский государственный медицинский университет» Минздрава России
Россия

Макрута Ирина Владимировна, ординатор кафедры онкологии, лучевой диагностики и лучевой терапии 

454141, г. Челябинск, ул. Воровского, 64



Список литературы

1. Cancer TODAY. IARC Publications, International Agency for Research on Cancer. Data version: Globocan 2022 (version 1.1). [Internet]. [cited 06.11.2025]. URL: https://gco.iarc.who.int/today.

2. Состояние онкологической помощи населению России в 2023 году. Под ред. А.Д. Каприна, В.В. Старинского, А.О. Шахзадовой. М., 2024. 262 с. ISBN: 978-5-85502-297-1.

3. Злокачественное новообразование бронхов и легкого: клинические рекомендации Министерства здравоохранения РФ. 2025. URL: https://cr.minzdrav.gov.ru/view-cr/30_5.

4. Mok T.S.K., Wu Y.L., Kudaba I., Kowalski D.M., Cho B.C., Turna H.Z., Castro G.Jr., Srimuninnimit V., Laktionov K.K., Bondarenko I., Kubota K., Lubiniecki G.M., Zhang J., Kush D., Lopes G.; KEYNOTE-042 Investigators. Pembrolizumab versus chemotherapy for previously untreated, PD-L1-expressing, locally advanced or metastatic non-small-cell lung cancer (KEYNOTE-042): a randomised, open-label, controlled, phase 3 trial. Lancet. 2019; 393(10183): 1819–30. doi: 10.1016/S0140-6736-(18)32409-7.

5. Socinski M.A., Nishio M., Jotte R.M., Cappuzzo F., Orlandi F., Stroyakovskiy D., Nogami N., Rodríguez-Abreu D., Moro-Sibilot D., Thomas C.A., Barlesi F., Finley G., Kong S., Lee A., Coleman S., Zou W., McCleland M., Shankar G., Reck M. IMpower150 Final Overall Survival Analyses for Atezolizumab Plus Bevacizumab and Chemotherapy in FirstLine Metastatic Nonsquamous NSCLC. J Thorac Oncol. 2021; 16(11): 1909–24. doi: 10.1016/j.jtho.2021.07.009.

6. West H.J., McCleland M., Cappuzzo F., Reck M., Mok T.S., Jotte R.M., Nishio M., Kim E., Morris S., Zou W., Shames D., Das Thakur M., Shankar G., Socinski M.A. Clinical efcacy of atezolizumab plus bevacizumab and chemotherapy in KRAS-mutated non-small cell lung cancer with STK11, KEAP1, or TP53 comutations: subgroup results from the phase III IMpower150 trial. J Immunother Cancer. 2022; 10(2): e003027. doi: 10.1136/jitc-2021-003027.

7. Lu T., Hamidi H., Socinski M.A., Reck M., Cappuzzo F., Barlesi F., Jotte R.M., Müller S., Qamra A., Amitai A., Guan X., Fuentes E., Koeppen H., Giltnane J.M., Shames D.S., Ballinger M., He M.X., Wang Y., Srivastava M.K., Nabet B.Y. Non-small cell lung cancer molecular subtypes and vulnerability to immunotherapy treatment combinations. Nat Commun. 2025; 17(1): 122. doi: 10.1038/s41467-025-66803-8.

8. Brahmer J.R., Lee J.S., Ciuleanu T.E., Bernabe Caro R., Nishio M., Urban L., Audigier-Valette C., Lupinacci L., Sangha R., Pluzanski A., Burgers J., Mahave M., Ahmed S., Schoenfeld A.J., Paz-Ares L.G., Reck M., Borghaei H., O’Byrne K.J., Gupta R.G., Bushong J., Li L., Blum S.I., Eccles L.J., Ramalingam S.S. Five-Year Survival Outcomes With Nivolumab Plus Ipilimumab Versus Chemotherapy as First-Line Treatment for Metastatic Non-Small-Cell Lung Cancer in CheckMate 227. J Clin Oncol. 2023; 41(6): 1200–12. doi: 10.1200/JCO.22.01503.

9. Zhao H., Huang S., Wu J., Lu Y., Zou Y., Zeng H., Li C., Wang J., Zhang X., Duan S., Liang W. Efcacy and safety of frst-line PD-1/PDL1 inhibitor in combination with CTLA-4 inhibitor in the treatment of patients with advanced non-small cell lung cancer: a systemic review and meta-analysis. Front Immunol. 2025; 16: 1515027. doi: 10.3389/fmmu.2025.1515027.

10. Carbone D.P., Ciuleanu T.E., Cobo M., Schenker M., Zurawski B., Menezes J., Richardet E., Felip E., Cheng Y., Juan-Vidal O., Alexandru A., Mizutani H., Reinmuth N., Lu S., Reck M., John T., Scherpereel A., De Marchi P., Aoyama T., Sathyanarayana P., Grootendorst D.J., Hu N., Ip V., Hung Y.H., Paz-Ares L.G. Nivolumab plus ipilimumab with chemotherapy as frst-line treatment of patients with metastatic non-small-cell lung cancer: fnal, 6-year outcomes from CheckMate 9LA. ESMO Open. 2025; 10(6): 105123. doi: 10.1016/j.esmoop.2025.105123.


Дополнительные файлы

1. Рис. 1. МСКТ органов грудной полости (18.10.22): образо вание S1 левого легкого после 4 циклов терапии по схеме: атезолизумаб + бевацизумаб + карбоплатин + паклитаксел. В S1 легкого – образование с лучистыми тяжистыми контурами, размерами 10×11×8 мм (ранее 7×12×9 мм). Примечание: рисунок выполнен авторами
Тема
Тип Прочее
Посмотреть (217KB)    
Метаданные ▾
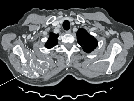
2. Рис. 2. МСКТ органов грудной полости (18.10.22): образование правой лопатки после 4 циклов комбинированной терапии по схеме: атезолизумаб + бевацизумаб + карбоплатин + + паклитаксел. В ости и верхней трети правой лопатки визуализируется объемное мягкотканое образование, размерами 80×57×73 мм (ранее 68×104×68 мм). Примечание: рисунок выполнен авторами
Тема
Тип Прочее
Посмотреть (191KB)    
Метаданные ▾
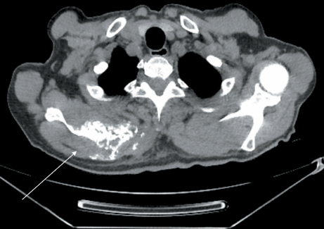
3. Рис. 3. МСКТ органов грудной полости (22.09.25): образование правой лопатки после 54 циклов поддерживающей терапии по схеме атезолизумаб + бевацизумаб. В ости и верхней трети тела правой лопатки сохраняется неоднородной структуры объемное образование с признаками «вздутия», с деструкцией костной ткани, с мягкотканым компонентом, распространяющееся в мягкие ткани, неравномерно накапли вающее контраст, размерами 69×53 мм, с наличием остео бластического компонента. Примечание: рисунок выполнен авторами
Тема
Тип Прочее
Посмотреть (163KB)    
Метаданные ▾

Рецензия

Для цитирования:


Исаева Г.К., Сарычева М.М., Важенин А.В., Дубинина А.В., Шевелева К.М., Макрута И.В. Эффективность применения комбинированной химиоиммунотерапии в 1-й линии диссеминированного немелкоклеточного рака легкого. Клинический случай. Сибирский онкологический журнал. 2026;25(1):186-191. https://doi.org/10.21294/1814-4861-2026-25-1-186-191

For citation:


Isaeva G.K., Sarycheva M.M., Vazhenin A.V., Dubinina A.V., Sheveleva K.M., Makruta I.V. Effcacy of combination of immunotherapy and chemotherapy as frst-line treatment for disseminated non-small cell lung cancer: a case report. Siberian journal of oncology. 2026;25(1):186-191. (In Russ.) https://doi.org/10.21294/1814-4861-2026-25-1-186-191

Просмотров: 170

JATS XML


Creative Commons License
Контент доступен под лицензией Creative Commons Attribution 4.0 License.


ISSN 1814-4861 (Print)
ISSN 2312-3168 (Online)