Preview

Сибирский онкологический журнал

Расширенный поиск

Интраоперационное цитологическое исследование сторожевых лимфатических узлов при гинекологическом раке: диагностическая точность и ограничения

https://doi.org/10.21294/1814-4861-2025-24-5-72-80

Аннотация

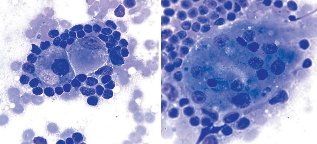
Введение. Интраоперационная оценка состояния сторожевых лимфатических узлов у пациенток с гинекологическим раком играет ключевую роль в стадировании и определении объема хирургического вмешательства. Цитологический метод как альтернатива замороженным срезам представляет интерес с точки зрения доступности и оперативности.

Цель исследования – оценить чувствительность, специфичность и диагностическую точность интраоперационного цитологического исследования сторожевых лимфатических узлов (СЛУ) у пациенток с ранними стадиями рака эндометрия и шейки матки.

Материал и методы. В исследование включены 172 пациентки с I клинической стадией рака эндометрия (n=120) и шейки матки (n=52), прооперированные в условиях онкогинекологического отделения НИИ онкологии Томского НИМЦ. Всем пациенткам во время операции выполнялось интраоперационное цитологическое исследование мазков-отпечатков с поверхности СЛУ. Результаты сравнивались с данными последующего стандартного гистологического и иммуногистохимического анализа.

Результаты. У пациенток с раком эндометрия чувствительность и специфичность интраоперационного цитологического метода составили 93,4 и 99,1 % соответственно. При раке шейки матки – 50 и 98 %. Общая диагностическая точность интраоперационного цитологического метода в исследуемой когорте составила 88 %. Основными причинами ложноотрицательных и ложноположительных результатов явились микрометастазы, эндосальпингоз и гистиоцитарная инфильтрация синусов лимфатических узлов.

Выводы. Интраоперационное цитологическое исследование СЛУ – простой, быстрый и высокоспецифичный метод диагностики макрометастазов при гинекологическом раке. Несмотря на ограниченную чувствительность в выявлении микрометастатического поражения, метод может использоваться для принятия интраоперационных решений, особенно в условиях ограниченных ресурсов.

Об авторах

О. В. Панкова
Научно-исследовательский институт онкологии, Томский национальный исследовательский медицинский центр Российской академии наук
Россия

Панкова Ольга Владимировна - доктор биологических наук, старший научный сотрудник отделения общей и молекулярной патологии, Научно-исследовательский институт онкологии, SPIN-код: 3355-7118. Researcher ID (WOS): C-8216-2012. Author ID (Scopus): 6603043604.

634009, Томск, пер. Кооперативный, 5



С. В. Вторушин
Научно-исследовательский институт онкологии, Томский национальный исследовательский медицинский центр Российской академии наук; ФГБОУ ВО «Сибирский государственный медицинский университет» Минздрава России
Россия

Вторушин Сергей Владимирович - доктор медицинских наук, профессор, заместитель директора по научной̆ работе и трансляционной медицине, руководитель отделения общей и молекулярной патологии, Научно-исследовательский институт онкологии, SPINкод: 2442-4720. Researcher ID (WOS): S-3789-2016. Author ID (Scopus): 26654562300.

634009, Томск, пер. Кооперативный, 5; 634050, Томск, Московский тракт, 2



М. В. Климова
Научно-исследовательский институт онкологии, Томский национальный исследовательский медицинский центр Российской академии наук
Россия

Климова Марина Викторовна - кандидат медицинских наук, врач клинической лабораторной диагностики отделения общей и молекулярной патологии, Научно-исследовательский институт онкологии.

634009, Томск, пер. Кооперативный, 5



Д. С. Письменный
Научно-исследовательский институт онкологии, Томский национальный исследовательский медицинский центр Российской академии наук; ФГБОУ ВО «Сибирский государственный медицинский университет» Минздрава России
Россия

Письменный Дмитрий Сергеевич - кандидат медицинских наук, врач клинической лабораторной диагностики отделения общей и молекулярной патологии, Научно-исследовательский институт онкологии, Томский НИМЦ Российской академии наук; доцент кафедры патологической анатомии, ФГБОУ ВО «Сибирский ГМУ» МР SPIN-код: 7441-0790. Author ID (Scopus): 57218625147.

634009, Томск, пер. Кооперативный, 5; 634050, Томск, Московский тракт, 2



М. О. Очиров
Научно-исследовательский институт онкологии, Томский национальный исследовательский медицинский центр Российской академии наук
Россия

Очиров Максим Олегович - кандидат медицинских наук, научный сотрудник, Научно-исследовательский институт онкологии, SPIN-код: 5901-2291. Researcher ID (WOS): K-1722-2017. Author ID (Scopus): 57204634789.

634009, Томск, пер. Кооперативный, 5



Л. А. Коломиец
Научно-исследовательский институт онкологии, Томский национальный исследовательский медицинский центр Российской академии наук; ФГБОУ ВО «Сибирский государственный медицинский университет» Минздрава России
Россия

Коломиец Лариса Александровна - доктор медицинских наук, профессор, руководитель отделения онкогинекологии, Научно-исследовательский институт онкологии, Томский НИМЦ Российской академии наук; профессор кафедры онкологии, ФГБОУ ВО «Сибирский ГМУ» МР SPIN-код: 6316-1146. Researcher ID (WOS): C-8573-2012. Author ID (Scopus): 7004921120.

634009, Томск, пер. Кооперативный, 5; 634050, Томск, Московский тракт, 2



В. М. Перельмутер
Научно-исследовательский институт онкологии, Томский национальный исследовательский медицинский центр Российской академии наук
Россия

Перельмутер Владимир Михайлович - доктор медицинских наук, профессор, главный научный сотрудник отделения общей и молекулярной патологии, Научно-исследовательский институт онкологии, SPIN-код: 6252-5319. Researcher ID (WOS): C-8227-2012. Author ID (Scopus): 8091317300.

634009, Томск, пер. Кооперативный, 5



Список литературы

1. Petropoulou T., Kapoula A., Mastoraki A., Politi A., SpanidouKarvouni E., Psychogios I., Vassiliou I., Arkadopoulos N. Imprint cytology versus frozen section analysis for intraoperative assessment of sentinel lymph node in breast cancer. Breast Cancer (Dove Med Press). 2017; 9: 325–30. doi: 10.2147/BCTT.S130987.

2. Gao Y., Monaco S.E., Katz R.L., Zhang Y.H. Introduction of the WHO reporting system for lymph node cytopathology. J Clin Transl Pathol. 2024; 4(1): 36–43. doi: 10.14218/JCTP.2023.00044.

3. Hashmi A.A., Naz S., Ahmed O., Yaqeen S.R., Afzal A., Asghar I.A., Irfan M., Faridi N. Diagnostic accuracy of intraoperative touch imprint cytology for the diagnosis of axillary sentinel lymph node metastasis of breast cancer: comparison with intraoperative frozen section evaluation. Cureus. 2021; 13(1): e12960. doi: 10.7759/cureus.12960.

4. Abe M., Yamada T., Nakano A. Prospective comparison of intraoperative touch imprint cytology and frozen section histology on axillary sentinel lymph nodes in early breast cancer patients. Acta Cytol. 2020; 64: 492–97. doi: 10.1159/000508016.

5. Guo Y., Sun L., Chen X., Wen Q., Shao Z., Tang X., Shi X., Wang J., Zhang .Y, Zhu T. A multicenter noninferior randomized controlled study of sentinel lymph node biopsy alone versus sentinel lymph node biopsy plus lymphadenectomy for patients with stage I endometrial cancer, INSEC trial concept. BMC Cancer. 2023; 23(1): 1184. doi: 10.1186/s12885-023 -11226-1.

6. Clarke D., Leung E., Chachlani N., Rowlands D., Simon J., Hero I., England D. Intraoperative assessment of sentinel node using imprint cytology. World J Surg. 2010; 34(1): 55–61. doi: 10.1007/s00268-0090301-2.

7. Abad-Licham M., Astigueta J., De Las Casas L., Gonzales-Saravia J., Ortiz C., Vásquez O., Bardales R.H. Intraoperative cytology when cryostat is not available. A 7‐year experience in a Peruvian cancer center. Diagn Cytopathol. 2023; 51(2): 45–53. doi: 10.1002/dc.25062.

8. Layfield D., Agrawal A., Roche H., Cutress R. Intraoperative assessment of sentinel lymph nodes in breast cancer. Br J Surg. 2011; 98(1): 4–17. doi: 10.1002/bjs.7229.

9. Ahuja S., Yadav P., Fattahi-Darghlou M., Zaheer S. Comparison of Intraoperative Imprint Cytology versus Frozen Section for Sentinel Lymph Node Evaluation in Breast Cancer. A study along with Systematic Review and Meta-analysis of literature. Asian Pac J Cancer Prev. 2024; 25(4): 1113–19. doi: 10.31557/APJCP.2024.25.4.1113.

10. Волченко Н.Н., Борисова О.В., Мельникова В.Ю., Ермолаева А.Г., Глухова Ю.К. Срочное интраоперационное цитологическое исследование сторожевых лимфатических узлов при раннем раке молочной железы. Онкология. Журнал им. П.А. Герцена. 2019; 8(3): 169–74. doi: 10.17116/onkolog20198031169. EDN: NZWTCX.

11. Старкова М.В., Зикиряходжаев А.Д., Грушина Т.И., Славнова Е.Н., Глухова Ю.К., Суркова В.С., Леонтьев А.В. Срочное цитологическое исследование при диагностике сторожевого лимфатического узла у больных раком молочной железы. Новости клинической цитологии. 2019; 23(3): 15–21. doi: 10.24411/1562-4943-2019-10302. EDN: TUNDYB.

12. Tew K., Irwig L., Matthews A., Crowe P., Macaskill P. Metaanalysis of sentinel node imprint cytology in breast cancer. Br J Surg. 2005; 92(9): 1068–80. doi: 10.1002/bjs.5139.

13. Yang Q.Q., Hu Y.G., Hu C.H., Han Y.T., Shen H.Y. The diagnostic accuracy of touch imprint cytology for sentinel lymph node metastases of breast cancer: an up-to-date meta-analysis of 4,073 patients. Open Med (Wars). 2023; 18(1): 20230827. doi: 10.1515/med-2023-0827.

14. Touhami O., Trinh X.B., Gregoire J., Sebastianelli A., Renaud M.C., Grondin K., Plante M. Predictors of non-sentinel lymph node (non-SLN) metastasis in patients with sentinel lymph node (SLN) metastasis in endometrial cancer. Gynecol Oncol. 2015; 138(1): 41–45. doi: 10.1016/j.ygyno.2015.04.008.

15. Rossi E.C., Kowalski L.D., Scalici J., Cantrell L., Schuler K., Hanna R.K., Method M., Ade M., Ivanova A., Boggess J.F. A comparison of sentinel lymph node biopsy to lymphadenectomy for endometrial cancer staging (FIRES trial): a multicentre, prospective, cohort study. Lancet Oncol. 2017; 18(3): 384–92. doi: 10.1016/S1470-2045(17)30068-2.

16. Chong Y., Park G., Cha H.J., Kim H.J., Kang C.S., Abdul-Ghafar J., Lee S.S. A stepwise approach to fine needle aspiration cytology of lymph nodes. J Pathol Transl Med. 2023; 57(4): 196–207. doi: 10.4132/jptm.2023.06.12.

17. Cui Q., Dai L., Li J., Xue J. Accuracy of CEUS-guided sentinel lymph node biopsy in early-stage breast cancer: a study review and metaanalysis. World J Surg Oncol. 2020; 18(1): 112. doi: 10.1186/s12957020-01890-z.


Рецензия

Для цитирования:


Панкова О.В., Вторушин С.В., Климова М.В., Письменный Д.С., Очиров М.О., Коломиец Л.А., Перельмутер В.М. Интраоперационное цитологическое исследование сторожевых лимфатических узлов при гинекологическом раке: диагностическая точность и ограничения. Сибирский онкологический журнал. 2025;24(5):72-80. https://doi.org/10.21294/1814-4861-2025-24-5-72-80

For citation:


Pankova O.V., Vtorushin S.V., Klimova M.V., Pismenny D.S., Ochirov M.O., Kolomiets L.A., Perelmuter V.M. Intraoperative cytological assessment of sentinel lymph nodes in gynecologic cancer: diagnostic accuracy and limitations. Siberian journal of oncology. 2025;24(5):72-80. (In Russ.) https://doi.org/10.21294/1814-4861-2025-24-5-72-80

Просмотров: 11


Creative Commons License
Контент доступен под лицензией Creative Commons Attribution 4.0 License.


ISSN 1814-4861 (Print)
ISSN 2312-3168 (Online)