Preview

Сибирский онкологический журнал

Расширенный поиск

Эффективность и безопасность ND:YAG-лазерной энергии в лечении пациента с немышечно-инвазивным раком мочевого пузыря труднодоступной локализации. Клиническое наблюдение

https://doi.org/10.21294/1814-4861-2026-25-1-192-198

Аннотация

Введение. Рак мочевого пузыря (РМП) – распространенная патология, занимает 10-е место среди всех диагностируемых онкологических образований и 1-е среди опухолей мочевыводящих путей. До 80 % случаев приходится на немышечно-инвазивный рак мочевого пузыря. Локализация опухоли мочевого пузыря (МП) по передней стенке в ряде случаев является труднодоступной для полноценной резекции стенки МП с подлежащим мышечным слоем. В качестве примера, иллюстрирующего лечение немышечно-инвазивного РМП труднодоступной локализации, представлен клинический случай пациента, находившегося на стационарном лечении в ЧУЗ ЦКБ «РЖД-Медицина» в 2022 г.
Клиническое наблюдение. В урологическом стационаре ЧУЗ ЦКБ «РЖД-Медицина» Nd:YAG-лазерная абляция немышечно-инвазивного рака мочевого пузыря труднодоступной локализации проведена пациенту, 67 лет, с образованием по передней стенке МП. При гистологическом исследовании биоптата образования мочевого пузыря верифицирован рак мочевого пузыря. Поверхностный характер роста опухоли подтвержден по результатам магнитно-резонансной томографии, проведенной до операции. Для лечения применяли Nd:YAG-лазер с длиной волны 1 064 нм, мощностью 40 Вт и плотностью энергии 100 Дж/см2 . Лазерное излучение подавалось через световод с боковым выходом (Side Fire). После операции в МП установлен двухходовый катетер на 12 ч. Интра- и послеоперационных осложнений не было. Эндоскопический мониторинг эффективности хирургического этапа лечения проводился на базе ЧУЗ ЦКБ «РЖД-Медицина» с кратностью 3, 6 и 12 мес с момента операции, при этом признаков рецидива не обнаружено.
Заключение. Анализ клинического случая позволяет сделать обоснованный вывод о достаточно высокой эффективности Nd:YAG-лазерной абляции у пациентов с немышечно-инвазивным раком мочевого пузыря с локализацией по передней стенке, что позволяет судить о безопасности использования лазерной энергии в лечении данной онкоурологической патологии.

Об авторах

О. В. Теодорович
ФГБОУ ДПО «Российская медицинская академия непрерывного профессионального образования» Минздрава России
Россия

Теодорович Олег Валентинович, доктор медицинских наук, профессор, заведующий кафедрой эндоскопической урологии 

125993, г. Москва, ул. Баррикадная, 2/1, стр. 1



Е. В. Гамеева
ФГБУ «Национальный медицинский исследовательский центр реабилитации и курортологии» Минздрава России
Россия

Гамеева Елена Владимировна, доктор медицинских наук, заместитель генерального директора по лечебной части 

121099, г. Москва, Новый Арбат, 32



С. И. Сулейманов
ГБУЗ «Городская клиническая больница им. В.П. Демихова Департамента здравоохранения Москвы»; ФГАОУ ВО «Российский университет дружбы народов имени Патриса Лумумбы»
Россия

Сулейманов Сулейман Исрафилович, доктор медицинских наук, профессор кафедры эндоскопической урологии и ультразвуковой диагностики; заведующий урологическим отделением 

115280, г. Москва, ул. Велозаводская, 1/1;
117198, г. Москва, ул. Миклухо-Маклая, 6



М. Н. Шатохин
ФГБОУ ДПО «Российская медицинская академия непрерывного профессионального образования» Минздрава России
Россия

Шатохин Максим Николаевич, доктор медицинских наук, профессор, профессор кафедры эндоскопической урологии 

125993, г. Москва, ул. Баррикадная, 2/1, стр. 1



Г. Г. Борисенко
ФГБОУ ДПО «Российская медицинская академия непрерывного профессионального образования» Минздрава России
Россия

Борисенко Геннадий Георгиевич, кандидат медицинских наук, доцент, доцент кафедры эндоскопической урологии 

125993, г. Москва, ул. Баррикадная, 2/1, стр. 1



А. С. Бабкин
ФГБОУ ДПО «Российская медицинская академия непрерывного профессионального образования» Минздрава России; ГБУЗ «Городская клиническая больница им. В.П. Демихова Департамента здравоохранения Москвы»
Россия

Бабкин Александр Сергеевич, старший лаборант кафедры эндоскопической урологии; уролог урологического отделения № 1 

125993, г. Москва, ул. Баррикадная, 2/1, стр. 1;
115280, г. Москва, ул. Велозаводская, 1/1



Список литературы

1. Leslie S.W., Soon-Sutton T.L., Aeddula N.R. Bladder Cancer. 2024. StatPearls [Internet]. Treasure Island (FL): StatPearls Publishing; 2026. [cited 01.02.2026]. URL: https://www.ncbi.nlm.nih.gov/books/NBK536923/.

2. Bray F., Laversanne M., Sung H., Ferlay J., Siegel R.L., Soerjomataram I., Jemal A. Global cancer statistics 2022: GLOBOCAN estimates of incidence and mortality worldwide for 36 cancers in 185 countries. CA Cancer J Clin. 2024; 74(3): 229–63. doi: 10.3322/caac.21834.

3. Saginala K., Barsouk A., Aluru J.S., Rawla P., Padala S.A., Barsouk A. Epidemiology of Bladder Cancer. Med Sci (Basel). 2020; 8(1): 15. doi: 10.3390/medsci8010015.

4. Al-Zalabani A.H., Stewart K.F., Wesselius A., Schols A.M., Zeegers M.P. Modifable risk factors for the prevention of bladder cancer: a systematic review of meta-analyses. Eur J Epidemiol. 2016; 31(9): 811–51. doi: 10.1007/s10654-016-0138-6.

5. Calderone C., Taylor J.M. Urothelial cancer of the bladder: treatment of early stage disease. Handbook of Prostate Cancer and Other Genitourinary Malignancies. Ed. T.G. Hayes, M.P. Mims, J.M. Taylor. New York. Demos Medical, 2017. P. 157–175. ISBN: 978-1-62070-109-6. e-book ISBN: 978-1-61705-286-6.

6. Gontero P., Birtle A., Capoun O., Compérat E., Dominguez-Escrig J.L., Liedberg F., Mariappan P., Masson-Lecomte A., Mostafd H.A., Pradere B., Rai B.P., van Rhijn B.W.G., Seisen T., Shariat S.F., Soria F., Soukup V., Wood R., Xylinas E.N. European Association of Urology Guidelines on Non-muscle-invasive Bladder Cancer (TaT1 and Carcinoma In Situ)-A Summary of the 2024 Guidelines Update. Eur Urol. 2024; 86(6): 531–49. doi: 10.1016/j.eururo.2024.07.027.

7. Shore N.D., Palou Redorta J., Robert G., Hutson T.E., Cesari R., Hariharan S., Rodríguez Faba Ó., Briganti A., Steinberg G.D. Non-muscleinvasive bladder cancer: An overview of potential new treatment options. Urol Oncol. 2021; 39(10): 642–63. doi: 10.1016/j.urolonc.2021.05.015.

8. Burger M., Catto J.W., Dalbagni G., Grossman H.B., Herr H., Karakiewicz P., Kassouf W., Kiemeney L.A., La Vecchia C., Shariat S., Lotan Y. Epidemiology and risk factors of urothelial bladder cancer. Eur Urol. 2013; 63(2): 234–41. doi: 10.1016/j.eururo.2012.07.033.

9. Matulewicz R.S., Steinberg G.D. Non-muscle-invasive Bladder Cancer: Overview and Contemporary Treatment Landscape of Neoadjuvant Chemoablative Therapies. Rev Urol. 2020; 22(2): 43–51.

10. Nicoletti R., Gauhar V., Castellani D., Enikeev D., Herrmann T.R.W., Teoh J.Y. Current Techniques for En Bloc Transurethral Resection of Bladder Tumor: A Hands-on Guide Through the Energy Landscape. Eur Urol Focus. 2023; 9(4): 567–70. doi: 10.1016/j.euf.2023.04.007.

11. Теодорович О.В., Шатохин М.Н., Абдуллаев М.И., Краснов А.В., Хоммятов М.Р. Интерстициальная лазерная коагуляция в лечении уротелиального папиллярного рака лоханки. Урология. 2018; (4): 122–26. doi: 10.18565/urology.2018.4.122-126. EDN: YLVSHR.

12. Теодорович О.В., Гамеева Е.В., Сулейманов С.И., Шатохин М.Н., Борисенко Г.Г., Бабкин А.С. Оценка клинической эффективности трансуретральной биполярной хирургии и лазерных технологий в лечении пациентов с немышечно-инвазивным раком мочевого. Урологические ведомости. 2024; 14(4): 373–80. doi: 10.17816/uroved632520. EDN: FQIGKP.


Дополнительные файлы

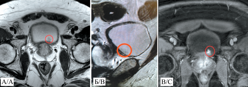
1. Рис. 1. МРТ органов малого таза с контрастированием: А – аксиальный срез, режим T1, опухоль выделена кружком; Б – сагиттальный срез, режим Т1, опухоль выделена кружком; В – аксиальный срез, режим Т2, опухоль выделена кружком. Примечание: рисунок выполнен авторами
Тема
Тип Прочее
Посмотреть (416KB)    
Метаданные ▾
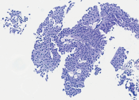
2. Рис. 2. Микрофото. Опухоль папиллярного строения с увеличением количества слоев, ядерной гиперхромией и клеточным полиморфизмом. Неинвазивная папиллярная уротелиальная карцинома Low Grade. Окраска гематоксилином и эозином, ×20. Примечание: рисунок выполнен авторами
Тема
Тип Прочее
Посмотреть (255KB)    
Метаданные ▾
3. Рис. 3. Этапы оперативного вмешательства: А – этап визуализации опухоли передней стенки мочевого пузыря; Б – этап Nd:YAG-лазерной абляции объемного образования передней стенки мочевого пузыря. Примечание: рисунок выполнен авторами
Тема
Тип Прочее
Посмотреть (433KB)    
Метаданные ▾

Рецензия

Для цитирования:


Теодорович О.В., Гамеева Е.В., Сулейманов С.И., Шатохин М.Н., Борисенко Г.Г., Бабкин А.С. Эффективность и безопасность ND:YAG-лазерной энергии в лечении пациента с немышечно-инвазивным раком мочевого пузыря труднодоступной локализации. Клиническое наблюдение. Сибирский онкологический журнал. 2026;25(1):192-198. https://doi.org/10.21294/1814-4861-2026-25-1-192-198

For citation:


Teodorovich O.V., Gameeva E.V., Suleymanov S.I., Shatokhin M.N., Borisenko G.G., Babkin A.S. Effcacy and safety of ND:YAG laser energy in the treatment of non-muscle-invasive bladder cancer of diffcult-to-access localization: A case report. Siberian journal of oncology. 2026;25(1):192-198. (In Russ.) https://doi.org/10.21294/1814-4861-2026-25-1-192-198

Просмотров: 180

JATS XML


Creative Commons License
Контент доступен под лицензией Creative Commons Attribution 4.0 License.


ISSN 1814-4861 (Print)
ISSN 2312-3168 (Online)