Клиническое наблюдение удаления забрюшинной параганглиомы с резекцией и протезированием бифуркации аорты
https://doi.org/10.21294/1814-4861-2025-24-4-155-161
Аннотация
Актуальность. Параганглиомы – редкие нейроэндокринные опухоли, которые в забрюшинном пространстве наиболее часто расположены паравертебрально и, как правило, через инфильтрат либо истинное прорастание связаны с магистральными сосудами. Радикальное хирургическое удаление параганглиом является основным методом лечения. Тесное прилежание опухоли к магистральным сосудам требует выполнения комбинированного объема операции – удаление опухоли и участка сосудистой магистрали в пределах здоровых тканей. Попытка отделить опухоль от сосуда в лучшем случае ведет к оставлению площадки опухоли на сосудистой стенке (операция R1) и, как правило, заканчивается повреждением сосуда и большой кровопотерей.
Описание клинического случая. Представлен случай хирургического лечения параганглиомы органа Цукеркандля у пациентки 52 лет. Установлено тесное прилежание опухоли к бифуркации аорты, что потребовало расширенно-комбинированного удаления опухоли с резекцией бифуркации аорты и восстановления магистрального кровотока бифуркационным аорто-общеподвздошным аллопротезированием (PtFe-кондуит). Послеоперационный период протекал гладко. После выписки из стационара пациентка в удовлетворительном состоянии находится под динамическим наблюдением.
Заключение. Представленное клиническое наблюдение демонстрирует возможность радикального хирургического лечения у пациентов с параганглиомами забрюшинного пространства, тесно прилежащими к магистральным сосудам.
Об авторах
Р. И. РасуловРоссия
Расулов Родион Исмагилович, доктор медицинских наук, профессор, заведующий кафедрой онкологии; заместитель главного врача по хирургии
664049, г. Иркутск, м/р Юбилейный, 100
664035, г. Иркутск, ул. Фрунзе, 32
А. А. Муратов
Россия
Муратов Андрей Анатольевич, кандидат медицинских наук, ассистент кафедры онкологии; онколог отделения абдоминальной онкологии № 1 (хирургическое)
664049, г. Иркутск, м/р Юбилейный, 100
664035, г. Иркутск, ул. Фрунзе, 32
А. Г. Кувшинов
Россия
Кувшинов Артем Геннадьевич, кандидат медицинских наук, заведующий отделением абдоминальной онкологии № 1 (хирургическое)
664035, г. Иркутск, ул. Фрунзе, 32
А. П. Пономаренко
Россия
Пономаренко Анна Петровна, анестезиолог-реаниматолог отделения анестезиологии и реанимации № 1
664035, г. Иркутск, ул. Фрунзе, 32
А. М. Булытов
Россия
Булытов Алексей Михайлович, рентгенолог отделения рентгенодиагностики
664035, г. Иркутск, ул. Фрунзе, 32
Д. О. Малых
Россия
Малых Дмитрий Олегович, анестезиолог-реаниматолог отделения анестезиологии и реанимации № 2
664035, г. Иркутск, ул. Фрунзе, 32
Список литературы
1. Mete O., Asa S.L., Gill A.J., Kimura N., de Krijger R.R., Tischler A. Overview of the 2022 WHO Classification of Paragangliomas and Pheochromocytomas. Endocr Pathol. 2022; 33(1): 90–114. doi: 10.1007/s12022-022-09704-6.
2. Eid M., Foukal J., Sochorová D., Tuček Š., Starý K., Kala Z., Mayer J., Němeček R., Trna J., Kunovský L. Management of pheochromocytomas and paragangliomas: Review of current diagnosis and treatment options. Cancer Med. 2023; 12(13): 13942–57. doi: 10.1002/cam4.6010.
3. Krishnamurthy S.S., Moorthy S., Muralidharan K., Raja A. Surgical Management of Paraganglioma of the Organ of Zuckerkandl with Combined Resection of the Aorta and Inferior Vena Cava with Bifurcation: A Case Report. Vasc Specialist Int. 2025; 41: 3. doi: 10.5758/vsi.240099.
4. Neumann H.P.H., Young W.F. Jr., Eng C. Pheochromocytoma and Paraganglioma. N Engl J Med. 2019; 381(6): 552–65. doi: 10.1056/NEJMra1806651.
5. Baron E., Wu C.C., Gupta K., Wernberg J.A., Sheehan M.T., Sharma R. Robotic Resection in Succinate Dehydrogenase Subunit B (SDHB)- Mutated Hereditary Paraganglioma: A Case Report of Two Patients and A Literature Review. Cureus. 2024; 16(3): e56336. doi: 10.7759/cureus.56336.
6. Bacalbasa N., Balescu I., Tanase A., Brezean I., Vilcu M., Brasoveanu V. Successful Resection of a Non-functional Paraganglioma with Celiac Trunk Invasion Followed by Common Hepatic Artery Reimplantation – A Case Report and Literature Review. In Vivo. 2018; 32(4): 911–14. doi: 10.21873/invivo.11328.
7. Tzikos G., Menni A., Cheva A., Pliakos I., Tsakona A., Apostolidis S., Iakovou I., Michalopoulos A., Papavramidis T. Composite Paraganglioma of the Celiac Trunk: A Case Report and a Comprehensive Review of the Literature. Front Surg. 2022; 9: 824076. doi: 10.3389/fsurg.2022.824076.
8. Hakariya T., Shida Y., Ito H., Ueda Y., Kurata H., Ohtsubo A., Miyata Y., Sakai H., Furusato B. Successful laparoscopic resection of a paraganglioma immediately behind the inferior vena cava and bilateral renal veins. IJU Case Rep. 2019; 2(5): 261–64. doi: 10.1002/iju5.12097.
9. Mannina E.M., Xiong Z., Self R., Kandil E. Resection of a catecholamine-elaborating retroperitoneal paraganglioma invading the inferior vena cava. Case Rep Surg. 2014: 837054. doi: 10.1155/2014/837054.
10. Srirangalingam U., Gunganah K., Carpenter R., Bhattacharya S., Edmondson S.J., Drake W.M. Phaeochromocytoma and Paraganglioma Excision Involving the Great Vessels. EJVES Short Rep. 2017; 35: 1–6. doi: 10.1016/j.ejvssr.2017.02.002.
11. Расулов Р.И., Муратов А.А., Кувшинов А.Г., Сонголов Г.И. Хирургическое лечение лейомиосарком нижней полой вены и ее притоков. Вестник хирургии им. И.И. Грекова. 2022; 181(4): 52–60. doi: 10.24884/0042-4625-2022-181-4-52-60. EDN: MGDHSE.
12. Le H.D.T., Nguyen T.T.M.H., Pham A.V., Dang C.T., Nguyen T.T. Pheochromocytoma of the organ of Zuckerkandl. Radiol Case Rep. 2020; 16(2): 268–72. doi: 10.1016/j.radcr.2020.11.024. Erratum in: Radiol Case Rep. 2023; 18(4): 1643–44. doi: 10.1016/j.radcr.2023.01.017.
13. Parisien-La Salle S., Chbat J., Lacroix A., Perrotte P., Karakiewicz P., Saliba I., Le X.K., Olney H.J., Bourdeau I. Postoperative Recurrences in Patients Operated for Pheochromocytomas and Paragangliomas: New Data Supporting Lifelong Surveillance. Cancers (Basel). 2022; 14(12): 2942. doi: 10.3390/cancers14122942.
Дополнительные файлы
|
|
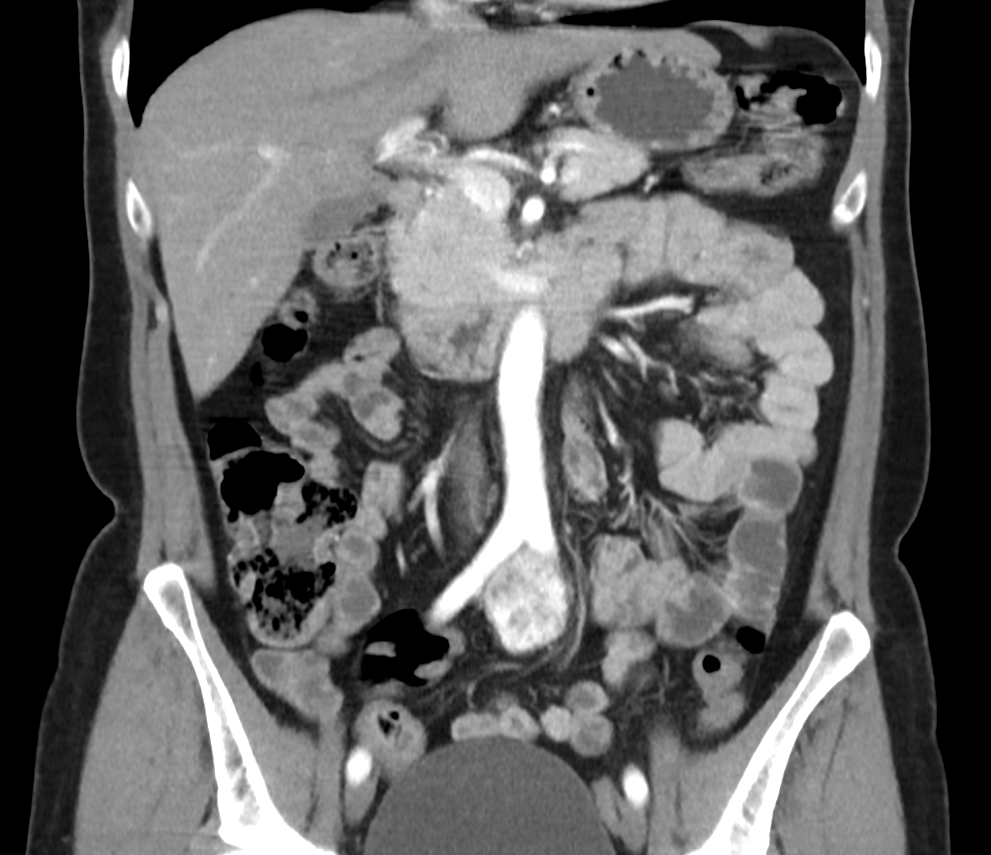
1. Рис. 1. КТ-ангиография органов брюшной полости и забрюшинного пространства до операции, артериальная фаза, фронтальная проекция. Примечание: рисунок выполнен авторами | |
| Тема | ||
| Тип | Исследовательские инструменты | |
Посмотреть
(526KB)
|
Метаданные ▾ | |
|
|
2. Рис. 2. Интраоперационное фото. Этап мобилизации опухоли. Абдоминальный отдел аорты и подвздошные сосуды взяты на силиконовые турникеты. Примечание: рисунок выполнен авторами | |
| Тема | ||
| Тип | Исследовательские инструменты | |
Посмотреть
(648KB)
|
Метаданные ▾ | |
|
|
3. Рис. 3. Интраоперационное фото. Вид операционной раны после удаления макропрепарата. Примечание: рисунок выполнен авторами | |
| Тема | ||
| Тип | Исследовательские инструменты | |
Посмотреть
(683KB)
|
Метаданные ▾ | |
|
|
4. Рис. 4. Интраоперационное фото. Вид операционной раны после сосудистой реконструкции. Примечание: рисунок выполнен авторами | |
| Тема | ||
| Тип | Исследовательские инструменты | |
Посмотреть
(425KB)
|
Метаданные ▾ | |
|
|
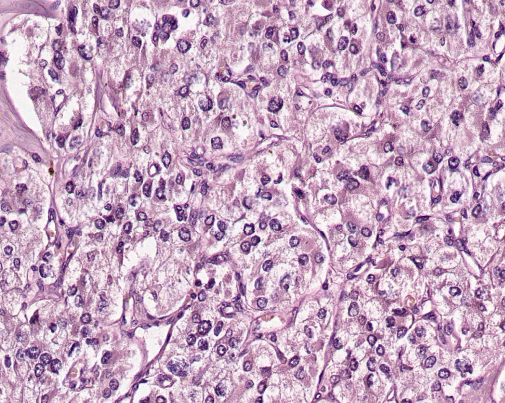
5. Рис. 5. Микрофото. Параганглиома. Окраска гематоксилином и эозином, ×400. Примечание: рисунок выполнен авторами | |
| Тема | ||
| Тип | Исследовательские инструменты | |
Посмотреть
(870KB)
|
Метаданные ▾ | |
|
|
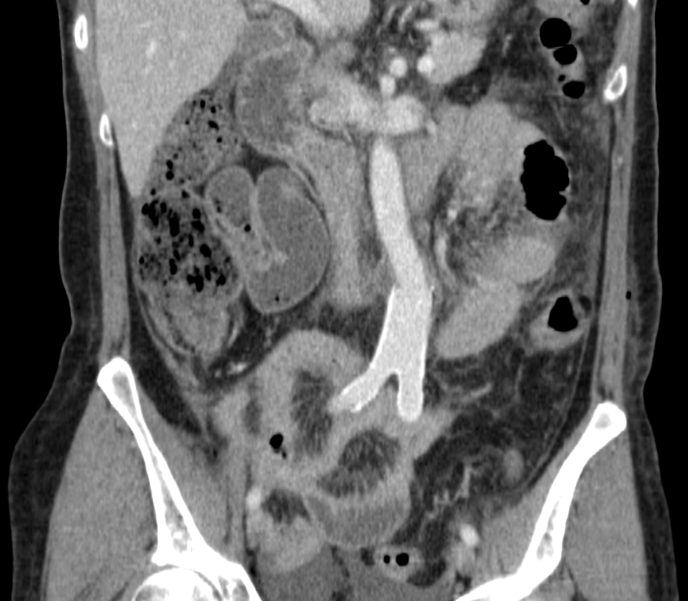
6. Рис. 6. КТ-ангиография органов брюшной полости после операции, артериальная фаза, фронтальная проекция. Примечание: рисунок выполнен авторами | |
| Тема | ||
| Тип | Исследовательские инструменты | |
Посмотреть
(524KB)
|
Метаданные ▾ | |
Рецензия
Для цитирования:
Расулов Р.И., Муратов А.А., Кувшинов А.Г., Пономаренко А.П., Булытов А.М., Малых Д.О. Клиническое наблюдение удаления забрюшинной параганглиомы с резекцией и протезированием бифуркации аорты. Сибирский онкологический журнал. 2025;24(4):155-161. https://doi.org/10.21294/1814-4861-2025-24-4-155-161
For citation:
Rasulov R.I., Muratov A.A., Kuvshinov A.G., Ponomarenko A.P., Bulytov A.M., Malykh D.O. Surgical removal of retroperitoneal paraganglioma with aortic bifurcation resection and replacement: a case report. Siberian journal of oncology. 2025;24(4):155-161. (In Russ.) https://doi.org/10.21294/1814-4861-2025-24-4-155-161
JATS XML








































