Три редких клинических случая одновременного развития плоскоклеточного рака пищевода и аденокарциномы желудка
https://doi.org/10.21294/1814-4861-2025-24-5-180-189
Аннотация
Одновременное возникновение плоскоклеточного рака пищевода и аденокарциномы желудка – крайне редкое явление, обладающее высокой степенью опасности. Это обусловлено агрессивным течением данных заболеваний, а также отсутствием в мировой медицинской практике единого подхода к их лечению.
Цель исследования – анализ уникальных случаев сочетанного возникновения плоскоклеточного рака пищевода и аденокарциномы желудка с целью разработки эффективной стратегии лечения.
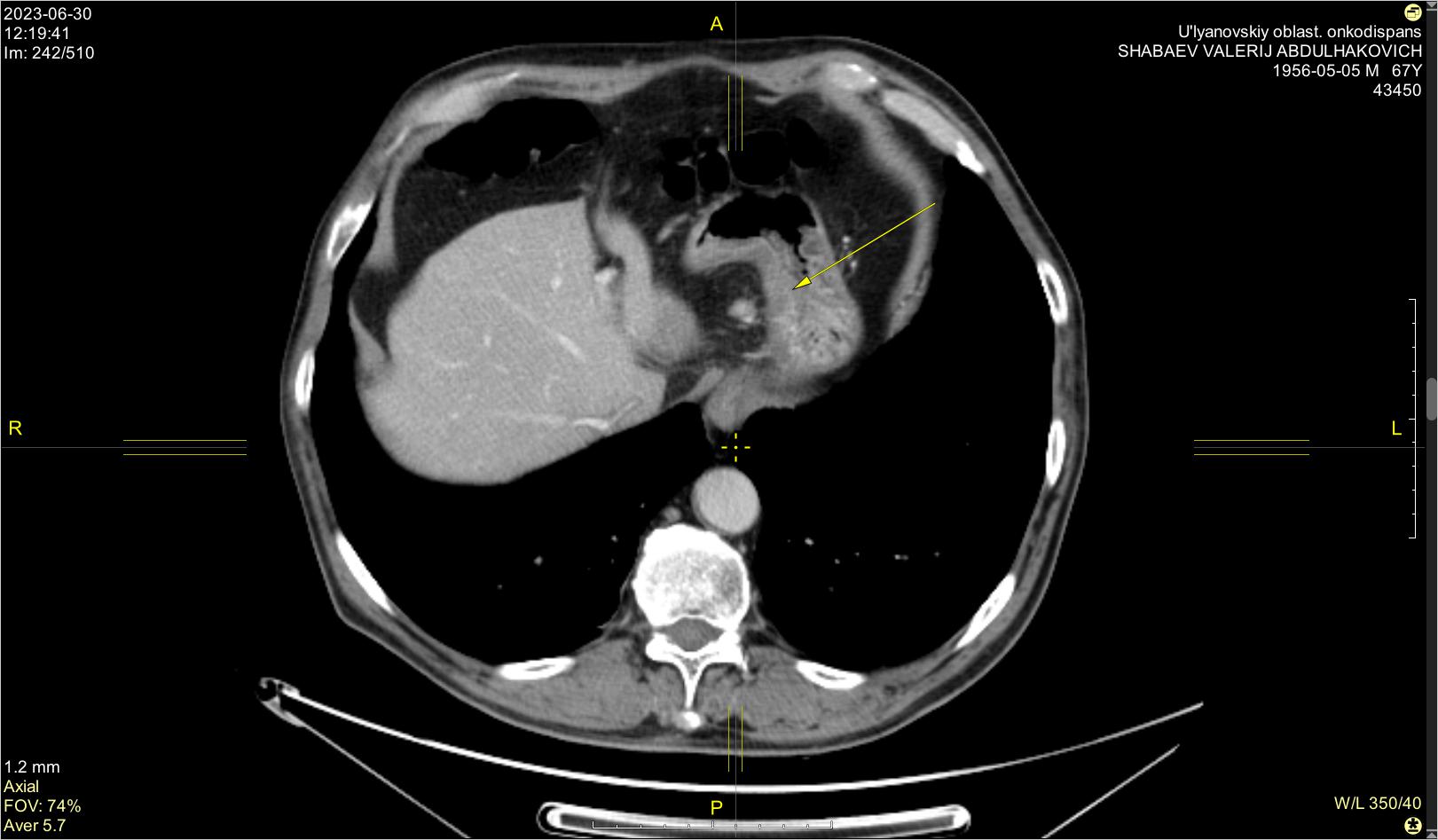
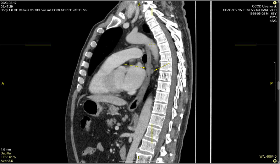
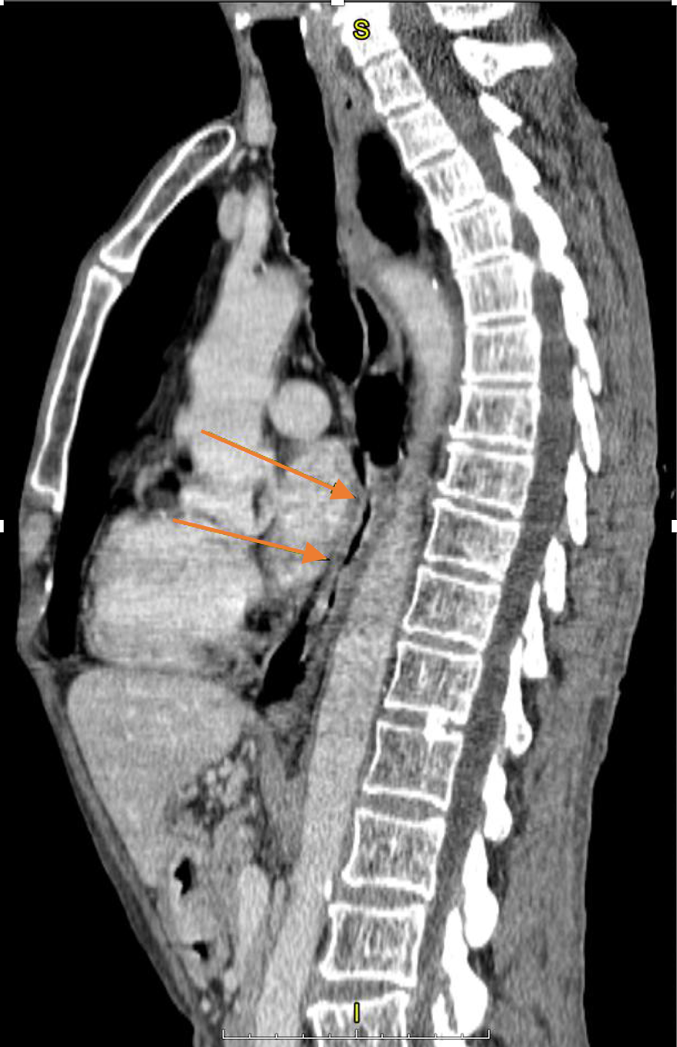
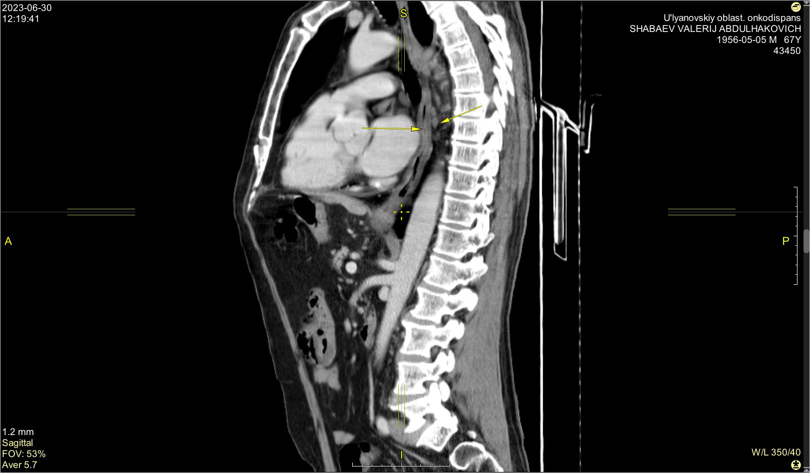
Материал и методы. Представлено 3 клинических случая одновременного развития плоскоклеточного рака пищевода и аденокарциномы желудка у пациентов, получавших лечение в ГУЗ «Областной клинический онкологический диспансер», г. Ульяновск, и ГАУЗ СО «Свердловский областной онкологический диспансер», г. Екатеринбург. Пациентам проведены хирургическое вмешательство, химиотерапия и лучевая терапия.
Результаты. Первично-множественный синхронный плоскоклеточный рак пищевода и аденокарцинома желудка представляют собой сложную клиническую задачу, требующую вмешательства мультидисциплинарной команды специалистов. Химиолучевая терапия с использованием схемы FOLFOX продемонстрировала хорошую переносимость и позволила достичь удовлетворительного клинического ответа со стороны опухолей обеих локализаций.
Заключение. Комплексный подход, включающий хирургическое лечение и химиолучевую терапию по схеме FOLFOX, позволяет эффективно бороться со злокачественными образованиями пищевода и желудка.
Ключевые слова
Об авторах
Е. А. ТонеевРоссия
Тонеев Евгений Александрович - кандидат медицинских наук, торакальный хирург хирургического отделения торакальной онкологии, ГУЗ «Областной клинический онкологический диспансер»; доцент кафедры факультетской хирургии, медицинский факультет им. Т.З. Биктимирова, Институт медицины, экологии и физической культуры, ФГБОУ ВО «Ульяновский ГУ».
432017, Ульяновск, ул. 12 Сентября, 90; 432017, Ульяновск, ул. Льва Толстого, 42
Н. В. Деньгина
Россия
Деньгина Наталья Владимировна - кандидат медицинских наук, заведующая радиологическим отделением.
432017, Ульяновск, ул. 12 Сентября, 90
Д. В. Глумнушина
Россия
Глумнушина Дарья Валериевна - студентка медицинского факультета им. Т.З. Биктимирова, Институт медицины, экологии и физической культуры.
432017, Ульяновск, ул. Льва Толстого, 42
Р. Р. Валеева
Россия
Валеева Рания Рафаэлевна - студентка медицинского факультета им. Т.З. Биктимирова, Институт медицины, экологии и физической культуры.
432017, Ульяновск, ул. Льва Толстого, 42
М. С. Руденко
Россия
Руденко Максим Сергеевич - заведующий отделением торакальной онкологии, ГАУЗ СО «Свердловский областной онкологический диспансер»; ассистент кафедры онкологии и лучевой диагностики.
620036, Екатеринбург, ул. Соболева, 29
А. А. Мартынов
Россия
Мартынов Александр Александрович - заведующий хирургическим торакальным отделением.
432017, Ульяновск, ул. 12 Сентября, 90
Е. П. Анохина
Россия
Анохина Екатерина Павловна - онколог отделения химиотерапии № 1.
432017, Ульяновск, ул. 12 Сентября, 90
А. М. Пономаренко
Россия
Пономаренко Анна Михайловна - рентгенолог отделения рентгенодиагностики.
432017, Ульяновск, ул. 12 Сентября, 90
Список литературы
1. Bray F., Laversanne M., Sung H., Ferlay J., Siegel R.L., Soerjomataram I., Jemal A. Global cancer statistics 2022: GLOBOCAN estimates of incidence and mortality worldwide for 36 cancers in 185 countries. CA Cancer J Clin. 2024; 74(3): 229–63. doi: 10.3322/caac.21834.
2. Zhan X., He L., Song K., Cao S., Meng E., Wang Y. Case Report: Triple Primary Malignant Tumors of the Esophagus, Stomach, and Colon in a Patient With Genetic Analysis. Front Genet. 2021; 12: 676497. doi: 10.3389/fgene.2021.676497.
3. Cui Y., Ren W., Du X., Yang L., Tan B. Research Progress of Multiple Primary Malignancies Associated With Esophageal Cancer. Cancer Control. 2023; 30: 10732748231176641. doi: 10.1177/10732748231176641.
4. Писарева Л.Ф., Одинцова И.Н., Ананина О.А., Афанасьев С.Г., Волков М.Ю., Давыдов И.М. Рак желудка в Томской области: эпидемиологические аспекты. Сибирский онкологический журнал. 2013; (3): 40–42. EDN: RQACBD.
5. Hirao M., Katada C., Yokoyama T., Yano T., Suzuki H., Furue Y., Yamamoto K., Doyama H., Koike T., Tamaoki M., Kawata N., Kawahara Y., Katagiri A., Ogata T., Yamanouchi T., Kiyokawa H., Kawakubo H., Konno M., Ishikawa H., Yokoyama A., Muto M. Metachronous primary gastric cancer after endoscopic resection in patients with esophageal squamous cell carcinoma. Gastric Cancer. 2023; 26(6): 988–1001. doi: 10.1007/s10120-023-01413-1.
6. Lim S.K., Sampson C.C., Warner O.G. Simultaneous primary carcinomas--a report of three cases. J Natl Med Assoc. 1981; 73(5): 413–17.
7. Тонеев Е.А., Пикин О.В., Мартынов А.А., Фирстов А.А. Хирургическое и комплексное лечение больных раком грудного отдела пищевода в региональном онкологическом центре. Грудная и сердечно-сосудистая хирургия. 2023; 65(5): 579–88. doi: 10.24022/0236-2791-2023-65-5579-588. EDN: IAWKZU.
8. Рябов А.Б., Хомяков В.М., Соболев Д.Д., Колобаев И.В., Чайка А.В., Вашакмадзе Л.А., Мамонтов А.С., Пикин О.В. Непосредственные результаты хирургического и комбинированного лечения больных раком грудного отдела пищевода. Онкология. Журнал им. П.А. Герцена. 2021; 10(6): 19–28. doi: 10.17116/onkolog20211006118. EDN: OFMRDR.
9. Li X., Lin S., Zhang Y., Wang H. Synchronous primary esophageal squamous cell carcinoma and gastric adenocarcinoma: analysis of 41 cases treated in a single institution. Sci Rep. 2015; 5: 13335. doi: 10.1038/srep13335.
10. Vogt A., Schmid S., Heinimann K., Frick H., Herrmann C., Cerny T., Omlin A. Multiple primary tumours: challenges and approaches, a review. ESMO Open. 2017; 2(2): e000172. doi: 10.1136/esmoopen-2017000172.
11. Тонеев Е.А., Пикин О.В., Деньгина Н.В., Рябов А.Б., Мартынов А.А., Гальчин А.В., Исаев Д.Н., Фирстов А.А., Прохоров Д.Д. Результаты комбинированного и химиолучевого лечения больных раком грудного отдела пищевода по данным регионального онкологического центра. Сибирский онкологический журнал. 2023; 22(5): 84–95. doi: 10.21294/1814-4861-2023-22-5-84-95. EDN: CZVAAV.
12. Luo Z.H., Qi W.L., Jin A.F., Liao F.X., Liu Q., Zeng Q.Y. The role of 18F-FDG PET/CT in patients with synchronous multiple primary malignant neoplasms occurring at the same time. Front Oncol. 2022; 12: 1068055. doi: 10.3389/fonc.2022.1068055.
13. Тонеев Е.А., Деньгина Н.В., Шагдалеев Р.Ф., Прохоров Д.Д., Мартынов А.А., Анохина Е.П. Опыт применения химиолучевого лечения рака пищевода с использованием химиотерапии по схеме FOLFOX. Медицинский совет. 2024; 18(21): 62–69. doi: 10.21518/ms2024-527. EDN: CMVUJR.
14. Kadono T., Yamamoto S., Hirose T., Ikeda G., Ohara A., Itoyama M., Yokoyama K., Honma Y., Hashimoto T., Sekine S., Ishiyama K., Oguma J., Daiko H., Kato K. Safety and short-term efficacy of preoperative FOLFOX therapy in patients with resectable esophageal squamous cell carcinoma who are ineligible for cisplatin. Esophagus. 2023; 20(1): 109–15. doi: 10.1007/s10388-022-00951-4.
15. Conroy T., Galais M.P., Raoul J.L., Bouché O., Gourgou-Bourgade S., Douillard J.Y., Etienne P.L., Boige V., Martel-Lafay I., Michel P., LlacerMoscardo C., François E., Créhange G., Abdelghani M.B., Juzyna B., Bedenne L., Adenis A.; Fédération Francophone de Cancérologie Digestive and UNICANCER-GI Group. Definitive chemoradiotherapy with FOLFOX versus fluorouracil and cisplatin in patients with oesophageal cancer (PRODIGE5/ACCORD17): final results of a randomised, phase 2/3 trial. Lancet Oncol. 2014; 15(3): 305–14. doi: 10.1016/S1470-2045(14)70028-2. Erratum in: Lancet Oncol. 2014; 15(13): e587. Erratum in: Lancet Oncol. 2014; 15(13): e587. doi: 10.1016/S1470-2045(14)71151-9.
16. Тонеев Е.А., Деньгина Н.В., Анохина Е.П., Мартынов А.А., Куликов В.Д., Гальчин А.В., Староконь П.М., Благовестнов Д.А., Шабаев Р.М., Чощиев А., Прохоров Д.Д., Макаров М.П. Результаты химиолучевого лечения рака грудного отдела пищевода в режиме CROSS. Сибирский онкологический журнал. 2025; 24(3): 103–13. doi: 10.21294/1814-4861-2025-24-3103-113. EDN: VZWDFY.
17. Yoshii T., Hara H., Asayama M., Kumekawa Y., Miyazawa S., Takahashi N., Matsushima T., Shimizu S., Saito Y. Chemoradiotherapy with FOLFOX for esophageal squamous cell cancer with synchronous rectal cancer: Four case reports and a literature review. Mol Clin Oncol. 2020; 12(1): 23–30. doi: 10.3892/mco.2019.1945.
18. Ferreira R.P., Bussyguin D.S., Trombetta H., Melo V.J.D., Ximenez D.R., Preti V.B., Valladares G.C.G., Tomasich F.D.S., Abreu P. Treatment of esophageal cancer: surgical outcomes of 335 cases operated in a single center. Rev Col Bras Cir. 2021; 48: e20202723. doi: 10.1590/01006991e-20202723.
19. Jiang R., Wang Y., Xu J., Chen Z., Pang L. Reconstruction using the colon or jejunum in patients with synchronous advanced esophageal and gastric cancers: a retrospective study from a single institutional database. BMC Surg. 2023; 23(1): 175. doi: 10.1186/s12893-023-02072-w.
Рецензия
Для цитирования:
Тонеев Е.А., Деньгина Н.В., Глумнушина Д.В., Валеева Р.Р., Руденко М.С., Мартынов А.А., Анохина Е.П., Пономаренко А.М. Три редких клинических случая одновременного развития плоскоклеточного рака пищевода и аденокарциномы желудка. Сибирский онкологический журнал. 2025;24(5):180-189. https://doi.org/10.21294/1814-4861-2025-24-5-180-189
For citation:
Toneev E.A., Dengina N.V., Glumnushina D.V., Valeeva R.R., Rudenko M.S., Martynov A.A., Anokhina E.P., Ponomarenko A.M. Concurrent incidence of esophageal squamous cell carcinoma and gastric adenocarcinoma: a report of three cases. Siberian journal of oncology. 2025;24(5):180-189. (In Russ.) https://doi.org/10.21294/1814-4861-2025-24-5-180-189








































