Preview

Сибирский онкологический журнал

Расширенный поиск

Нетипичный характер прогрессирования H3 К27М-мутантных диффузных срединных глиом после биопсии опухоли: серия клинических случаев

https://doi.org/10.21294/1814-4861-2025-24-5-81-95

Аннотация

Актуальность. Отсутствие прогресса в лечении диффузных срединных глиом (ДСГ) привело к более частому проведению их биопсий с молекулярно-генетическим исследованием ткани опухоли для поиска новых терапевтических возможностей. Тем не менее последствия таких вмешательств пока изучены недостаточно.

Цель исследования – продемонстрировать нетипичный характер прогрессирования ДСГ ствола головного мозга у детей после открытой биопсии.

Материал и методы. Проведен ретроспективный анализ данных 138 пациентов, пролеченных по поводу ДСГ в период с 2020 по 2024 г. Из данной когорты 38 пациентам с диффузной глиомой Варолиевого моста выполнена открытая биопсия с резекцией экзофитного компонента или опорожнением кисты. По демографическим показателям (пол, возраст) эти 38 больных существенно не отличалась от остальной части когорты. Биопсийный материал подвергался гистологическому и молекулярно-генетическому исследованию. Всем 138 пациентам выполняли лучевую терапию области опухоли, по показаниям – химиотерапию. Последующее динамическое наблюдение основывалось на оценке неврологического статуса и на данных МРТ ЦНС с применением контрастного усиления.

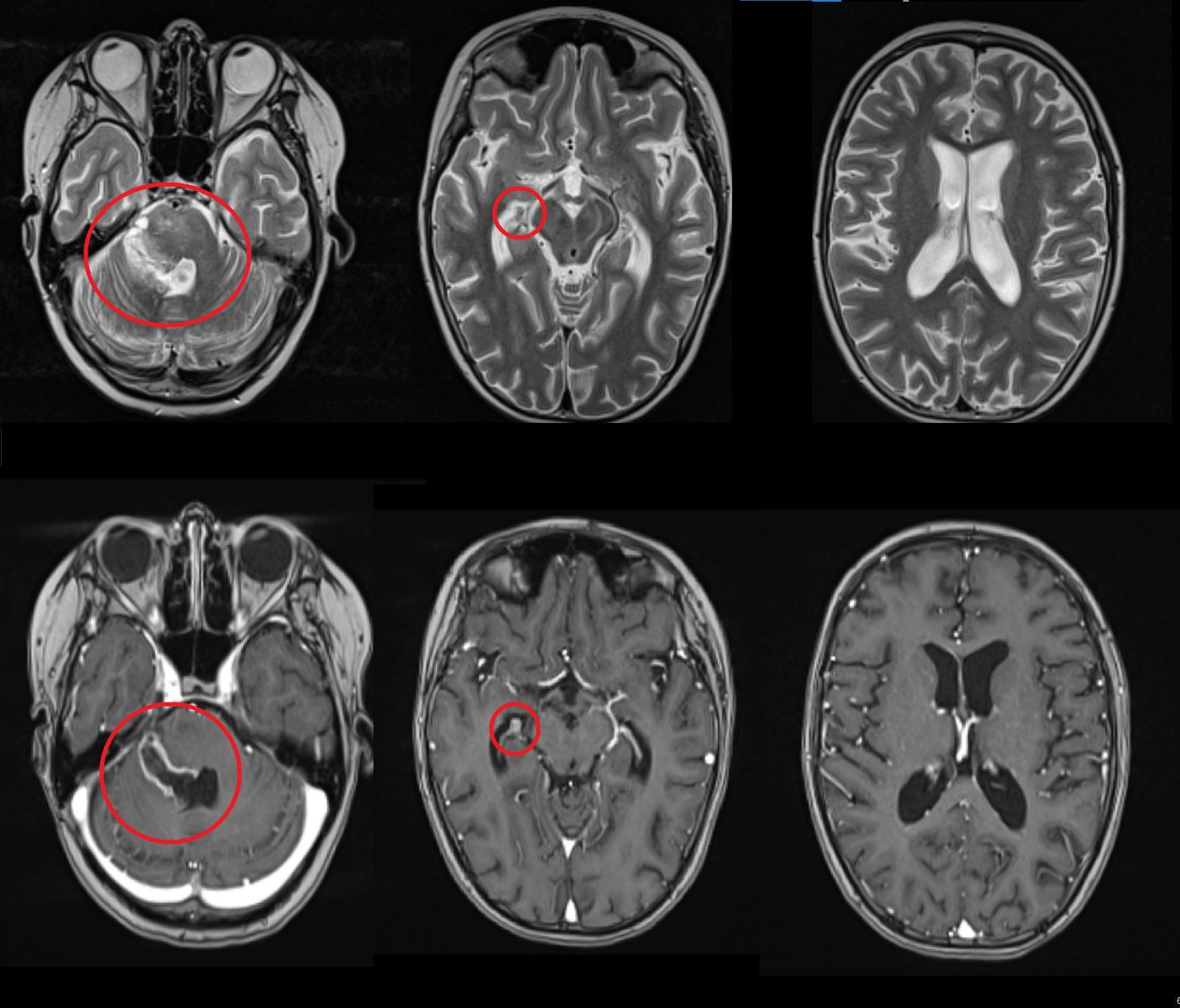
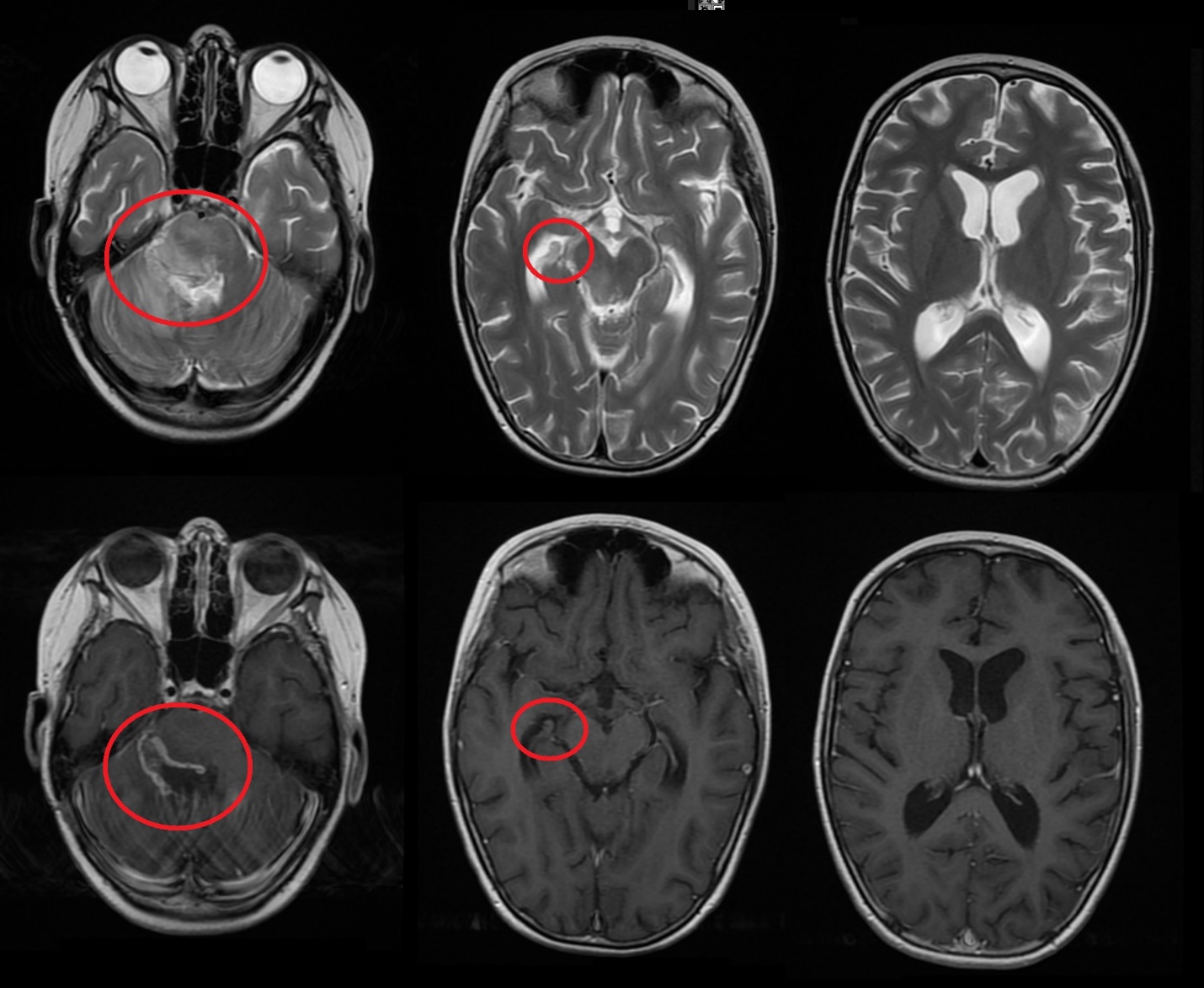
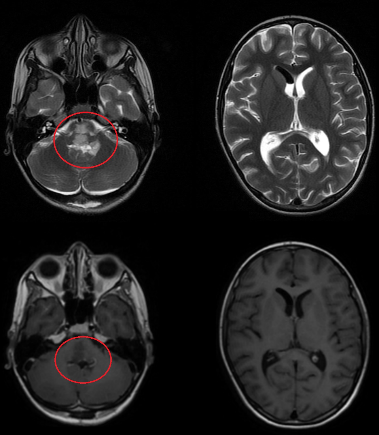
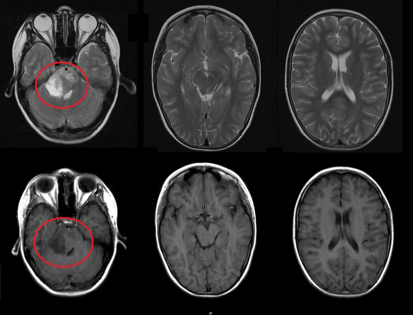
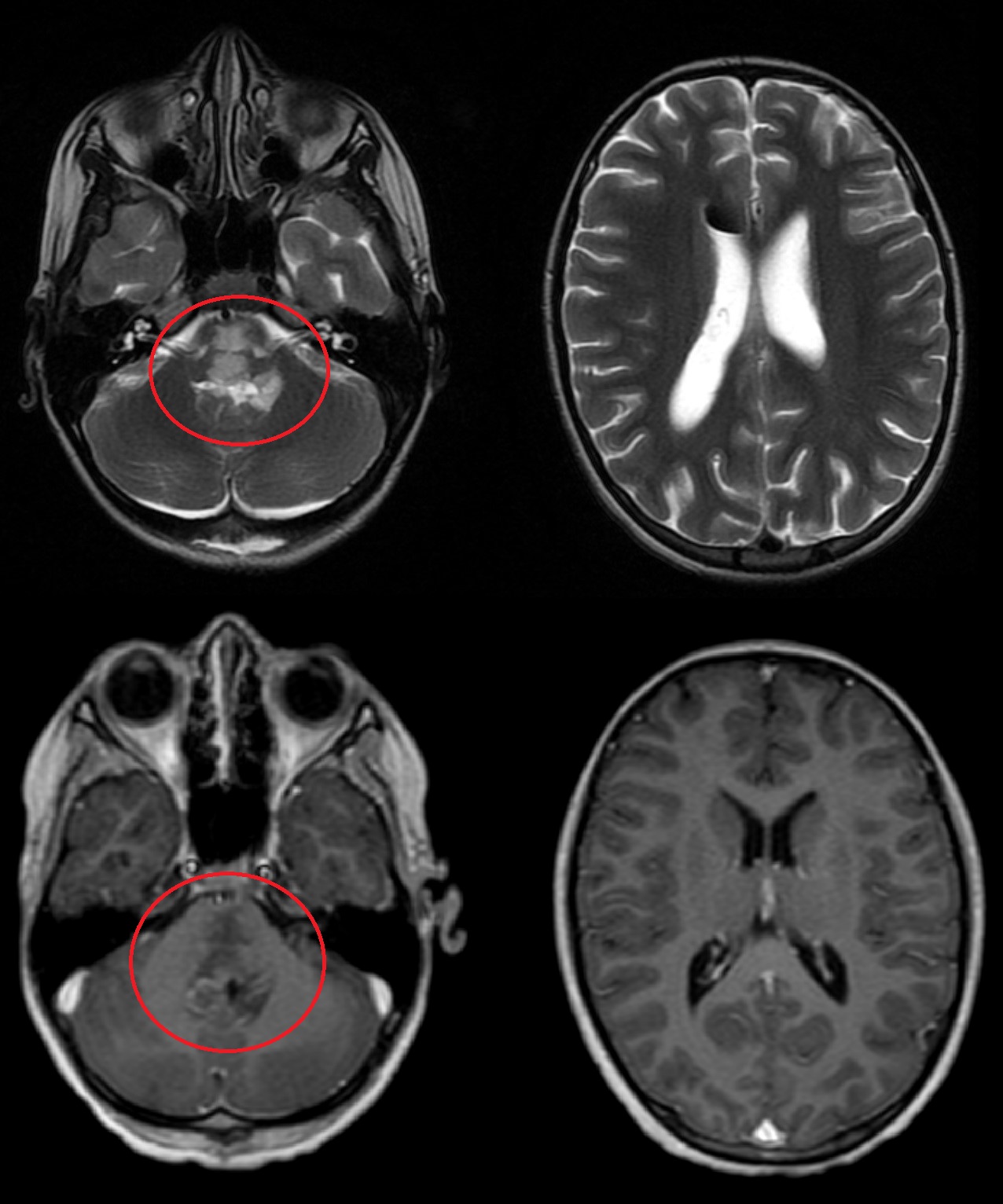
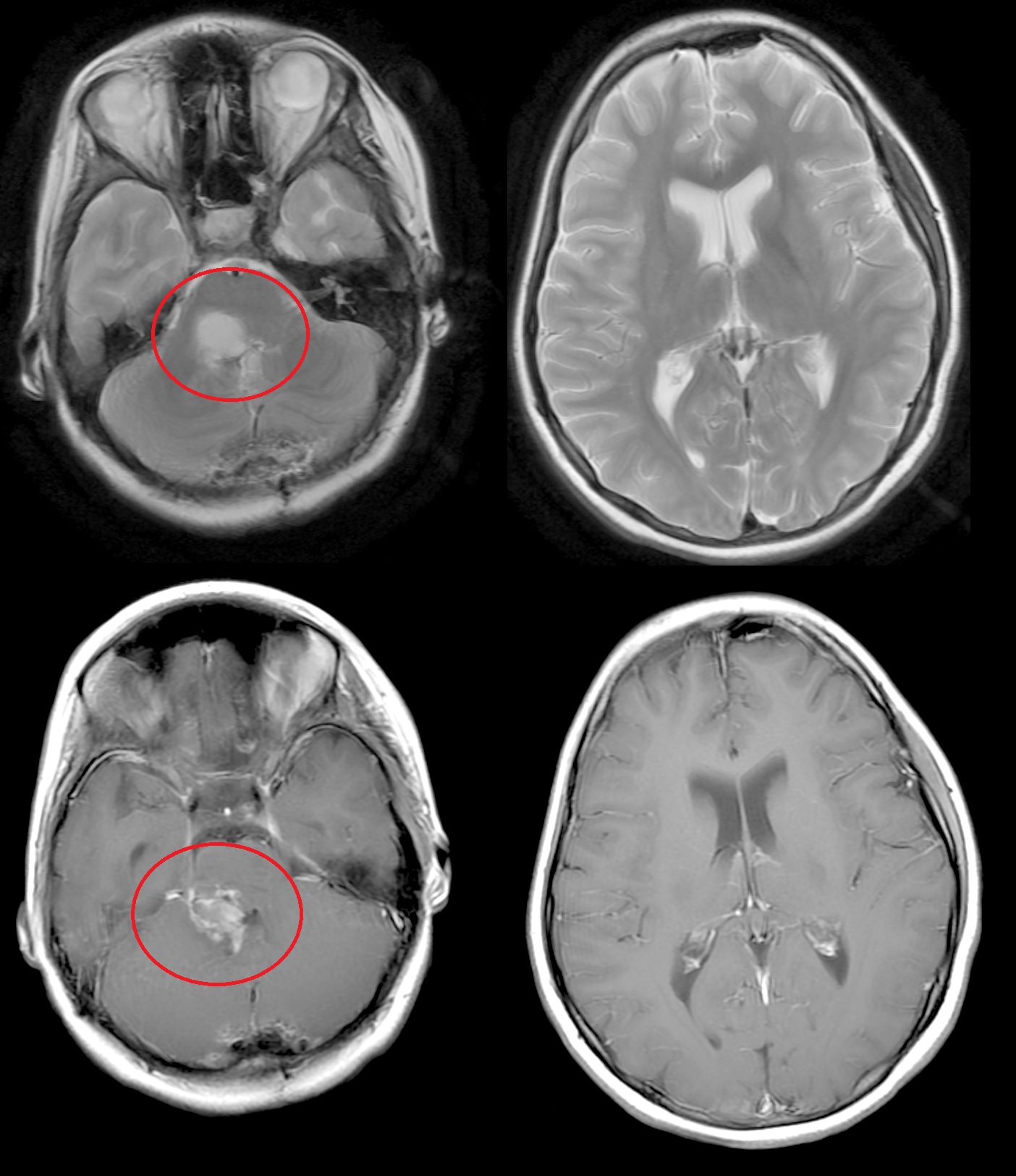
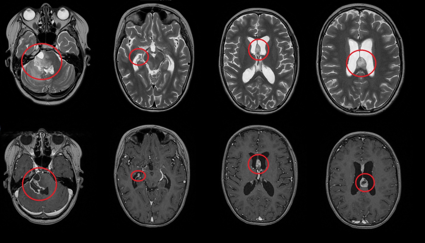
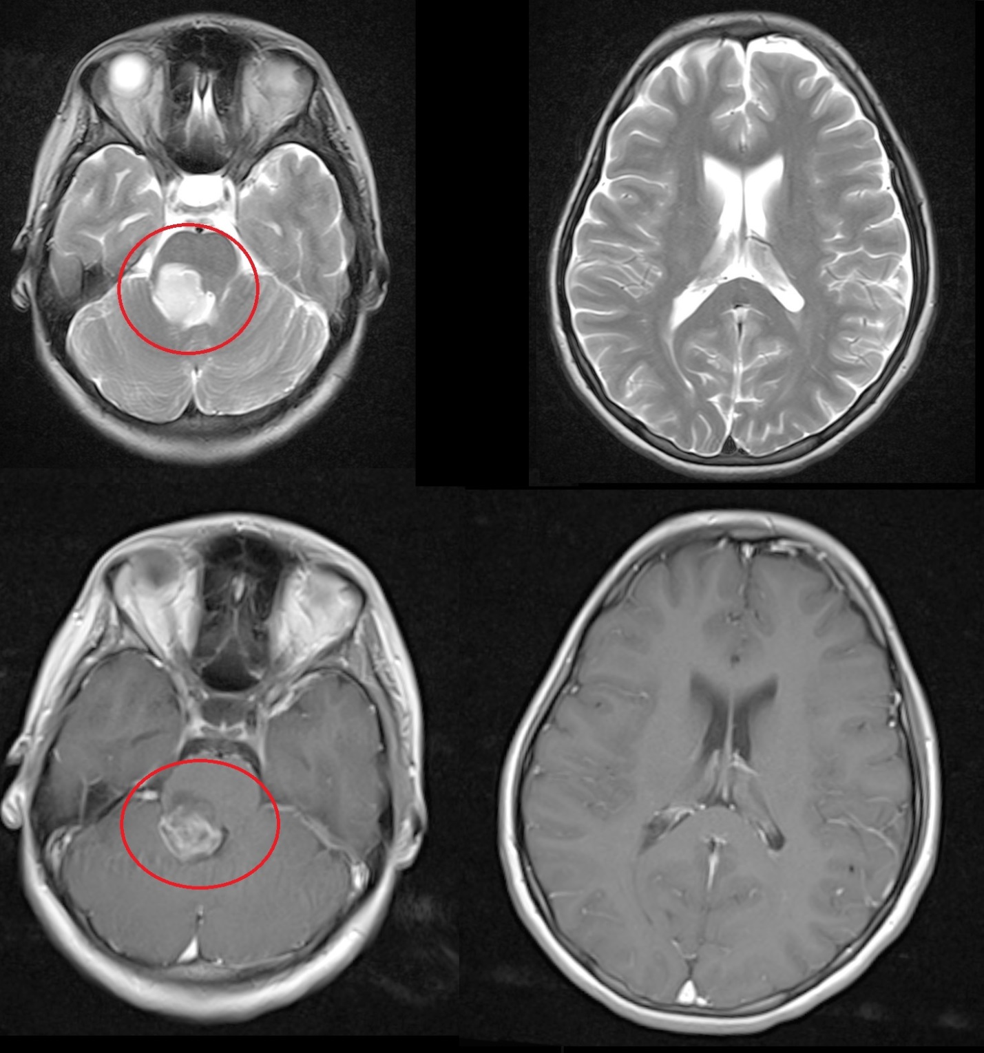
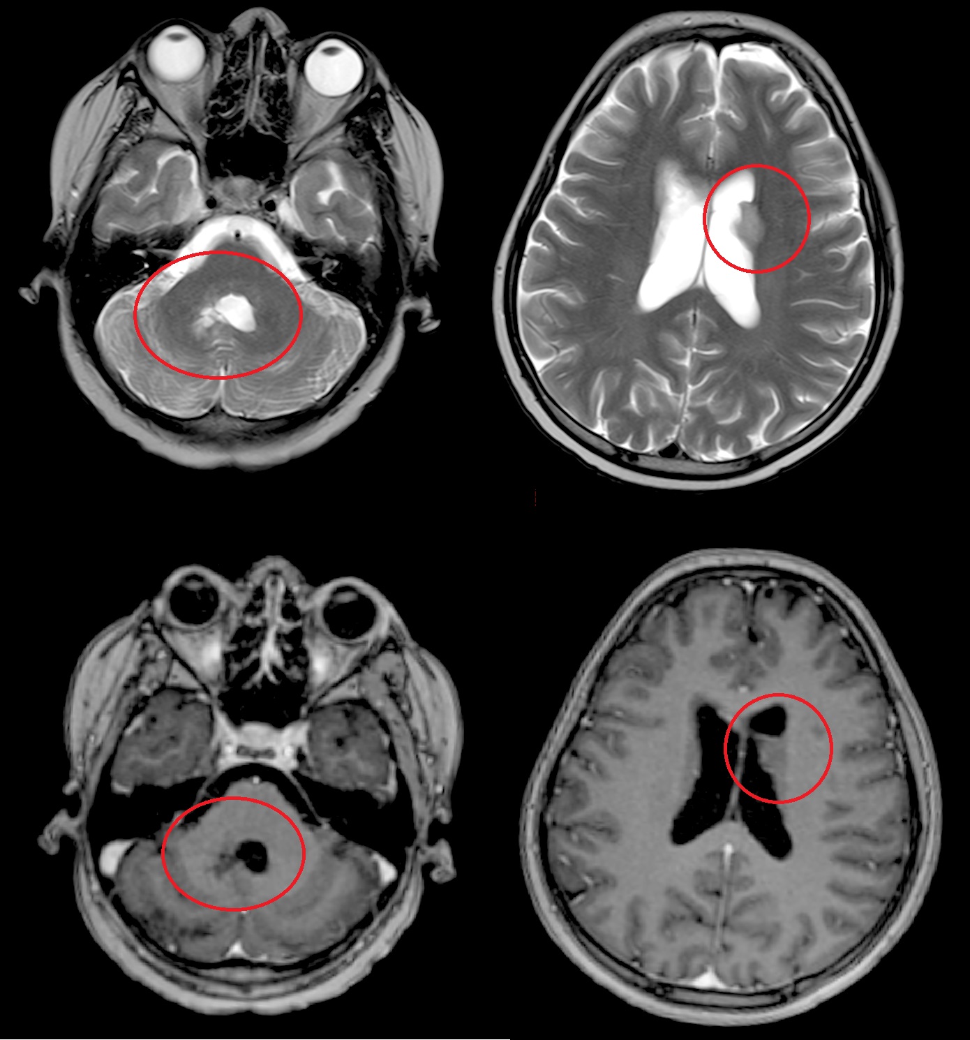
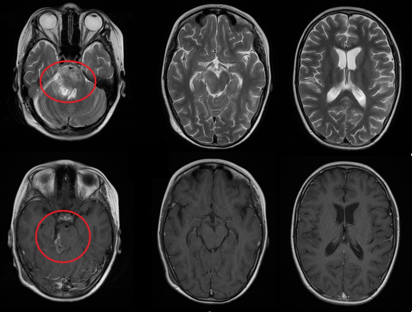
Результаты. У 19 пациентов (50 % от 38 прошедших биопсию) по данным иммуногистохимического анализа послеоперационного материала была выявлена мутация К27М в гене H3F3A. У 6 (15 %) пациентов из 38 МРТ в сроки от 2 до 5 мес (медиана – 4,5 мес) после окончания лучевой терапии выявлено нехарактерное прогрессирование ДСГ в виде метастазирования по желудочковой системе головного мозга. У остальных пациентов когорты исследования, не проходивших процедуру биопсии, подобный характер прогрессирования не наблюдался (p<0,002): у них, как правило, отмечался продолженный рост опухоли (n=96), у 4 больных диагностировано лептоменингеальное метастазирование по спинному мозгу.

Заключение. Нами выявлены случаи нетипичного прогрессирования ДСГ в виде метастазирования по желудочковой системе у детей после открытой биопсии опухоли. Есть основания полагать, что биопсия могла способствовать диссеминации ДСГ по ликворным пространствам. Необходим поиск альтернативных методов оценки молекулярно-генетических характеристик ДСГ.

Об авторах

О. С. Регентова
ФГБУ «Российский научный центр рентгенорадиологии» Минздрава России
Россия

Регентова Ольга Сергеевна - доктор медицинских наук, заведующая отделением лучевой терапии детей с койками онкологии.

117997, Москва, ул. Профсоюзная, 86



Т. С. Рогова
ФГБУ «Российский научный центр рентгенорадиологии» Минздрава России
Россия

Рогова Татьяна Сергеевна - радиотерапевт отделения лучевой терапии детей с койками онкологии, SPIN-код: 8280-9470. Researcher ID (WOS): AAG1260-2021.

117997, Москва, ул. Профсоюзная, 86



Ф. Ф. Антоненко
ФГБУ «Российский научный центр рентгенорадиологии» Минздрава России
Россия

Антоненко Федор Федорович - доктор медицинских наук, профессор, член-корреспондент РАН, заведующий лабораторией лучевой терапии и комплексных методов лечения онкологических заболеваний, SPIN-код: 6582-8081. Author ID (Scopus): 6602615840.

117997, Москва, ул. Профсоюзная, 86



Р. А. Пархоменко
ФГБУ «Российский научный центр рентгенорадиологии» Минздрава России; ФГАОУ ВО «Российский университет дружбы народов»
Россия

Пархоменко Роман Алексеевич - доктор медицинских наук, ведущий научный сотрудник лаборатории лучевой терапии и комплексных методов лечения онкологических заболеваний, ФГБУ «РНЦР» Минздрава России; профессор кафедры онкологии и рентгенорадиологии Медицинского института, ФГАОУ ВО РУДН. SPIN-код: 9902-4244. Author ID (Scopus): 6603021483.

117997, Москва, ул. Профсоюзная, 86; 117198, Москва, ул. Миклухо-Маклая, 6



Н. И. Зелинская
ФГБУ «Российский научный центр рентгенорадиологии» Минздрава России
Россия

Зелинская Наталья Ивановна - кандидат медицинских наук, старший научный сотрудник лаборатории лучевой терапии и комплексных методов лечения онкологических заболеваний.

117997, Москва, ул. Профсоюзная, 86



Н. Сидибе
ФГБУ «Российский научный центр рентгенорадиологии» Минздрава России
Россия

Сидибе Нелли - кандидат медицинских наук, радиотерапевт отделения лучевой терапии детей с койками онкологии.

117997, Москва, ул. Профсоюзная, 86



П. В. Полушкин
ФГБУ «Российский научный центр рентгенорадиологии» Минздрава России
Россия

Полушкин Павел Владимирович - кандидат медицинских наук, радиотерапевт отделения лучевой терапии детей с койками онкологии, научный сотрудник лаборатории лучевой терапии и комплексных методов лечения онкологических заболеваний.

117997, Москва, ул. Профсоюзная, 86



А. И. Шевцов
ФГБУ «Российский научный центр рентгенорадиологии» Минздрава России
Россия

Шевцов Андрей Игоревич - кандидат медицинских наук, радиотерапевт отделения лучевой терапии детей с койками онкологии.

117997, Москва, ул. Профсоюзная, 86



М. А. Близниченко
ФГБУ «Российский научный центр рентгенорадиологии» Минздрава России
Россия

Близниченко Мария Алексеевна - радиотерапевт отделения лучевой терапии детей с койками онкологии.

117997, Москва, ул. Профсоюзная, 86



Список литературы

1. Stupp R., Brada M., van den Bent M.J., Tonn J.C., Pentheroudakis G.; ESMO Guidelines Working Group. High-grade glioma: ESMO Clinical Practice Guidelines for diagnosis, treatment and follow-up. Ann Oncol. 2014; 25 Suppl 3: 93–101. doi: 10.1093/annonc/mdu050.

2. Chou S.C., Chen Y.N., Huang H.Y., Kuo M.F., Wong T.T., Kuo S.H., Yang S.H. Contemporary Management of Pediatric Brainstem Tumors. Adv Tech Stand Neurosurg. 2024; 49: 231–54. doi: 10.1007/978-3-03142398-7_11.

3. Schramm K., Iskar M., Statz B., Jäger N., Haag D., Słabicki M., Pfister S.M., Zapatka M., Gronych J., Jones D.T.W., Lichter P. DECIPHER pooled shRNA library screen identifies PP2A and FGFR signaling as potential therapeutic targets for diffuse intrinsic pontine gliomas. Neuro Oncol. 2019; 21(7): 867–77. doi: 10.1093/neuonc/noz057.

4. Buczkowicz P., Bartels U., Bouffet E., Becher O., Hawkins C. Histopathological spectrum of paediatric diffuse intrinsic pontine glioma: diagnostic and therapeutic implications. Acta Neuropathol. 2014; 128(4): 573–81. doi: 10.1007/s00401-014-1319-6.

5. Bernier-Chastagner V., Grill J., Doz F., Bracard S., Gentet J.C., Marie-Cardine A., Luporsi E., Margueritte G., Lejars O., Laithier V., Mechinaud F., Millot F., Kalifa C., Chastagner P. Topotecan as a radiosensitizer in the treatment of children with malignant diffuse brainstem gliomas: results of a French Society of Paediatric Oncology Phase II Study. Cancer. 2005; 104(12): 2792–7. doi: 10.1002/cncr.21534.

6. El-Khouly F.E., Veldhuijzen van Zanten S.E.M., Jansen M.H.A., Bakker D.P., Sanchez Aliaga E., Hendrikse N.H., Vandertop W.P., van Vuurden D.G., Kaspers G.J.L. A phase I/II study of bevacizumab, irinotecan and erlotinib in children with progressive diffuse intrinsic pontine glioma. J Neurooncol. 2021; 153(2): 263–71. doi: 10.1007/s11060-021-03763-1.

7. Kim C.Y., Kim S.K., Phi J.H., Lee M.M., Kim I.A., Kim I.H., Wang K.C., Jung H.L., Lee M.J., Cho B.K. A prospective study of temozolomide plus thalidomide during and after radiation therapy for pediatric diffuse pontine gliomas: preliminary results of the Korean Society for Pediatric Neuro-Oncology study. J Neurooncol. 2010; 100(2): 193–98. doi: 10.1007/s11060-010-0157-1.

8. Cohen K.J., Heideman R.L., Zhou T., Holmes E.J., Lavey R.S., Bouffet E., Pollack I.F. Temozolomide in the treatment of children with newly diagnosed diffuse intrinsic pontine gliomas: a report from the Children’s Oncology Group. Neuro Oncol. 2011; 13(4): 410–16. doi: 10.1093/neuonc/noq205.

9. Chassot A., Canale S., Varlet P., Puget S., Roujeau T., Negretti L., Dhermain F., Rialland X., Raquin M.A., Grill J., Dufour C. Radiotherapy with concurrent and adjuvant temozolomide in children with newly diagnosed diffuse intrinsic pontine glioma. J Neurooncol. 2012; 106(2): 399–407. doi: 10.1007/s11060-011-0681-7.

10. Shcherbenko O.I., Panschin G.A., Parkhomen-ko R.A., Antonenko F.F., Zelinskaya N.I. Temozolomide in the complex treatment of malignant gliomas in children and adults. The preliminary results. The literature review. Bulletin of the Russian Scientific Center of Roentgenology. 2015; 15(2): 9. (in Russian). EDN: UXMGLR.

11. Озеров С.С., Рыжова М.В., Кумирова Э.В. Диффузные опухоли ствола головного мозга у детей. Биология опухоли и надежда на лучший исход. Современное состояние проблемы. Вопросы нейрохирургии им. Н.Н. Бурденко. 2021; 85(4): 77–86. doi: 10.17116/neiro20218504177. EDN: FOCBCC.

12. Diaz M., Rana S., Silva Correia C.E., Reiner A.S., Lin A.L., Miller A.M., Graham M.S., Chudsky S., Bale T.A., Rosenblum M., Karajannis M.A., Pentsova E. Leptomeningeal disease in histone-mutant gliomas. Neurooncol Adv. 2023; 5(1). doi: 10.1093/noajnl/vdad068.

13. Albright A.L., Packer R.J., Zimmerman R., Rorke L.B., Boyett J., Hammond G.D. Magnetic resonance scans should replace biopsies for the diagnosis of diffuse brain stem gliomas: a report from the Children’s Cancer Group. Neurosurgery. 1993; 33(6): 1026–29; discussion 1029–30. doi: 10.1227/00006123-199312000-00010.

14. Puget S., Beccaria K., Blauwblomme T., Roujeau T., James S., Grill J., Zerah M., Varlet P., Sainte-Rose C. Biopsy in a series of 130 pediatric diffuse intrinsic Pontine gliomas. Childs Nerv Syst. 2015; 31(10): 1773–80. doi: 10.1007/s00381-015-2832-1.

15. Rajshekhar V., Moorthy R.K. Status of stereotactic biopsy in children with brain stem masses: insights from a series of 106 patients. Stereotact Funct Neurosurg. 2010; 88(6): 360–66. doi: 10.1159/000319044.

16. Моргачева Д.А., Ситовская Д.А., Диникина Ю.В. Подходы к диагностике и терапии H3K27M-измененных диффузных срединных глиом у детей: обзор литературы. Онкогематология. 2023; 18(4): 104–14. doi: 10.17650/1818-8346-2023-18-4-104-114. EDN: PKBDWJ.

17. Arrillaga-Romany I., Gardner S.L., Odia Y., Aguilera D., Allen J.E., Batchelor T., Butowski N., Chen C., Cloughesy T., Cluster A., de Groot J., Dixit K.S., Graber J.J., Haggiagi A.M., Harrison R.A., Kheradpour A., Kilburn L.B., Kurz S.C., Lu G., MacDonald T.J., Mehta M., Melemed A.S., Nghiemphu P.L., Ramage S.C., Shonka N., Sumrall A., Tarapore R.S., Taylor L., Umemura Y., Wen P.Y. ONC201 (Dordaviprone) in Recurrent H3 K27M-Mutant Diffuse Midline Glioma. J Clin Oncol. 2024; 42(13): 1542–52. doi: 10.1200/JCO.23.01134.

18. Baugh J.N., Veldhuijzen van Zanten S., Fiocco M., Colditz N., Hoffmann M., Janssens G.O., Valentini C., Hargrave D., Wiese M., von Bueren A.O., Karremann M., Perwein T., Nussbaumer G., Benesch M., Sturm D., Gielen G.H., Krause M., Eyrich M., Hoving E.W., Bison B., van Vuurden D.G., Kramm C.M. Treatment-related survival patterns in diffuse intrinsic pontine glioma using a historical cohort: A report from the European Society for Pediatric Oncology DIPG/DMG Registry. Neurooncol Adv. 2024; 6(1): vdae155. doi: 10.1093/noajnl/vdae155.

19. Fu A.Y., Kavia J., Yadava Y., Srinivasan A., Hargwood P., Mazzola C.A., Ammar A. Biopsy of diffuse midline glioma is safe and impacts targeted therapy: a systematic review and meta-analysis. Childs Nerv Syst. 2024; 40(3): 625–34. doi: 10.1007/s00381-023-06208-4.

20. Gojo J., Pavelka Z., Zapletalova D., Schmook M.T., Mayr L., Madlener S., Kyr M., Vejmelkova K., Smrcka M., Czech T., Dorfer C., Skotakova J., Azizi A.A., Chocholous M., Reisinger D., Lastovicka D., Valik D., Haberler C., Peyrl A., Noskova H., Pál K., Jezova M., Veselska R., Kozakova S., Slaby O., Slavc I., Sterba J. Personalized Treatment of H3K27M-Mutant Pediatric Diffuse Gliomas Provides Improved Therapeutic Opportunities. Front Oncol. 2020; 9: 1436. doi: 10.3389/fonc.2019.01436.

21. Majzner R.G., Ramakrishna S., Yeom K.W., Patel S., Chinnasamy H., Schultz L.M., Richards R.M., Jiang L., Barsan V., Mancusi R., Geraghty A.C., Good Z., Mochizuki A.Y., Gillespie S.M., Toland A.M.S., Mahdi J., Reschke A., Nie E.H., Chau I.J., Rotiroti M.C., Mount C.W., Baggott C., Mavroukakis S., Egeler E., Moon J., Erickson C., Green S., Kunicki M., Fujimoto M., Ehlinger Z., Reynolds W., Kurra S., Warren K.E., Prabhu S., Vogel H., Rasmussen L., Cornell T.T., Partap S., Fisher P.G., Campen C.J., Filbin M.G., Grant G., Sahaf B., Davis K.L., Feldman S.A., Mackall C.L., Monje M. GD2-CAR T cell therapy for H3K27M-mutated diffuse midline gliomas. Nature. 2022; 603(7903): 934–41. doi: 10.1038/s41586-022-04489-4.

22. Thomas B.C., Staudt D.E., Douglas A.M., Monje M., Vitanza N.A., Dun M.D. CAR T cell therapies for diffuse midline glioma. Trends Cancer. 2023; 9(10): 791–804. doi: 10.1016/j.trecan.2023.07.007.

23. Wang Z., Xu C., Diplas B.H., Moure C.J., Chen C.J., Chen L.H., Du C., Zhu H., Greer P.K., Zhang L., He Y., Waitkus M.S., Yan H. Targeting Mutant PPM1D Sensitizes Diffuse Intrinsic Pontine Glioma Cells to the PARP Inhibitor Olaparib. Mol Cancer Res. 2020; 18(7): 968–80. doi: 10.1158/1541-7786.MCR-19-0507.

24. Wu G., Diaz A.K., Paugh B.S., Rankin S.L., Ju B., Li Y., Zhu X., Qu C., Chen X., Zhang J., Easton J., Edmonson M., Ma X., Lu C., Nagahawatte P., Hedlund E., Rusch M., Pounds S., Lin T., Onar-Thomas A., Huether R., Kriwacki R., Parker M., Gupta P., Becksfort J., Wei L., Mulder H.L., Boggs K., Vadodaria B., Yergeau D., Russell J.C., Ochoa K., Fulton R.S., Fulton L.L., Jones C., Boop F.A., Broniscer A., Wetmore C., Gajjar A., Ding L., Mardis E.R., Wilson R.K., Taylor M.R., Downing J.R., Ellison D.W., Zhang J., Baker S.J. The genomic landscape of diffuse intrinsic pontine glioma and pediatric non-brainstem high-grade glioma. Nat Genet. 2014; 46(5): 444–50. doi: 10.1038/ng.2938.

25. Регентова О.С., Пархоменко Р.А., Боженко В.К., Кулинич Т.М., Джикия Е.Л., Щербенко О.И., Антоненко Ф.Ф., Зелинская Н.И., Шевцов А.И., Сидибе Н., Полушкин П.В., Близниченко М.А., Деянова В.А., Солодкий В.А. Опыт применения жидкостной биопсии при диффузных срединных глиомах головного мозга у детей. Вестник Российского научного центра рентгенорадиологии. 2024; 24(2): 94–106. EDN: YZVAHM.

26. Регентова О.С., Боженко В.К., Кудинова Е.А., Кулинич Т.М., Джикия Е.Л., Каминский В.В., Антоненко Ф.Ф., Пархоменко Р.А., Зелинская Н.И., Сидибе Н., Полушкин П.В., Шевцов А.И., Близниченко М.А., Солодкий В.А. Изменения концентрации свободно циркулирующей мутантной ДНК и ДНК дикого типа гена H3F3А (K27M) в крови и люмбальном ликворе у детей с диффузными срединными глиомами на фоне курса лучевой терапии. Южно-Российский онкологический журнал. 2024; 5(3): 64–75. doi: 10.37748/2686-9039-20245-3-6. EDN: MZRJGD.


Рецензия

Для цитирования:


Регентова О.С., Рогова Т.С., Антоненко Ф.Ф., Пархоменко Р.А., Зелинская Н.И., Сидибе Н., Полушкин П.В., Шевцов А.И., Близниченко М.А. Нетипичный характер прогрессирования H3 К27М-мутантных диффузных срединных глиом после биопсии опухоли: серия клинических случаев. Сибирский онкологический журнал. 2025;24(5):81-95. https://doi.org/10.21294/1814-4861-2025-24-5-81-95

For citation:


Regentova O.S., Rogova T.S., Antonenko F.F., Parkhomenko R.A., Zelinskaya N.I., Sidibe N., Polushkin P.V., Shevtsov A.I., Bliznichenko M.A. Uncommon pattern of H3 К27М-mutant diffuse midline glioma progression in children after open tumor biopsy: clinical cases. Siberian journal of oncology. 2025;24(5):81-95. (In Russ.) https://doi.org/10.21294/1814-4861-2025-24-5-81-95

Просмотров: 13


Creative Commons License
Контент доступен под лицензией Creative Commons Attribution 4.0 License.


ISSN 1814-4861 (Print)
ISSN 2312-3168 (Online)