Preview

Сибирский онкологический журнал

Расширенный поиск

Сложности дифференциальной диагностики низкодифференцированной крупноклеточной нейроэндокринной карциномы шейки матки. Клиническое наблюдение

https://doi.org/10.21294/1814-4861-2025-24-4-178-185

Аннотация

Нейроэндокринные опухоли (НЭО) женских половых органов, в том числе шейки матки, считаются крайне редкими локализациями. из всех НЭО шейки матки 80 % составляют мелкоклеточные нейроэндокринные карциномы, на долю которых приходится 1–3 % всех случаев рака шейки матки, представляющие очень агрессивные злокачественные опухоли с плохим прогнозом и пока ограниченными возможностями их эффективного лечения. Это приводит к искажению истинной частоты встречаемости, поскольку во многих случаях их нейроэндокринная дифференцировка при постановке диагноза даже не предполагается и дополнительное иммуногистохимическое исследование не проводится. 
Описание случая. Представлен случай агрессивного течения низкодифференцированной крупноклеточной нейроэндокринной карциномы шейки матки у пациентки 40 лет. Отмечаются сложности и ошибки подходов к верификации диагноза, а также необходимость в применении расширенного диагностического комплекса для выбора оптимальной тактики ведения. Всего пациентке проводили IV линии ХТ после оперативного лечения и многоэтапного иммуногистохимического исследования. Однако несмотря на все предпринятые усилия, состояние пациентки резко ухудшилось, и она скончалась через 2 года и 1 мес от момента первичного обращения. 
Заключение. Отсутствие специфических симптомов, агрессивность течения, сложность диагностики на всех этапах и ограниченные возможности методов лечения определяют необходимость создания и развития отдельных центров по лечению НЭО любой степени злокачественности и различной локализации.

Об авторах

Е. В. Маркарова
ГБУЗ МО «Московский областной научно-исследовательский клинический институт им. М.Ф. Владимирского»
Россия

Маркарова Екатерина Васильевна, кандидат медицинских наук, доцент кафедры онкологии и торакальный хирургии 

129110, г. Москва, ул. Щепкина, 61/2 



Л. Е. Гуревич
ГБУЗ МО «Московский областной научно-исследовательский клинический институт им. М.Ф. Владимирского»
Россия

Гуревич Лариса Евсеевна, доктор биологических наук, профессор, ведущий научный сотрудник морфологического отделения отдела онкологии 

129110, г. Москва, ул. Щепкина, 61/2 



Е. В. Бондаренко
ГБУЗ МО «Московский областной научно-исследовательский клинический институт им. М.Ф. Владимирского» ;ФГБУ «НМИЦ эндокринологии им. акад. И.И. Дедова» Минздрава России
Россия

Бондаренко Екатерина Владимировна, кандидат медицинских наук, руководитель группы биобанкинга; доцент кафедры патологической анатомии и судебной медицины 

129110, г. Москва, ул. Щепкина, 61/2 

117292, г. Москва, ул. Дм. Ульянова, 11 



В. Е. Шикина
ГБУЗ МО «Московский областной научно-исследовательский клинический институт им. М.Ф. Владимирского»
Россия

Шикина Валентина Евгеньевна, кандидат медицинских наук, заместитель директора по онкологии 

129110, г. Москва, ул. Щепкина, 61/2 



Л. М. Когония
ГБУЗ МО «Московский областной научно-исследовательский клинический институт им. М.Ф. Владимирского»
Россия

Когония Лали Михайловна, доктор медицинских наук, профессор, профессор кафедры онкологии и торакальный хирургии 

129110, г. Москва, ул. Щепкина, 61/2 



Список литературы

1. Travis W.D., Linnoila R.I., Tsokos M.G., Hitchcock C.L., Cutler G.B. Jr., Nieman L., Chrousos G., Pass H., Doppman J. Neuroendocrine tumors of the lung with proposed criteria for large-cell neuroendocrine carcinoma. An ultrastructural, immunohistochemical, and flow cytometric study of 35 cases. Am J Surg Pathol. 1991; 15(6): 529–53. doi: 10.1097/00000478-199106000-00003.

2. Gibbs J., Mei S., Economos K., Lee Y.C., Kanis M.J. Clinicopathologic features, incidence, and survival trends of gynecologic neuroendocrine tumors: a SEER database analysis. Am J Obstet Gynecol. 2019; 221(1): 53.e1–53.e6. doi: 10.1016/j.ajog.2019.02.052.

3. Rindi G., Mete O., Uccella S., Basturk O., La Rosa S., Brosens L.A.A., Ezzat S., de Herder W.W., Klimstra D.S., Papotti M., Asa S.L. Overview of the 2022 WHO Classification of Neuroendocrine Neoplasms. Endocr Pathol. 2022; 33(1): 115–54. doi: 10.1007/s12022-022-09708-2.

4. Georgescu T.A., Bohiltea R.E., Munteanu O., Furtunescu F., Lisievici A.C., Grigoriu C., Gherghiceanu F., Vlădăreanu E.M., Berceanu C., Ducu I., Iordache A.M. Emerging Therapeutic Concepts and Latest Diagnostic Advancements Regarding Neuroendocrine Tumors of the Gynecologic Tract. Medicina (Kaunas). 2021; 57(12): 1338. doi: 10.3390/medicina57121338.

5. Rostirolla G.F., Guerra A., Alt M.C.R., Libera L.T.D., Binda M.E.A., Appel M., Dos Santos F.D.M. Small Cell Neuroendocrine Carcinoma of the Vulva: Case Report and Literature Review. Open Journal of Obstetrics and Gynecology. 2024; 14(2): 295–300. doi: 10.4236/ojog.2024.142027.

6. Han L., Zheng A., Chen Y. A rare case of primary small cell neuroendocrine carcinoma of the Bartholin gland. Int J Gynaecol Obstet. 2021; 155(3): 539–40. doi: 10.1002/ijgo.13782.

7. Сафронова К.В., Артемьева А.С., Нюганен А.О., Кутушева Г.Ф., Чуглова Д.А., Микая Н.А., Берлев И.В., Урманчеева А.Ф., Беляев А.М., Ульрих Е.А. Нейроэндокринные опухоли шейки матки. Сибирский онкологический журнал. 2020; 19(5): 97–107. doi: 10.21294/1814-4861-2020-19-5-97-107. EDN: BWZDOC.

8. Gupta S., Kalwaniya D.S., Motwani V. Exploring neuroendocrine carcinoma of the cervix: a case report and literature review. Int J Reprod Contracept Obstet Gynecol. 2024; 13(5): 1330–33. doi: 10.18203/2320-1770.ijrcog20241093.

9. Zou Q., Zhang L., Cheng Z., Guo X., Cao D. INSM1 Is Less Sensitive But More Specific Than Synaptophysin in Gynecologic High-grade Neuroendocrine Carcinomas: An Immunohistochemical Study of 75 Cases With Specificity Test and Literature Review. Am J Surg Pathol. 2021; 45(2): 147–59. doi: 10.1097/PAS.0000000000001641.

10. Inzani F., Santoro A., Angelico G., Feraco A., Spadola S., Arciuolo D., Valente M., Carlino A., Piermattei A., Scaglione G., Scambia G., Rindi G., Zannoni G.F. Neuroendocrine Carcinoma of the Uterine Cervix: A Clinicopathologic and Immunohistochemical Study with Focus on Novel Markers (Sst2-Sst5). Cancers (Basel). 2020; 12(5): 1211. doi: 10.3390/cancers12051211.

11. Prodromidou A., Phelps D.L., Pergialiotis V., Cunnea P., Thomakos N., Rodolakis A., Fotopoulou C., Haidopoulos D. Clinicopathological characteristics and survival outcomes of patients with large cell neuroendocrine carcinoma of the uterine cervix: A systematic review and meta-analysis. Eur J Obstet Gynecol Reprod Biol. 2022; 270: 212–20. doi: 10.1016/j.ejogrb.2022.01.014.

12. Embry J.R., Kelly M.G., Post M.D., Spillman M.A. Large cell neuroendocrine carcinoma of the cervix: prognostic factors and survival advantage with platinum chemotherapy. Gynecol Oncol. 2011; 120(3): 444–48. doi: 10.1016/j.ygyno.2010.11.007.

13. Когония Л.М., Маркарова Е.В., Гуревич Л.Е., Бондаренко Е.В. Влияния биотерапии на качество жизни пациентки с НЭО слепой кишки. Паллиативная медицина и реабилитация. 2023; (1): 33–35. EDN: UQCGH.


Дополнительные файлы

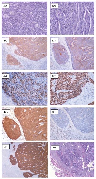
1. Рис. 1. Микрофото. Крупноклеточная нейроэндокринная карцинома шейки матки. А. Опухоль образована из трабекулярных и папиллярных структур, ×250. Б. При большем увеличении видны митотические фигуры и апоптозные тельца, ×400. Положительная реакция клеток опухоли с общими маркерами нейроэндокринной дифференцировки: с синаптофизином (В), хромогранином А (Г) и INSM-1 (Д), ×125, ×250, × 250 соответственно. Е. Высокая пролиферативная активность клеток опухоли, индекс Ki67 равен 73,5 %, ×250. Ж. Интенсивная цитоплазматическая экспрессия р16 в клетках опухоли, ×250. З. Экспрессия рецепторов к прогестерону в строме шейки матки, но не в клетках опухоли, × 250. И. Интенсивная экспрессия цитокератина 7 в клетках опухоли, ×125. К. Метастаз КК НЭК шейки матки в мышцу, ×40. А, Б, К – окраска гематоксилином и эозином. В–И – ИГХ-реакция. Примечание: рисунок выполнен авторами
Тема
Тип Исследовательские инструменты
Посмотреть (103KB)    
Метаданные ▾

Рецензия

Для цитирования:


Маркарова Е.В., Гуревич Л.Е., Бондаренко Е.В., Шикина В.Е., Когония Л.М. Сложности дифференциальной диагностики низкодифференцированной крупноклеточной нейроэндокринной карциномы шейки матки. Клиническое наблюдение. Сибирский онкологический журнал. 2025;24(4):178-185. https://doi.org/10.21294/1814-4861-2025-24-4-178-185

For citation:


Markarova E.V., Gurevich L.E., Bondarenko E.V., Shikinа V.E., Kogonia L.M. Complexities in differential diagnosis of poorly differentiated large cell neuroendocrine carcinoma of the cervix: a case report. Siberian journal of oncology. 2025;24(4):178-185. (In Russ.) https://doi.org/10.21294/1814-4861-2025-24-4-178-185

Просмотров: 852


Creative Commons License
Контент доступен под лицензией Creative Commons Attribution 4.0 License.


ISSN 1814-4861 (Print)
ISSN 2312-3168 (Online)