Конверсионная лекарственная терапия в лечении гепатоцеллюлярной карциномы. Клиническое наблюдение
https://doi.org/10.21294/1814-4861-2025-24-4-170-177
Аннотация
Введение. В настоящее время комбинация препаратов атезолизумаба и бевацизумаба рекомендована для первой линии терапии распространенной гепатоцеллюлярной карциномы (ГЦК). Накопленный мировой и отечественный опыт применения данного метода лечения позволяет утверждать, что он значительно улучшает общий прогноз заболевания. Обсуждается возможность применения комбинации атезолизумаб + бевацизумаб в качестве конверсионной терапии при исходно распространенной или функционально нерезектабельной ГЦК.
Цель исследования – оценить возможность применения комбинации атезолизумаб + бевацизумаб в качестве конверсионной лекарственной терапии ГЦК.
Описание клинического случая. Представлен клинический случай конверсионной лекарственной терапии функционально нерезектабельной ГЦК правой доли печени. В связи c недостаточным объемом остающейся паренхимы печени (менее 25 %) выполнение правосторонней гемигепатэктомии признано нецелесообразным. На начальном этапе лечения проведено 20 курсов конверсионной лекарственной терапии по схеме атезолизумаб + бевацизумаб, которая сопровождалась минимальным количеством нежелательных явлений. В дальнейшем с учетом частичного ответа опухоли на противоопухолевую терапию выполнено радикальное оперативное вмешательство в объеме резекции s7–8. При гистологическом исследовании операционного материала констатирован полный патоморфологический ответ.
Заключение. Приведенное клиническое наблюдение демонстрирует эффективность комбинации атезолизумаб + бевацизумаб в качестве конверсионной терапии при ГЦК, которая обеспечила выполнение радикальной резекции печени и полный патоморфологический ответ. Полученный опыт подчеркивает необходимость дальнейших исследований в данном направлении.
Об авторах
В. А. ВалишинРоссия
Валишин Вадим Аликович, онколог хирургического отделения № 1
450054, г. Уфа, проспект Октября, 73/1
К. В. Меньшиков
Россия
Меньшиков Константин Викторович, кандидат медицинских наук, доцент кафедры онкологии и клинической морфологии; онколог отдела химиотерапии
450054, г. Уфа, проспект Октября, 73/1
А. В. Султанбаев
Россия
Султанбаев Александр Валерьевич, кандидат медицинских наук, доцент кафедры педагогики и психологии; заведующий отделом противоопухолевой лекарственной терапии
450054, г. Уфа, проспект Октября, 73/1
Р. Р. Абдеев
Россия
Абдеев Рустем Раисович, онколог, заведующий хирургическим отделением № 1
450054, г. Уфа, проспект Октября, 73/1
Р. Р. Уразин
Россия
Уразин Ринат Рафаэлевич, онколог хирургического отделения № 1
450054, г. Уфа, проспект Октября, 73/1
Ш. И. Мусин
Россия
Мусин Шамиль Исмагилович, кандидат медицинских наук, заведующий хирургическим отделением № VI
450054, г. Уфа, проспект Октября, 73/1
Л. А. Валишина
Россия
Валишина Ленара Айратовна, онколог
450092, г. Уфа, ул. Авроры, 18
В. И. Згоников
Россия
Згоников Владислав Игоревич, студент
119048, г. Москва, ул. Трубецкая, 8, стр. 2
Р. Т. Аюпов
Россия
Аюпов Рустем Талгатович, кандидат медицинских наук, заместитель главного врача по медицинской части
450054, г. Уфа, проспект Октября, 73/1
И. Н. Старцев-Светличный
Россия
Старцев-Светличный Иван Николаевич, патологоанатом отделения патологоанатомической анатомии
450054, г. Уфа, проспект Октября, 73/1
Список литературы
1. Siegel R.L., Miller K.D., Jemal A. Cancer statistics, 2020. CA: A Cancer J Clin. 2020; 70(1): 7–30. doi: 10.3322/caac.21590.
2. Benson A.B., D’Angelica M.I., Abbott D.E., Anaya D.A., Anders R., Are C., Bachini M., Borad M., Brown D., Burgoyne A., Chahal P., Chang D.T., Cloyd J., Covey A.M., Glazer E.S., Goyal L., Hawkins W.G., Iyer R., Jacob R., Kelley R.K., Kim R., Levine M., Palta M., Park J.O., Raman S., Reddy S., Sahai V., Schefter T., Singh G., Stein S., Vauthey J.N., Venook A.P., Yopp A., McMillian N.R., Hochstetler C., Darlow S.D. Hepatobiliary Cancers, Version 2.2021, NCCN Clinical Practice Guidelines in Oncology. J Natl Compr Canc Netw. 2021; 19(5): 541–65. doi: 10.6004/jnccn.2021.0022.
3. Llovet J.M., Ricci S., Mazzaferro V., Hilgard P., Gane E., Blanc J.F., de Oliveira A.C., Santoro A., Raoul J.L., Forner A., Schwartz M., Porta C., Zeuzem S., Bolondi L., Greten T.F., Galle P.R., Seitz J.F., Borbath I., Häussinger D., Giannaris T., Shan M., Moscovici M., Voliotis D., Bruix J.; SHARP Investigators Study Group. Sorafenib in advanced hepatocellular carcinoma. N Engl J Med. 2008; 359(4): 378–90. doi: 10.1056/NEJMoa0708857.
4. Bruix J., Takayama T., Mazzaferro V., Chau G.Y., Yang J., Kudo M., Cai J., Poon R.T., Han K.H., Tak W.Y., Lee H.C., Song T., Roayaie S., Bolondi L., Lee K.S., Makuuchi M., Souza F., Berre M.A., Meinhardt G., Llovet J.M.; STORM investigators. Adjuvant sorafenib for hepatocellular carcinoma after resection or ablation (STORM): a phase 3, randomised, double-blind, placebo-controlled trial. Lancet Oncol. 2015; 16(13): 1344–54. doi: 10.1016/S1470-2045(15)00198-9.
5. Kudo M., Finn R.S., Qin S., Han K.H., Ikeda K., Piscaglia F., Baron A., Park J.W., Han G., Jassem J., Blanc J.F., Vogel A., Komov D., Evans T.R.J., Lopez C., Dutcus C., Guo M., Saito K., Kraljevic S., Tamai T., Ren M., Cheng A.L. Lenvatinib versus sorafenib in first-line treatment of patients with unresectable hepatocellular carcinoma: a randomised phase 3 noninferiority trial. Lancet. 2018; 391(10126): 1163–73. doi: 10.1016/S0140-6736(18)30207-1.
6. Wei Y., Li Z. LAG3-PD-1 combo overcome the disadvantage of drug resistance. Front Oncol. 2022; 12: 831407. doi: 10.3389/fonc.2022.831407.
7. Alsaab H.O., Sau S., Alzhrani R., Tatiparti K., Bhise K., Kashaw S.K., Iyer A.K. PD-1 and PD-L1 Checkpoint Signaling Inhibition for Cancer Immunotherapy: Mechanism, Combinations, and Clinical Outcome. Front Pharmacol. 2017; 8: 561. doi: 10.3389/fphar.2017.00561.
8. Finn R.S., Qin S., Ikeda M., Galle P.R., Ducreux M., Kim T.Y., Kudo M., Breder V., Merle P., Kaseb A.O., Li D., Verret W., Xu D.Z., Hernandez S., Liu J., Huang C., Mulla S., Wang Y., Lim H.Y., Zhu A.X., Cheng A.L.; IMbrave150 Investigators. Atezolizumab plus Bevacizumab in Unresectable Hepatocellular Carcinoma. N Engl J Med. 2020; 382(20): 1894–905. doi: 10.1056/NEJMoa1915745.
9. Reig M., Forner A., Rimola J., Ferrer-Fàbrega J., Burrel M., GarciaCriado Á., Kelley R.K., Galle P.R., Mazzaferro V., Salem R., Sangro B., Singal A.G., Vogel A., Fuster J., Ayuso C., Bruix J. BCLC strategy for prognosis prediction and treatment recommendation: The 2022 update. J Hepatol. 2022; 76(3): 681–93. doi: 10.1016/j.jhep.2021.11.018.
10. Abou-Alfa G.K., Lau G., Kudo M., Chan S.L., Kelley R.K., Furuse J., Sukeepaisarnjaroen W., Kang Y.K., van Dao T., de Toni E.N., Rimassa L., Breder V., Vasilyev A., Heurgué A., Tam V.C., Mody K., Thungappa S.C., Ostapenko Y., Yau T., Azevedo S., Varela M., Cheng A.L., Qin S., Galle P.R., Ali S., Marcovitz M., Makowsky M., He P., Kurland J.F., Negro A., Sangro B. Tremelimumab plus Durvalumab in Unresectable Hepatocellular Carcinoma. NEJM Evid. 2022; 1(8): EVIDoa2100070. doi: 10.1056/EVIDoa2100070.
11. Laschtowitz A., Roderburg C., Tacke F., Mohr R. Preoperative immunotherapy in hepatocellular carcinoma: Current state of the art. J Hepatocell Carcinoma. 2023; 10: 181–91. doi: 10.2147/JHC.S347944.
12. Heimbach J.K., Gores G.J., Nagorney D.M., Rosen C.B. Liver transplantation for perihilar cholangiocarcinoma after aggressive neoadjuvant therapy: a new paradigm for liver and biliary malignancies? Surgery. 2006; 140(3): 331–34. doi: 10.1016/j.surg.2006.01.010.
13. Kaseb A.O., Hasanov E., Cao H.S.T., Xiao L., Vauthey J.N., Lee S.S., Yavuz B.G., Mohamed Y.I., Qayyum A., Jindal S., Duan F., Basu S., Yadav S.S., Nicholas C., Sun J.J., Singh Raghav K.P., Rashid A., Carter K., Chun Y.S., Tzeng C.D., Sakamuri D., Xu L., Sun R., Cristini V., Beretta L., Yao J.C., Wolff R.A., Allison J.P., Sharma P. Perioperative nivolumab monotherapy versus nivolumab plus ipilimumab in resectable hepatocellular carcinoma: a randomised, open-label, phase 2 trial. Lancet Gastroenterol Hepatol. 2022; 7(3): 208–18. doi: 10.1016/S2468-1253-(21)00427-1
14. Zhao M., Chen S., Li C., Du Y., Li P. Neoadjuvant immune checkpoint inhibitors for resectable hepatocellular carcinoma: A systematic review and meta-analysis. Cancers. 2023; 15(3): 600. doi: 10.3390/cancers15030600.
15. Marron T.U., Fiel M.I., Hamon P., Fiaschi N., Kim E., Ward S.C., Zhao Z., Kim J., Kennedy P., Gunasekaran G., Tabrizian P., Doroshow D., Legg M., Hammad A., Magen A., Kamphorst A.O., Shareef M., Gupta N.T., Deering R., Wang W., Wang F., Thanigaimani P., Mani J., Troncoso L., Tabachnikova A., Chang C., Akturk G., Buckup M., Hamel S., Ioannou G., Hennequin C., Jamal H., Brown H., Bonaccorso A., Labow D., Sarpel U., Rosenbloom T., Sung M.W., Kou B., Li S., Jankovic V., James N., Hamon S.C., Cheung H.K., Sims J.S., Miller E., Bhardwaj N., Thurston G., Lowy I., Gnjatic S., Taouli B., Schwartz M.E., Merad M. Neoadjuvant cemiplimab for resectable hepatocellular carcinoma: a single-arm, open-label, phase 2 trial. Lancet Gastroenterol Hepatol. 2022; 7(3): 219–29. doi: 10.1016/S2468-1253(21)00385-X.
16. Ho W.J., Zhu Q., Durham J., Popovic A., Xavier S., Leatherman J., Mohan A., Mo G., Zhang S., Gross N., Charmsaz S., Lin D., Quong D., Wilt B., Kamel I.R., Weiss M., Philosophe B., Burkhart R., Burns W.R., Shubert C., Ejaz A., He J., Deshpande A., Danilova L., Stein-O’Brien G., Sugar E.A., Laheru D.A., Anders R.A., Fertig E.J., Jaffee E.M., Yarchoan M. Neoadjuvant Cabozantinib and Nivolumab Converts Locally Advanced HCC into Resectable Disease with Enhanced Antitumor Immunity. Nat Cancer. 2021; 2(9): 891–903. doi: 10.1038/s43018-021-00234-4.
17. Xia Y., Tang W., Qian X., Li X., Cheng F., Wang K., Zhang F., Zhang C., Li D., Song J., Zhang H., Zhao J., Yao A., Wu X., Wu C., Ji G., Liu X., Zhu F., Qin L., Xiao X., Deng Z., Kong X., Li S., Yu Y., Xi W., Deng W., Qi C., Liu H., Pu L., Wang .P, Wang X. Efficacy and safety of camrelizumab plus apatinib during the perioperative period in resectable hepatocellular carcinoma: a single-arm, open label, phase II clinical trial. J Immunother Cancer. 2022; 10(4): e004656. doi: 10.1136/jitc-2022-004656.
18. Vogel A., Meyer T., Sapisochin G., Salem R., Saborowski A. Hepatocellular carcinoma. Lancet. 2022; 400(10360): 1345–62. doi: 10.1016/S0140-6736(22)01200-4.
19. Yang J.D., Hainaut P., Gores G.J., Amadou A., Plymoth A., Roberts L.R. A global view of hepatocellular carcinoma: trends, risk, prevention and management. Nat Rev Gastroenterol Hepatol. 2019; 16(10): 589–604. doi: 10.1038/s41575-019-0186-y.
20. Reig M., Forner A., Rimola J., Ferrer-Fàbrega J., Burrel M., Garcia-Criado Á., Kelley R.K., Galle P.R., Mazzaferro V., Salem R., Sangro B., Singal A.G., Vogel A., Fuster J., Ayuso C., Bruix J. BCLC strategy for prognosis prediction and treatment recommendation: The 2022 update. J Hepatol. 2022; 76(3): 681–93. doi: 10.1016/j.jhep.2021.11.018.
21. Tampaki M., Papatheodoridis G.V., Cholongitas E. Intrahepatic recurrence of hepatocellular carcinoma after resection: an update. Clin J Gastroenterol. 2021; 14(3): 699–713. doi: 10.1007/s12328-021-01394-7.
22. Lee K.T., Lu Y.W., Wang S.N., Chen H.Y., Chuang S.C., Chang W.T., Shi H.Y., Ker C.G., Chiu H.C. The effect of preoperative transarterial chemoembolization of resectable hepatocellular carcinoma on clinical and economic outcomes. J Surg Oncol. 2009; 99(6): 343–50. doi: 10.1002/jso.21248.
23. Ho W.J., Zhu Q., Durham J., Popovic A., Xavier S., Leatherman J., Mohan A., Mo G., Zhang S., Gross N., Charmsaz S., Lin D., Quong D., Wilt B., Kamel I.R., Weiss M., Philosophe B., Burkhart R., Burns W.R., Shubert C., Ejaz A., He J., Deshpande A., Danilova L., Stein-O’Brien G., Sugar E.A., Laheru D.A., Anders R.A., Fertig E.J., Jaffee E.M., Yarchoan M. Neoadjuvant Cabozantinib and Nivolumab Converts Locally Advanced HCC into Resectable Disease with Enhanced Antitumor Immunity. Nat Cancer. 2021; 2(9): 891–903. doi: 10.1038/s43018-021-00234-4
24. Zhou Y., Li J., Ying J. Anti-PD-1/L1 antibody plus anti-VEGF antibody vs. plus VEGFR-targeted TKI as first-line therapy for unresectable hepatocellular carcinoma: a network meta-analysis. Explor Target Antitumor Ther. 2024; 5(3): 568–80. doi: 10.37349/etat.2024.00236.
Дополнительные файлы
|
|
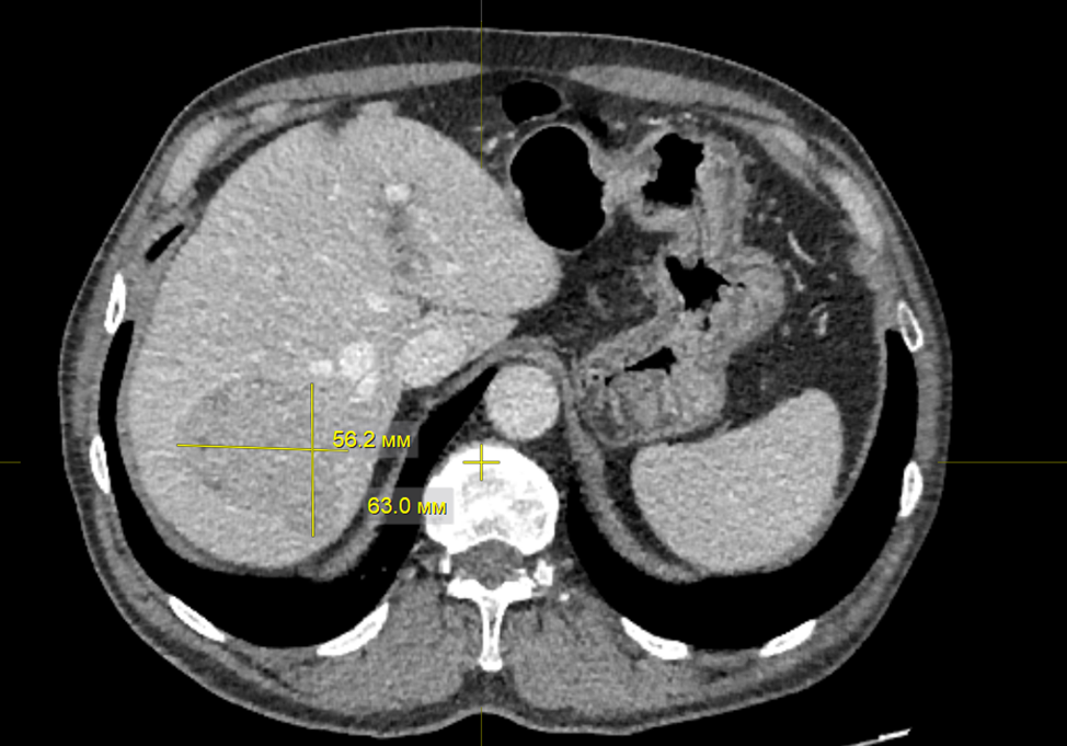
1. Рис. 1. КТ органов брюшной полости. В S7 печени определяется гиперваскулярное образование с нечеткими неровными контурами, размерами 63×56×49 мм, с наличием псевдокапсулы в отсроченную фазу, плотность +40 – + 47 HU, контраст накапливает неоднородно до +94 HU. Примечание: рисунок выполнен авторами | |
| Тема | ||
| Тип | Исследовательские инструменты | |
Посмотреть
(532KB)
|
Метаданные ▾ | |
|
|
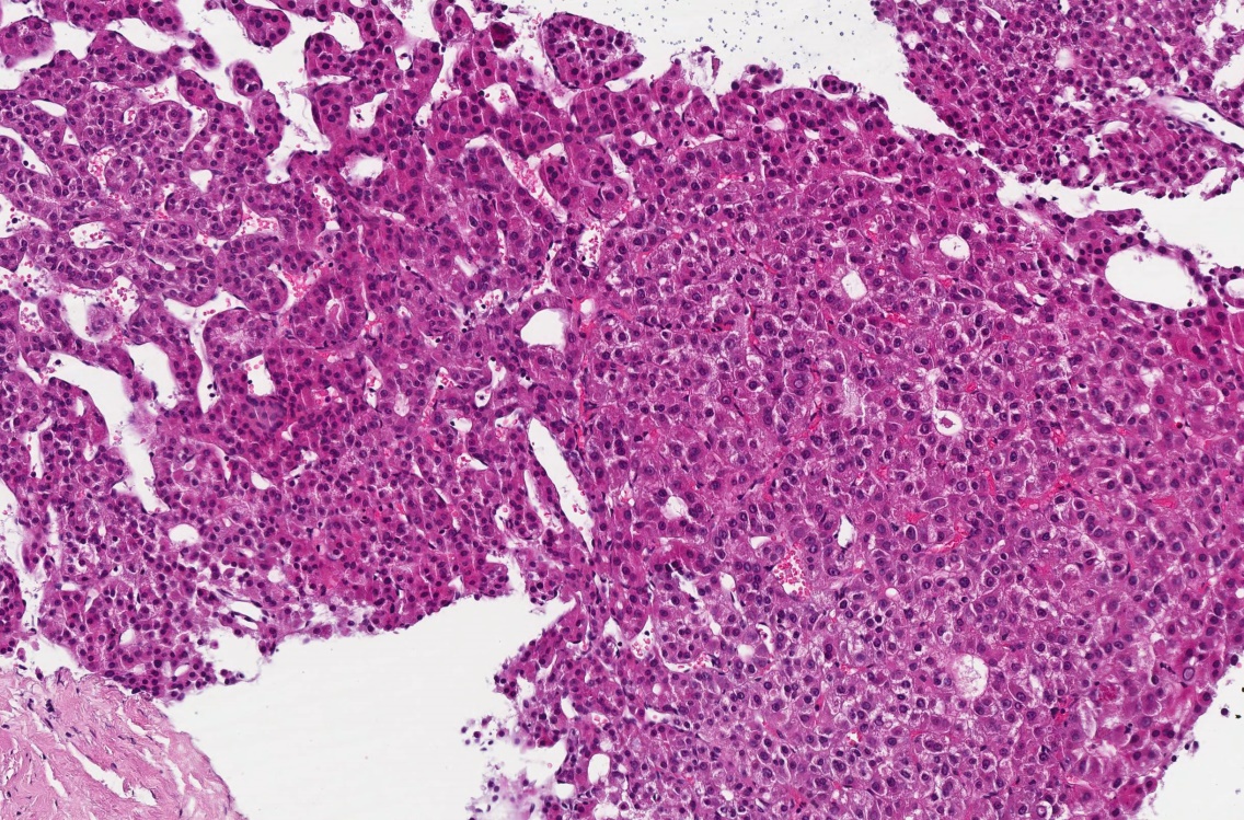
2. Рис. 2. Микрофото. Опухоль трабекулярного строения представлена клетками с обильной эозинофильной цитоплазмой, расположенными в 2–3 слоя. Ядра крупные с ядрышками, единичные фигуры митоза. Окраска гематоксилином и эозином, ×100. Примечание: рисунок выполнен авторами | |
| Тема | ||
| Тип | Исследовательские инструменты | |
Посмотреть
(571KB)
|
Метаданные ▾ | |
|
|
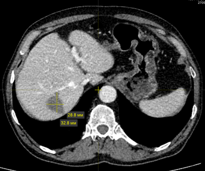
3. Рис. 3. КТ от 27.05.24. В S7 печени определяется образование с нечеткими неровными контурами, размерами 28,8×32,8 мм. Частичный ответ. Примечание: рисунок выполнен авторами | |
| Тема | ||
| Тип | Исследовательские инструменты | |
Посмотреть
(331KB)
|
Метаданные ▾ | |
|
|
4. Рис. 4. А. Поверхность печени с кистозной опухолью. Б. Макропрепарат. Резецированные S7–8 правой доли печени. В. Микрофото. Обширный очаг некроза опухоли в печени. Окраска гематоксилином и эозином, ×40. Г. Микрофото. Зона некроза опухоли и сохранной печеночной ткани, разделенные зоной фиброза с демаркационным лимфо-лейкоцитарным воспалительным инфильтратом. Окраска гематоксилином и эозином, ×100. Примечание: рисунок выполнен авторами | |
| Тема | ||
| Тип | Исследовательские инструменты | |
Посмотреть
(68KB)
|
Метаданные ▾ | |
Рецензия
Для цитирования:
Валишин В.А., Меньшиков К.В., Султанбаев А.В., Абдеев Р.Р., Уразин Р.Р., Мусин Ш.И., Валишина Л.А., Згоников В.И., Аюпов Р.Т., Старцев-Светличный И.Н. Конверсионная лекарственная терапия в лечении гепатоцеллюлярной карциномы. Клиническое наблюдение. Сибирский онкологический журнал. 2025;24(4):170-177. https://doi.org/10.21294/1814-4861-2025-24-4-170-177
For citation:
Valishin V.A., Menshikov K.V., Sultanbaev A.V., Abdeev R.R., Urazin R.R., Musin Sh.I., Valishina L.A., Zgonikov V.I., Ayupov R.T., Startsev-Svetlichny I.N. Conversion therapy for hepatocellular carcinoma: a case report. Siberian journal of oncology. 2025;24(4):170-177. (In Russ.) https://doi.org/10.21294/1814-4861-2025-24-4-170-177








































